Книга Взламывая анатомию, страница 7 – Кен Окона-Менса

Авторы: А Б В Г Д Е Ж З И Й К Л М Н О П Р С Т У Ф Х Ч Ш Ы Э Ю Я
Книги: А Б В Г Д Е Ж З И Й К Л М Н О П Р С Т У Ф Х Ц Ч Ш Щ Ы Э Ю Я
Бесплатная онлайн библиотека LoveRead.ec

Онлайн книга «Взламывая анатомию»

📃 Cтраница 7

Существует особый тип клеток, который выделяется среди других своими скрытыми регенеративными способностями. Стволовые клетки могут самообновляться и создавать клетки любого типа. В нескольких тканях и органах эти клетки терпеливо ждут своей активации.

Стволовые клетки, в отличие от большинства типов, не дифференцированы. Это означает, что они не являются специализированными и не выполняют каких-либо строго обозначенных ролей или функций. Получив зеленый свет для начала деления, стволовая клетка дает потомство – по одной специализированной и недифференцированной клетке.

Эмбриональные стволовые клетки

По источнику происхождения стволовые клетки делятся на два основных типа. Эмбриональные стволовые клетки присутствуют только у очень молодых эмбрионов, называемых бластоцистами. Они могут естественным образом превращаться в клетки любого типа, поэтому их назвали плюрипотентными.

Иллюстрация к книге — Взламывая анатомию [image29.jpg]

Эмбриональные стволовые клетки образуются из внутренней клеточной массы бластоциста – области, которая развивается в плод. Трофобласт превращается в плаценту.

Зрелые стволовые клетки

Зрелые (или дифференцированные) стволовые клетки присутствуют почти во всех тканях взрослого человека. До недавнего времени считалось, что такие клетки способны создавать лишь ограниченное количество клеточных типов – в зависимости от расположения в ткани. Однако исследования доказали, что эти «многоцелевые» клетки не так ограничены, как нам казалось. И действительно: теперь исследователи научились химически стимулировать стволовые клетки из различных тканей, запуская преобразование в любые клеточные типы. Кроме того, ученые научились перепрограммировать, или индуцировать, «обычные» (не стволовые) взрослые клетки с уже оформленной дифференциацией или специализацией в структуры с плюрипотентными свойствами.

Трансформационный потенциал этих возможностей в регенеративной медицине просто огромен. Он не только позволит обойти этическую дилемму при использовании человеческих эмбрионов для сбора плюрипотентных клеток, но и станет панацеей в борьбе с отторжением трансплантатов со стороны иммунной системы.

Иллюстрация к книге — Взламывая анатомию [image30.jpg]

На этой растрово-электронной микроскопии (РЭМ) изображена стволовая клетка костного мозга. Такие клетки, известные как зрелые, или соматические, встречаются и у детей, и у взрослых.

Квартет тканей

Наши клетки, как и сам зародыш, проходят через определенные этапы дифференциации, необходимые для того, чтобы в дальнейшем сформировать четыре типа тканей. Эти типы возникли эволюционным путем, когда специализированные клетки «узнали» друг о друге и стали объединяться в четко выраженные колонии эпителиальных, мышечных, соединительных и нервных клеток.

Соединительная ткань

Если стволовые клетки являются по отношению к другим типам мультипотентными, то клетки соединительной ткани считаются убиквитарными – потому что они есть повсюду. Соединительную ткань в организме можно найти везде. Эти клетки образуют костную и жировую ткань, хрящи, сухожилия, связки и даже кровь, поскольку имеют общее эмбриональное происхождение (они происходят из мезодермы, или среднего зародышевого листка). Как следует из названия, клетки данного типа соединяют различные части тела с помощью матрикса определенной консистенции (от жидкой до твердой или волокнистой), который прикрепляется к своим клеткам-создателям. Соединительная, или поддерживающая, ткань связывает различные ткани внутри органов, амортизирует чувствительные структуры, сохраняет энергию и держит форму.

