Онлайн книга «Взламывая анатомию»
|
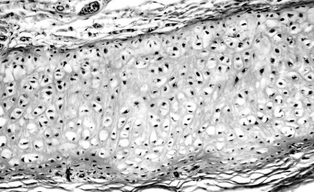
Костные клетки Остеогенные клетки. Эти стволовые клетки – единственные клетки в кости, способные к делению. Они формируют внутреннюю оболочку эндоста (внутренней надкостницы). Остеобласты. Кость – это каркас, или матрикс, создаваемый остеобластами. Остеобласты секретируют вещества, которые становятся основой для коллагеновых белковых волокон. Затем к этим волокнам прилипают, затвердевая, соли фосфата кальция. Остеоциты. За состоянием кости следят более зрелые типы остеобластов – остеоциты. Эти клетки созревают по мере окостенения остеобластов в матриксе. Остеоциты «живут» в небольших участках матрикса, называемых лакунами. Это овальные клетки с множеством отростков. Их цитоплазма проходит по небольшим канальцам, позволяющим остеоцитам взаимодействовать друг с другом и обмениваться полезными веществами или продуктами распада. Остеокласты. Остеокласт не остеогенный по происхождению. Это скорее лейкоцит второго поколения и потомок макрофагов (см. параграф «Белые кровяные тельца» на стр. 146–149). Такие клетки присутствуют в надкостнице и в эндосте. Остеокласты с остеобластами следят за тем, чтобы скорость разрушения и реабсорбции существующей кости не превышала скорость образования новой ткани. В противном случае может возникнуть остеопороз. ![]() У каждого из четырех типов костных клеток своя роль. Губчатая и трубчатая кости В разных костях содержится разное количество костной ткани. Несмотря на то что губчатые и трубчатые кости состоят из одинаковых материалов, их внутреннее строение различается. Трубчатая (компактная) кость Трубчатая кость формирует внешнюю стенку костей. Это второй по твердости материал в нашем организме (после зубной эмали); на его долю приходится 80 % веса костей. Трубчатая кость в разы плотнее губчатой, поэтому такая кость выглядит белой и гладкой. ![]() Трубчатая кость формирует твердую и прочную защитную оболочку вокруг губчатой кости. В ней содержится плотно упакованный костный материал. Трубчатую кость формируют микроскопические столбики (остеоны), которые состоят из концентрических колец остеоцитов. Такое кольцо называют ламеллой (костной пластинкой). В центре каждого остеона располагается Гаверсов канал, выстланный эндостом. В эндосте содержатся нервы, кровь и лимфатические сосуды, которые разветвляются во внешний и внутренний слои кости. Трубчатая кость покрыта надкостницей. ![]() В здоровом состоянии наши кости не ломаются при беге или прыжках, потому что трабекулы губчатой кости смягчают механическую нагрузку. Губчатая (спонгиозная) кость Губчатая кость – это внутренняя костная ткань. Она присутствует на концах длинных костей, костей таза, ребер, позвонков и черепа. Благодаря своей пористой структуре губчатая кость подвижнее и слабее трубчатой кости. Общая поверхность губчатых костей примерно в десять раз больше, чем трубчатых. Губчатая кость состоит из костных балок, или перекладин (трабекул), которые формируют пористую основу. Поверхность трабекулы выстлана эндостом. Характер роста трабекул обусловливается нагрузкой на кость. Пространство внутри трабекул заполнено красным костным мозгом. Остеонов нет, но лакуны заняты остеоцитами (как и в компактной кости). Позвоночные Отличительной особенностью всех позвоночных, будь то ныне живущие или уже вымершие, является наличие внутреннего скелета, или эндоскелета. К позвоночным относятся люди и другие млекопитающие, земноводные, рептилии, птицы и рыбы. Млекопитающие состоят из сотен костей. Например, у синего кита их около 350, а нижний предел у взрослого человека начинается от 206 костей. Считается, что в теле гигантских змей можно насчитать 500 позвонков, и каждый из них прикрепляется к своей паре ребер. Однако у подавляющего большинства змей 120–240 позвонков. Форма костей Как вы уже поняли, кости различаются по местоположению и выполняемым функциям. Внешний вид кости крайне важен, поскольку он определяет выполняемую функцию. Существует пять типов костей. ![]() Мужской и женский скелет Женский скелет миниатюрнее мужского. Но определять пол костного материала на основании морфологических отличий не всегда правильно – из-за естественного разнообразия людей в популяции. Вот несколько интересных гендерных различий. ![]() ![]() Мужские и женские скелеты отличаются по размеру и форме. Хрящ Если кости нужна гибкость, то она идет за помощью к хрящу. Эта гладкая, прочная и подвижная соединительная ткань присутствует во всех суставах у взрослых. Она покрывает концы костей, заменяя надкостницу. ![]() На этом микроснимке изображена структура наружного уха с эластичным хрящом, который расположен между перихондрием. Хрящ, как и кость, образуют клетки, создающие матрикс из хондробластов. Этот матрикс поддерживают более зрелые клетки – хондроциты, обитающие в лакунах матрикса. Под микроскопом хондроциты похожи на игрушечные глазки, которые лежат на ложе из белково-углеводной гиалоплазмы с коллагеном и/или эластином. Будучи аваскулярными, или бессосудистыми, хрящи получают питательные вещества диффузно, через плотную соединительную ткань (перихондрий). Эта мембрана покрывает хрящ, и из-за нее он медленнее заживает после повреждения. Типы хрящей Существует три типа хрящей. Гиалиновый хрящ. Формирует незрелый скелет и сохраняется в виде специальной пластины роста, расположенной в эпифизе длинных костей. Гиалиновый хрящ создает тонкую прослойку на суставных поверхностях костей. Помимо этого, его можно найти в кончике носа и в некоторых участках дыхательных путей: гортани, трахее и кольцах бронхов (см. параграф «Бронхи и бронхиолы» на стр. 171). Гиалиновый хрящ богат разрозненными коллагеновыми волокнами, что делает его гладким и скользким. |
![Иллюстрация к книге — Взламывая анатомию [image63.jpg] Иллюстрация к книге — Взламывая анатомию [image63.jpg]](img/book_covers/092/92705/image63.jpg)
![Иллюстрация к книге — Взламывая анатомию [image64.jpg] Иллюстрация к книге — Взламывая анатомию [image64.jpg]](img/book_covers/092/92705/image64.jpg)
![Иллюстрация к книге — Взламывая анатомию [image65.jpg] Иллюстрация к книге — Взламывая анатомию [image65.jpg]](img/book_covers/092/92705/image65.jpg)
![Иллюстрация к книге — Взламывая анатомию [image66.jpg] Иллюстрация к книге — Взламывая анатомию [image66.jpg]](img/book_covers/092/92705/image66.jpg)
![Иллюстрация к книге — Взламывая анатомию [image67.jpg] Иллюстрация к книге — Взламывая анатомию [image67.jpg]](img/book_covers/092/92705/image67.jpg)
![Иллюстрация к книге — Взламывая анатомию [image68.jpg] Иллюстрация к книге — Взламывая анатомию [image68.jpg]](img/book_covers/092/92705/image68.jpg)
![Иллюстрация к книге — Взламывая анатомию [image69.jpg] Иллюстрация к книге — Взламывая анатомию [image69.jpg]](img/book_covers/092/92705/image69.jpg)