Онлайн книга «Взламывая анатомию»
|
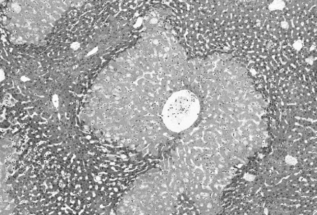
Системы органов С классификацией систем органов ситуация обстоит так же, как и с подсчетом точного количества органов в организме. Эта книга познакомит вас с 10 системами органов: • покровной; • опорно-двигательной; • сердечно-сосудистой; • лимфатической; • дыхательной; • нервной; • эндокринной; • пищеварительной; • половой. Некоторые эксперты считают, что иммунная система не входит в состав лимфатической, а мышечная относится к скелетной. Другие же объединяют лимфатическую, иммунную и сердечно-сосудистую в одну – кровеносную. Абстрагируясь от подобных вариантов, стоит помнить, что системы органов не работают изолированно: в разных системах есть множество перекликающихся функций, из-за чего точность классификации отходит на второй план. ![]() Внутренний баланс Наши системы органов отвечают за поддержание двух взаимосвязанных процессов: метаболизма и гомеостаза. Метаболизм не сводится к скорости, с которой мы перерабатываем пищу, чтобы производить энергию. Метаболизм представляет собой сумму всех химических реакций, происходящих внутри организма. Гомеостаз – это способ, которым организм достигает постоянства внутреннего состояния, вне зависимости от внешних условий. Метаболизм Метаболизм – это больше, чем деление пищи на составные элементы (белки, углеводы и сахара) в процессе, который называют катаболизмом. К метаболизму относится и обратный процесс – анаболизм. Он описывает, как именно организм использует молекулы меньшего размера (амино- и жирные кислоты) для создания более сложных молекул, способных накапливаться в виде энергии или использоваться для различных целей – от роста до борьбы с инфекциями. Скорость данных процессов зависит от различных факторов, включая возраст, пол и наследственность. ![]() Форма активного участка фермента уникальна (напоминает замок). Реакция может происходить, только когда субстрат (ключ) подходит к ферменту (замку). В результате продукты могут соединяться или расщепляться. К эффекторам метаболизма иногда относят ферменты, потому что они являются биологическими катализаторами, ускоряющими химические реакции в клетке. Катализировать реакции этим белкам позволяет их особая шаровидная структура. В ферментах присутствуют щели (или активные центры), в которые попадают «правильные» молекулы (субстраты). Затем эти вещества распадаются (разлагаются) на две составляющие либо соединяются, образуя более крупную молекулу. Ферменты легко узнать по названию – все они пишутся с суффиксом «-аза» (например, полимераза, амилаза и дегидрогеназа). Большинство ферментов находится внутри клетки. Наличие ферментов в крови может указывать на возможное повреждение тканей. Например, лактатдегидрогеназа (ЛДГ) обычно присутствует в клетках печени и сердца, поэтому повышение ее уровня в крови говорит о возможных повреждениях данных органов. Объем вырабатываемых ферментов строго ограничен – во избежание любой реакции (слишком быстрой или медленной), способной пошатнуть баланс веществ в организме и в конечном счете повлиять на гомеостаз. Гомеостаз Гомеостаз – это динамический и автоматический процесс, направленный на достижение внутреннего физиологического покоя. Гомеостаз во многом зависит от обратной связи со стороны различных систем органов, в частности – от нервной и эндокринной систем. Благодаря циклу отрицательной обратной связи наш организм способен управлять реакциями и минимизировать любые дисбалансы. Ведь иначе подобные реакции могут привести к болезни и, в худшем случае, к смерти. Гомеостаз в действии Несколько систем органов отвечает за регуляцию водного обмена в организме. При обезвоживании объем воды в крови падает. Тогда особая мозговая структура – гипоталамус – замечает изменение в состоянии и подает сигнал, который мы воспринимаем как жажду. Далее гипоталамус начинает выделять гормоны, которые заставляют почки экономить воду. Мы пьем воду до тех пор, пока ее уровень в крови не восстановится. После этого гипоталамус регистрирует это новое состояние и начинает постепенно снижать уровень гормонов, посылаемых в почки. Когда клетки умирают Главной особенностью всех живых существ, будь то одноклеточные или многоклеточные, является их гарантированная смерть. Это довольно парадоксальная черта, ведь, с одной стороны, она определяет, что такое быть живым, а с другой – лишний раз подчеркивает факт неизбежной гибели. На клеточном уровне смерть – примечательное событие. Сигнальные пути, отвечающие за эту важную процедуру, так же сложны и разнообразны, как и сама жизнь. Для одноклеточного организма гибель клетки – это рок, обрывающий жизнь. Но у многоклеточных организмов, как мы знаем с начала XX века, смерть клеток играет важную роль в нормальном процессе развития. Исторически мы привыкли рассматривать смерть клетки в зрелом организме как некоего врага жизни, проводя аналогию с часами, замедляющими свой ход из-за пагубных влияний среды. Эта точка зрения потеряла свою актуальность: теперь мы понимаем, что многие травмы, вызванные внешними агентами, способны запускать суицидальную программу и активировать процедуру по избавлению от поврежденных клеток. С адаптационной точки зрения данный процесс является оптимальным решением. С начала 1990-х годов в понимании механизмов клеточной гибели произошел радикальный сдвиг. В результате было выделено два явных сценария: случайная и запрограммированная гибель. ![]() Недостаток кислорода или питательных веществ (или воздействие токсических веществ) может привести к гибели клеток печени из-за некроза. Обратите внимание на их бледную цитоплазму, потерю ядра, тканевую структуру и очаги воспалительных клеток (черные точки).
При некрозе клетки теряют способность управлять транспортом веществ внутри себя. Клетки и органеллы набухают, а затем лопаются, выбрасывая содержимое во внеклеточную жидкость. Случайная гибель клетки: некроз Случайная гибель клеток происходит неожиданно и не имеет четко выраженной цели. Она пагубна для всего организма. Такой сценарий иногда называют патологической гибелью клеток, или некрозом (от греч. nekros – мертвый). Некрозные клетки почти всегда отмирают вследствие острой или тяжелой травмы, вызванной: • экстремальными изменениями в водно-электролитном балансе (электролиты – это соли и минералы); |
![Иллюстрация к книге — Взламывая анатомию [image32.jpg] Иллюстрация к книге — Взламывая анатомию [image32.jpg]](img/book_covers/092/92705/image32.jpg)
![Иллюстрация к книге — Взламывая анатомию [image33.jpg] Иллюстрация к книге — Взламывая анатомию [image33.jpg]](img/book_covers/092/92705/image33.jpg)
![Иллюстрация к книге — Взламывая анатомию [image34.jpg] Иллюстрация к книге — Взламывая анатомию [image34.jpg]](img/book_covers/092/92705/image34.jpg)
![Иллюстрация к книге — Взламывая анатомию [image35.jpg] Иллюстрация к книге — Взламывая анатомию [image35.jpg]](img/book_covers/092/92705/image35.jpg)