Онлайн книга «Взламывая анатомию»
|
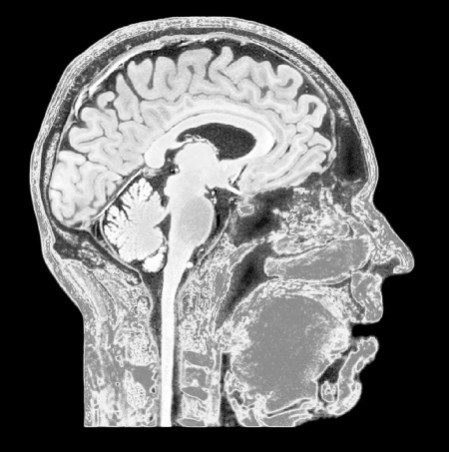
Ствол мозга и мозжечок образуют задний мозг и поддерживают в нас жизнь. Мозжечок В основании мозга расположена структура, похожая на скорлупу грецкого ореха. Ее называют мозжечком. Из-за схожести названий (cerebellum) его часто путают с конечным мозгом (cerebrum). Мозжечок, что в переводе с латыни означает «маленький мозг», является самой крупной структурой заднего мозга. Он управляет произвольными движениями мышц. Также мозжечок помогает поддерживать осанку и равновесие – за счет обработки нервных импульсов от сенсорных систем (например, внутреннего уха) и согласования с ними положения наших мышц. В отличие от остальных мозговых структур, левая половина мозжечка управляет левой половиной нашего тела. Это возможно благодаря парной работе с правым полушарием головного мозга. Злоупотребление алкоголем или деформация от опухоли или инсульта могут повредить мозжечок. Кроме того, на работу мозжечка влияют такие заболевания, как церебральный паралич и рассеянный склероз. Сопутствующие симптомы повреждения включают неустойчивую походку, рассогласованность движений мышц, невнятную речь и проблемы с выполнением точных движений. Средний мозг Средний мозг – это небольшая область в верхней части ствола мозга. Он играет важную роль в соединении заднего и переднего мозга. Средний мозг помогает обрабатывать входящие визуальные и звуковые сигналы, координирует движения и управляет болью. К важным структурам среднего мозга относятся крыша, покрышка и ножки мозга. В них содержится скопление пигментированных нейронов (их называют ядрами ЦНС), которые вырабатывают нейромедиатор дофамин. Эта темная область, или черное вещество, активно участвует в «системе поощрения» и движении. ![]() Болезнь Паркинсона связана с сокращением количества дофаминергических нейронов в черном веществе. Гибель дофаминергических нейронов приводит к различным заболеваниям и симптомам, например паркинсонизму и болезни Паркинсона. Считается, что повышенное выделение дофамина связано с развитием шизофрении. Было замечено, что пациенты лучше реагируют на лекарства, блокирующие дофаминовые рецепторы. В то же время люди, употребляющие амфетамины, которые также повышают уровень дофамина, проявляют те же симптомы, что и больные шизофренией. Однако есть и другие теории, оспаривающие это. Передний мозг Передний мозг – это все, что образовано конечным мозгом, за исключением среднего мозга. Иначе говоря, к переднему мозгу относятся кора головного мозга и подкорковые структуры: таламус, гипоталамус, базальные ганглии и лимбическая система. ![]() На рентгеновском снимке изображен сагиттальный участок мозга с четко видимыми структурами. У этого пациента кора головного мозга выглядит истонченной и усохшей, что является классическим признаком деменции. Кора головного мозга обрабатывает информацию, которая поступает от пяти органов чувств. Однако это не просто пассивный приемник; кора способна посылать команды в другие части нервной системы. Сенсорная и моторная (двигательная) зоны коры контролируют определенные участки тела, а четыре доли разделяют кору на функциональные части. Сенсорные области интерпретируют информацию, которую получают от органов чувств, а моторные зоны «говорят» скелетным мышцам, когда и как двигаться. Промежуточным звеном между сенсорной и моторной зонами являются ассоциативные области. Они анализируют полученную информацию и корректируют ее, прежде чем отправить дальше, в моторные области. Функции долей мозга Никто не знает автора этих строк, но