Онлайн книга «Взламывая анатомию»
|
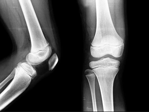
Соединительнотканный хрящ. Этот тип амортизирует кости позвоночника и встречается в коленном суставе. Соединительнотканный хрящ содержит много пучков коллагена, что делает его особенно прочным и сильным. Эластичный хрящ. Образует наружное ухо и надгортанник, который закрывает гортань при глотании. В эластичном хряще преобладает другой белок – эластин. Этот белок придает хрящу гибкость и объясняет, почему наши уши сначала согнутся, а только затем сломаются. ![]() Развитие костей Кости плода начинают развиваться в форме твердого хряща. Затем, в процессе роста организма, они сливаются и затвердевают. Этот процесс подчиняется основному закону структурной инженерии: исчезновение трубчатой структуры приводит к небольшому снижению прочности, но зато сопутствующее этому снижение веса становится крайне удобным для остальной части опорно-двигательной системы. Процесс замены хряща на кость (окостенение) начинается с тела кости и идет к ее концам, формируя там губчатую кость. Эпифизарный хрящ В детском возрасте мягкие диски гиалинового хряща, присутствующие в местах соединения эпифиза с диафизом (так называемый метафиз), проходят через стадию быстрого деления клеток. Хрящевая пластинка роста, или эпифизарная пластинка, – это участок, с которого кости начинают удлиняться. Новые клетки выталкивают старые к центру, из-за чего последние сплющиваются и затвердевают. По мере этого процесса кость постепенно удлиняется, а мы становимся выше. Паузы и старты К четырем годам наш мозг получает колоссальные объемы информации, для чего требуется огромное количество энергии. Однажды наступает момент, когда тело больше не может поддерживать одновременно рост и мозга, и самого организма. Поэтому принимает решение о временном замедлении роста костей, чтобы мозг мог потреблять всю необходимую энергию. ![]() На рентгеновском снимке эпифизарная пластинка выглядит как невидимая линия между двумя костями. У взрослых эпифизарная пластина затвердевает и отображается как белая линия. Во взрослом организме кости продолжают расти, но только в диаметре. В период полового созревания приоритеты меняются. К этому времени наш мозг уже дорос до того уровня, когда ему требуется меньше ресурсов. В качестве благодарности за это мозг высвобождает из гипофиза и гипоталамуса ряд половых гормонов, которые стимулируют последний скачок в развитии. Тогда эпифизарные пластинки начинают вновь создавать новые клетки с молниеносной скоростью. Это продолжается до тех пор, пока нам не исполнится двадцать лет. Затем пластинка роста перестает делиться, затвердевает и окостеневает. Мозговой отдел черепа Мозговой отдел черепа действительно уникален, ведь его образуют сразу восемь костей, или пластин. Изначально эти кости представляли собой отдельные структуры, которые после рождения стали срастаться. Наложение или смещение пластин выполняет сразу две функции: помогает головке малыша вытягиваться при прохождении через родовые пути и позволяет подстроиться под высокую скорость роста мозга. ![]() Роднички – это мягкие пространства между костями черепа новорожденных и младенцев. Со временем они полностью срастутся Она срастается с соседними костными клетками и образует эпифизарную линию. На рентгеновских снимках эпифизарная линия заметна в месте соединения диафиза и эпифиза. ![]() В период полового созревания мозг запускает последний скачок в развитии. Суставы и связки Суставы – это места соединения костей друг с другом. Связки – это эластичные пучки волокон соединительной ткани. Они выполняют поддерживающую функцию в суставах, брюшной полости и в тканях молочной железы. Типы суставов Суставы – это своего рода «место встречи», в котором кости могут состыковаться в комфортной среде и с минимальными трудностями. Все происходящее здесь зависит от типа сустава. ![]() Из всех шести синовиальных суставов наибольшую амплитуду движений обеспечивает шаровидный сустав (есть в плече и бедре). Синовиальные суставы. Это самые подвижные суставы. Они располагаются в костях коленей, локтей и кистей рук. Суставы выстланы гладким слоем соединительной ткани – синовиальной оболочкой, которая обеспечивает им большую амплитуду движений. Эта мембрана в одну клетку толщиной выделяет синовиальную жидкость, которая хорошо смазывает сустав и препятствует его высыханию. Синовиальные суставы заключены в прочную капсулу – суставную сумку, которая помогает суставу сохранять целостность и предотвращает нестандартные движения. По типу движения синовиальные суставы делятся на следующие группы: блоковидный, плоский, цилиндрический, шаровидный, седловидный и мыщелковый. Фиброзные суставы. В основном эти суставы зафиксированы и не двигаются. К этому типу относятся суставы черепа плода, более известные как швы черепа. Фиброзная ткань внутри суставов соединяет кости черепа друг с другом (см. «Мозговой отдел черепа» на стр. 91). В период активного мозгового роста суставы остаются гибкими. А затем, когда темп роста замедляется, швы начинают срастаться, становясь неподвижными. Хрящевые суставы. Хрящевая ткань соединяет две кости, придавая им частичную подвижность на малых расстояниях. Хрящевые суставы соединяют ребра с грудиной; именно поэтому грудная клетка способна расширяться. Но, как всегда, здесь не обошлось без исключений. К таким исключениям относятся межпозвоночные диски, которые, будучи фиброзными суставами, содержат хрящевую ткань (это фиброзно-хрящевые суставы, см. «Типы хрящей» на стр. 89), придающую им небольшую мобильность. Роль связок Связки – это пучки коллагеновых и эластиновых белковых волокон, их создают фибробласты. Сами фибробласты располагаются между волокнами и питаются губчатой тканью, которая переносится по кровеносным сосудам и нервам. Скелетно-мышечные связки проходят через надкостницу и соединяют две кости, образуя сустав. Кроме того, связки препятствуют вывихам костей, ограничивая их движение. Внутренние органы не плавают в животе; их удерживают на месте различные структуры, в том числе и брюшные связки. Также связки поддерживают форму и тонус женской груди. |
![Иллюстрация к книге — Взламывая анатомию [image70.jpg] Иллюстрация к книге — Взламывая анатомию [image70.jpg]](img/book_covers/092/92705/image70.jpg)
![Иллюстрация к книге — Взламывая анатомию [image71.jpg] Иллюстрация к книге — Взламывая анатомию [image71.jpg]](img/book_covers/092/92705/image71.jpg)
![Иллюстрация к книге — Взламывая анатомию [image72.jpg] Иллюстрация к книге — Взламывая анатомию [image72.jpg]](img/book_covers/092/92705/image72.jpg)
![Иллюстрация к книге — Взламывая анатомию [image73.jpg] Иллюстрация к книге — Взламывая анатомию [image73.jpg]](img/book_covers/092/92705/image73.jpg)
![Иллюстрация к книге — Взламывая анатомию [image74.jpg] Иллюстрация к книге — Взламывая анатомию [image74.jpg]](img/book_covers/092/92705/image74.jpg)