Мышечная ткань

Клеточный компонент мышечной ткани – это мышечное волокно, названное так из-за вытянутой формы клеток. Ядра мышечных клеток располагаются по краю клеточной мембраны, благодаря чему остается больше места для тысяч мышечных нитей (миофиламентов). Миофиламенты располагаются внахлест, как переплетенные пальцы, и скользят по поверхности друг друга, отвечая за сокращение мышц и укорачивание клетки. Подробнее о структуре мышц см. параграф «Архитектура мышц», стр. 96–97.

Нервная ткань

Нервная ткань – основная в нервной системе. Она нужна для выработки и проведения электрических импульсов, благодаря которым осуществляется движение и/или выделение физиологических жидкостей. Основной единицей нервной ткани считается нейрон, или нервная клетка, который связывается с другими с помощью специфических соединений – синапсов. Нейронам помогают глиальные клетки: они поставляют питательные вещества и участвуют в проведении нервных импульсов. Подробнее см. параграф «Нейроны» на стр. 190–191.

Эпителиальная ткань

Эпителиальная ткань встречается в пограничных областях: коже, слизистой оболочке пищеварительной системы и глазах. Она также выстилает поверхность внутренних органов и дыхательных путей, носа, рта и легких. Эта ткань присутствует в различных формах – от однослойных плоских или кубических клеток до сложных многослойных видов. Эпителиальные клетки создают барьер между органами и инвазивными веществами или микроорганизмами. В этом деле им помогает один слой клеток и базальная мембрана, которая прикрепляет эпителий к остальным частям тела и регулирует все, что попадает внутрь. В модифицированной эпителиальной ткани присутствуют специальные секреторные железы, помогающие носу вырабатывать слизь, желудку – выделять пищеварительные ферменты, а коже – производить пот и себум (кожное сало).

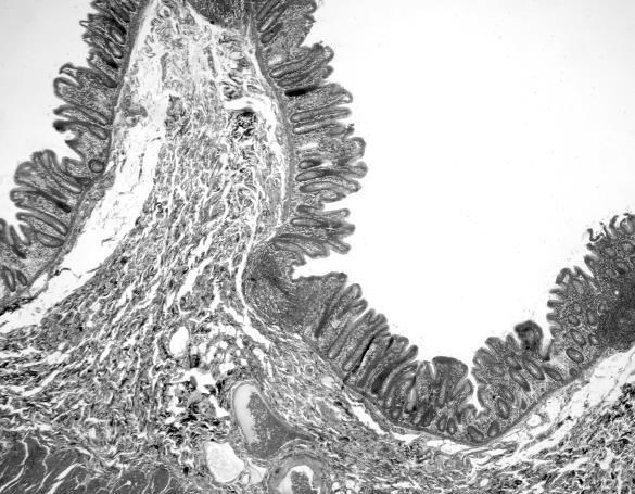
Иллюстрация к книге — Взламывая анатомию [image31.jpg]

Эпителиальные клетки, которые выстилают стенки кишечника, называются слизистой оболочкой, или мукозой.

Подсчет органов

В нашем теле можно насчитать от 78 до 79 различных органов. Эта неточность объясняется тем, что четкое определение понятия «орган» отсутствует. Но однозначно ясно, что орган представляет собой сочетание слаженно работающих тканей, выполняющих определенную функцию в организме.

Говоря об органах, подавляющее большинство людей вспоминает лишь пять известных представителей: мозг, сердце, почки, печень и легкие. Однако в одной только мочевыделительной системе, кроме почек, есть еще три важных органа: мочевой пузырь, мочеточник и мочеиспускательный канал. Самым крупным внутренним, или висцеральным, органом в нашем теле считается печень. Печень среднестатистического человека весит 1,8 кг. Но в номинации «самый тяжелый орган» все-таки побеждает кожа с весом в 2,7 кг.

Мозг, достойный собственного чемпионского звания, является самым энергозатратным органом, потребляющим порядка 20 % от всей генерируемой энергии. Мозг стал домом и для самого маленького органа – шишковидной железы. Она вырабатывает гормон мелатонин, помогающий нам заснуть.

Реклама
Вход
Поиск по сайту
Ищем:
Календарь