часто говорят: «Если бы человеческий мозг был так прост, что мы могли бы его понять, то мы были бы так просты, что не смогли бы его понять». За эти годы мы достигли значительного прогресса в понимании организации и функций мозга и его долей. Но наука не стоит на месте, поэтому нам еще многое предстоит узнать. Пока что ясно лишь одно: мы живем, пока жив мозг; без него нас бы не было. ![]() ![]() ![]() ![]() Этот вид сбоку показывает основные функциональные зоны коры головного мозга. Основные функции каждой зоны приведены в таблице выше. Ты на меня смотришь? На изображении справа показано, как мозг «видит» вашу внешность. Этот образ не станет лучше, какой бы объектив не выбрал мозг: сенсорный или моторный. У вас так и останутся огромные руки, большие рот, язык и губы и маленькие туловище, ноги и голова. ![]() Эта диаграмма кортикального гомункула показывает, какими частями тела управляют определенные области мозга. ![]() «Гомункулус» на латыни означает «маленький человек». Человека-гомункулуса придумали американские нейрохирурги Уайлдер Пенфилд и Эдвин Болдри. Их работы, опубликованные в 1937 году, были посвящены пациентам с эпилепсией. Полученные данные позволили ученым составить карту различных областей мозга. Проекция-гомункулус показывает, как выглядел бы человек, если бы пропорции тела зависели от объема корковой области, выделенной мозгом. Такое искаженное изображение получается, потому что мозг разделяет соматосенсорную и моторную кору на области по степени иннервации органов, а не объему кожи или анатомической площади. Области тела с большим количеством чувствительных нейронов занимают крупные области коры, и, следовательно, такие области более чувствительны. Кровоснабжение мозга Наш мозг питают парная внутренняя сонная артерия и позвоночные артерии. Внутренние сонные артерии снабжают кровью переднюю часть мозга, а позвоночные артерии – заднюю. Позвоночная (теперь ее называют базилярной) и внутренняя сонные артерии после своего ветвления сходятся в нижней части головного мозга, образуя Виллизиев круг – кольцо из кровеносных сосудов, соединенных анастомозами. Виллизиев круг обеспечивает мозг кровью даже при сужении или закупорке одного из сосудов. В этом участке развивается большая часть аневризм. Если одна из таких аневризм лопнет, последует кровоизлияние в мозг. |
![Иллюстрация к книге — Взламывая анатомию [image162.jpg] Иллюстрация к книге — Взламывая анатомию [image162.jpg]](img/book_covers/092/92705/image162.jpg)
![Иллюстрация к книге — Взламывая анатомию [image163.jpg] Иллюстрация к книге — Взламывая анатомию [image163.jpg]](img/book_covers/092/92705/image163.jpg)
![Иллюстрация к книге — Взламывая анатомию [image164.jpg] Иллюстрация к книге — Взламывая анатомию [image164.jpg]](img/book_covers/092/92705/image164.jpg)
![Иллюстрация к книге — Взламывая анатомию [image165.jpg] Иллюстрация к книге — Взламывая анатомию [image165.jpg]](img/book_covers/092/92705/image165.jpg)
![Иллюстрация к книге — Взламывая анатомию [image166.jpg] Иллюстрация к книге — Взламывая анатомию [image166.jpg]](img/book_covers/092/92705/image166.jpg)
![Иллюстрация к книге — Взламывая анатомию [image167.jpg] Иллюстрация к книге — Взламывая анатомию [image167.jpg]](img/book_covers/092/92705/image167.jpg)
![Иллюстрация к книге — Взламывая анатомию [image168.jpg] Иллюстрация к книге — Взламывая анатомию [image168.jpg]](img/book_covers/092/92705/image168.jpg)
![Иллюстрация к книге — Взламывая анатомию [image169.jpg] Иллюстрация к книге — Взламывая анатомию [image169.jpg]](img/book_covers/092/92705/image169.jpg)