Онлайн книга «Взламывая анатомию»
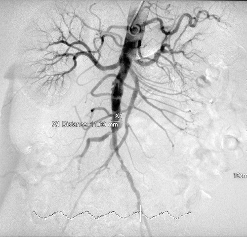
![]() ![]() Капилляры – это крошечные кровеносные сосуды. Они состоят только из слоя внутренней оболочки. Строение кровеносных сосудов Все кровеносные сосуды (кроме капилляров) имеют одинаковое базовое строение. Внешняя оболочка. Каждый сосуд покрыт наружной соединительнотканной оболочкой – внешней, или адвентициальной. Средняя оболочка. Гладкие мышцы и эластичные волокна этого слоя придают сосуду подвижность и эластичность. Внутренняя оболочка. Состоит из одного гладкого слоя сплющенных эндотелиальных клеток. Просвет сосуда. Это пространство в центре, по которому течет кровь. Артериальная система Название «артерия» происходит от греческого слова arteria, что означает «несущая воздух». Древние греки выбрали это название неспроста: они считали, что артерии переносят только воздух. Такое мнение было основано на их наблюдениях о том, что после смерти в артериях не остается крови. А это, как нам теперь известно, происходит из-за того, что после остановки сердца кровь скапливается в венах. ![]() Кровеносные сосуды можно увидеть с помощью специального типа рентгеновских лучей. Такой снимок называют ангиограммой. Артерии действительно переносят воздух, которым мы дышим, но не в буквальном смысле. Все артерии, кроме легочной, переносят обогащенную кислородом кровь от сердца. Легочная артерия, наоборот, переносит ненасыщенную кислородом кровь из сердца в легкие, где она обогащается кислородом и возвращается обратно. Аорта. Все артерии берут начало из двух источников: аорты и легочной артерии. Диаметр аорты, самой крупной артерии в организме, равен диаметру садового шланга. Аорта начинается от левого желудочка. Выходя из желудочка, она образует дугу, от которой ответвляются другие артерии, питающие различные структуры головы и рук. Затем аорта совершает изгиб в форме перевернутой буквы U и идет по направлению к груди, животу и нижним конечностям, параллельно ветвясь на другие артерии. Коронарные артерии. Перед тем как совершить свой U-образный изгиб, аорта должна насытить сердце кровью – через коронарные артерии, которые ветвятся на сеть мелких сосудов. Сердце нуждается в собственном кровоснабжении, ведь миокард и перикард слишком удалены от эндокарда и потому не могут получать через кровь нужные питательные вещества. ![]() Артериальную систему кровообращения образуют две главные артерии: аорта и легочный ствол, – которые выходят напрямую из сердца. Легочные артерии. Легочные артерии, снабжающие легкие кровью, значительно короче своих партнеров по системе. Они выходят из основания правого желудочка, а затем разделяются на правую и левую ветви. Артериолы. Артериолы – это самые маленькие артерии во всей артериальной системе. Из них образуются капилляры. Артериолы направляют кровоток к капиллярной сети, используя для этого тонкие пучки кольцевых гладкомышечных волокон – прекапиллярных сфинктеров. По команде мозга эти мышечные кольца сокращаются, уменьшая диаметр артериол и приток крови к капиллярам. По этой причине артериолы иногда называют прекапиллярными резистивными сосудами. Венозная система Самые маленькие вены – это венулы. Они выходят из капиллярного русла и сливаются в более крупные вены, у части которых есть специальные заслонки на стенках – венозные клапаны. В промежутках между сердечными сокращениями давление в организме падает, и кровь начинает течь в обратном направлении. Чтобы предотвратить обратный кровоток, венозные клапаны закрываются. По сравнению с артериями у вен более широкий просвет и тонкие стенки, образованные гладкими мышцами и менее эластичной тканью. К тому моменту, когда кровь попадает в венозное русло, давление сердца на артерии рассеивается. Поэтому стенки вен значительно тоньше. Два круга кровообращения В нашем теле есть два обособленных, но взаимосвязанных круга кровообращения. Большой круг кровообращения перекачивает обогащенную кислородом кровь из левого желудочка через аорту во все части тела (кроме легких). У легких есть собственное легочное кровообращение. Необогащенная кислородом кровь из тканей идет по полым венам и поступает в правое предсердие. Затем она попадает в правый желудочек, а после доставляется в легкие. Там она избавляется от углекислого газа, насыщается кислородом и доставляется по легочным венам в левое предсердие. Далее она проходит в левый желудочек, и весь цикл повторяется. ![]() Везде, где есть артерия, найдется и вена, которая будет переносить ненасыщенную кислородом кровь обратно в сердце. Вены из головы, рук и шеи сходятся в верхней полой вене, а вены, отводящие кровь от туловища и нижних конечностей, сливаются в нижней полой вене. Обе эти вены открываются в правое предсердие. Туда же входит и венечный (коронарный) синус – особая структура, образованная слиянием коронарных вен, которые отвечают за отток необогащенной кислородом крови из сердца. Выводящие кровь из легких вены объединяются в легочную вену, которая, в отличие от остальных вен, доставляет обогащенную кислородом кровь в левое предсердие. ![]() В венах скапливается около 60 % общего объема крови. Перед тем как попасть в сердце, все они сливаются в полую или легочную вену. Красные штучки Британский историк и биограф Роберт Лейси в своей книге «Аристократы» рассказывает, что именно испанцы породили в мировом сознании мысль о голубой крови аристократов. Эта идея возвращает нас к эпохе Средневековья в Европе, когда социальный класс человека определяли по тому, насколько заметными были синие вены под его кожей. Кожа у привилегированных особ была бледной, поэтому их поверхностные вены были заметнее, чем у загорелых крестьян, которые проводили свою жизнь в полях. Вены бледнокожих людей кажутся синими из-за физики электромагнитного излучения. А точнее – из-за того, как ведут себя различные длины волн света при проникновении под кожу. Красный и оранжевый световые спектры имеют большую длину волны, поэтому кожа и гемоглобин в крови абсорбируют их. У синего длина волны короче, поэтому он не может проникнуть глубоко под кожу, а вместо этого отражается от нее, позволяя вам увидеть синеву. |
![Иллюстрация к книге — Взламывая анатомию [image100.jpg] Иллюстрация к книге — Взламывая анатомию [image100.jpg]](img/book_covers/092/92705/image100.jpg)
![Иллюстрация к книге — Взламывая анатомию [image101.jpg] Иллюстрация к книге — Взламывая анатомию [image101.jpg]](img/book_covers/092/92705/image101.jpg)
![Иллюстрация к книге — Взламывая анатомию [image102.jpg] Иллюстрация к книге — Взламывая анатомию [image102.jpg]](img/book_covers/092/92705/image102.jpg)
![Иллюстрация к книге — Взламывая анатомию [image103.jpg] Иллюстрация к книге — Взламывая анатомию [image103.jpg]](img/book_covers/092/92705/image103.jpg)
![Иллюстрация к книге — Взламывая анатомию [image104.jpg] Иллюстрация к книге — Взламывая анатомию [image104.jpg]](img/book_covers/092/92705/image104.jpg)
![Иллюстрация к книге — Взламывая анатомию [image105.jpg] Иллюстрация к книге — Взламывая анатомию [image105.jpg]](img/book_covers/092/92705/image105.jpg)