Онлайн книга «Взламывая анатомию»
|
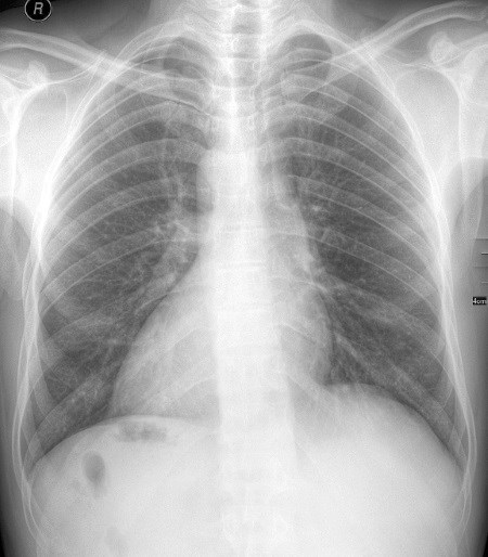
Клинические проявления Незначительные анатомические аномалии в основном совместимы с жизнью. Если такие изменения не слишком очевидны, то их случайно обнаруживают при медицинском осмотре на предмет, не связанный с отклонением, либо в процессе вскрытия. Анатомические аномалии интригуют медицинский мир, ведь их эмбриологическая составляющая дает представление о том, как развивается человеческое тело. ![]() Форма ушей так же уникальна, как и отпечатки пальцев. Чаще всего аномалии развиваются в сосудистых структурах, особенно в артериях. Например, в некоторых артериях присутствует дополнительная ветвь или же ниспадающие ветви могут раздваиваться в неожиданных местах. В норме седалищный нерв раздваивается в средней части бедра, но это может случиться и в ягодичной области. Такие аномалии вызывают клинические трудности и проблемы всякий раз, когда дело доходит до проведения стандартных процедур или сложных операций. В частности, для безопасности пациента хирург должен знать о возможных изменениях в ветвлении коронарной артерии или структур из Виллизиева круга. Поэтому очень важно использовать различные методики визуализации, которые смогли бы выявить все возможные аномалии до проведения операций. К сожалению, не все вариации можно визуализировать, и зачастую это приводит к серьезным хирургическим осложнениям. Определение анатомических вариаций нужно не только для подбора хирургической методики. Такие вариации способны влиять на степень выраженности различных симптомов и увеличивать риск развития определенных заболеваний либо обусловливать их течение. Следовательно, медицинские специалисты должны практиковаться и учиться на различных вариациях тела человека. В этом им помогают опыт препарирования, использование передовых технологий визуализации и клинической диагностики, а также коллективная работа. Добавочные структуры Наличие дополнительной части тела, которая отличается от общей структуры, – это куда более распространенное отклонение, чем нам кажется. Оно возникает, когда зигота начинает расщепляться, но не может правильно завершить этот процесс. По той же причине появляются сиамские близнецы. Участок, в котором началось расщепление, и будет определять, какая часть тела частично или полностью продублируется. Добавочные структуры могут возникать в любой системе органов. ![]() Подковообразные почки Некоторые люди рождаются с дополнительной почкой или мочеточником. Но у небольшого процента населения обнаруживают подковообразную почку, которая появляется в результате сращения нижних долей обоих почек. Подковообразная почка довольно редко бывает связана с различными патологиями; в обычных случаях она существует бессимптомно. Такие вариации имеют особое значение в трансплантологии, поскольку в этом процессе важно учитывать любые анатомические вариации. ![]() Дополнительный палец при полидактилии обычно менее развит, чем остальные. Длинная ладонная мышца В предплечье расположена самая уникальная мышца человека. Она есть не у всех, а у некоторых такая мышца присутствует лишь в одной руке. Длинную ладонную мышцу можно вычислить по сухожилию, которое проступает по центру на внутренней стороне запястья, если напрячь руку и сжать кулак. Отсутствие этой мышцы не влияет на работу руки или силу захвата. Однако при наличии она станет золотым резервом в случае, если вам когда-либо понадобится пересадить кусок мышцы. ![]() Это рентгеновский снимок пациента с декстрокардией (смещением сердца вправо, а не влево). Транспозиция органов Это крайне редкая аномалия. Она характеризуется зеркальным, или обратным, расположением внутренних органов, отличающимся от общепринятого. Например, обычно сердце смещено влево. Но при транспозиции – или, в данном случае, декстрокардии – сердце смещено вправо. ![]() Длинная ладонная мышца есть не у всех. Ее сухожилие можно увидеть, если сжать руку в кулак. Слова благодарности В первую очередь я хотел бы поблагодарить профессора, кавалерственную даму Сью Блэк, проректора по работе со студентами из Университета Ланкастера, за то, что она любезно согласилась потратить время на рассказ о ряде аспектов анатомии и своих текущих проектах. Также я бы хотел поблагодарить доктора Басаама Аведа (консультанта по лечению инсультов в фонде госпиталей Хиллингтона и главного врача в Университете Брунеля) за рецензирование части главы по нервной системе и за то, что познакомил меня с профессором Барри Митчеллом (почетным профессором валеологии в «Науках здравоохранения» Университета Де Монфор и бывшим руководителем отдела анатомии в Медицинской школе Саутгемптонского университета), который просмотрел эту книгу. Я бесконечно благодарен за вашу помощь. Отдельно я хотел бы поблагодарить мою замечательную супругу Никки Доу за ее непоколебимую поддержку в процессе написания книги, терпение, вдохновение и понимание (ты была моей опорой) и мою дочь Элоди за то, что мирилась с нехваткой нашего совместного досуга. Кроме того, выражаю благодарность моим замечательным братьям и сестрам Джо, Вив, Джеффу и Джен за их терпение и безоговорочную поддержку, моей тете Мейбл за то, что стала мне второй мамой, и всей моей большой семье в Лондоне и Дорсете. И, наконец, от всего сердца благодарю всех друзей, которые не переставали верить в меня и подбадривали на всех этапах. Я бы хотел посвятить эту книгу моим покойным родителям, по которым скучаю каждый день. Элизабет Окона-Менса и Куаси Биллингс Окона-Менса, без которых всего этого бы не получилось. |
![Иллюстрация к книге — Взламывая анатомию [image254.jpg] Иллюстрация к книге — Взламывая анатомию [image254.jpg]](img/book_covers/092/92705/image254.jpg)
![Иллюстрация к книге — Взламывая анатомию [image255.jpg] Иллюстрация к книге — Взламывая анатомию [image255.jpg]](img/book_covers/092/92705/image255.jpg)
![Иллюстрация к книге — Взламывая анатомию [image256.jpg] Иллюстрация к книге — Взламывая анатомию [image256.jpg]](img/book_covers/092/92705/image256.jpg)
![Иллюстрация к книге — Взламывая анатомию [image257.jpg] Иллюстрация к книге — Взламывая анатомию [image257.jpg]](img/book_covers/092/92705/image257.jpg)
![Иллюстрация к книге — Взламывая анатомию [image258.jpg] Иллюстрация к книге — Взламывая анатомию [image258.jpg]](img/book_covers/092/92705/image258.jpg)