Книга Сознание за пределами жизни. Наука о жизни после смерти, страница 58 – Пим ван Ломмель

Авторы: А Б В Г Д Е Ж З И Й К Л М Н О П Р С Т У Ф Х Ч Ш Ы Э Ю Я
Книги: А Б В Г Д Е Ж З И Й К Л М Н О П Р С Т У Ф Х Ц Ч Ш Щ Ы Э Ю Я
Бесплатная онлайн библиотека LoveRead.ec

Онлайн книга «Сознание за пределами жизни. Наука о жизни после смерти»

📃 Cтраница 58

Ранее в этой главе я упоминал о том, что строение и связность всех структур мозга – от молекул до нейронов, – постоянно меняется, отсюда возникает вопрос о долговременной памяти. Споры о хранении информации и о памяти еще больше осложнила опубликованная в Science статья с провокационным заголовком «Действительно ли необходим ваш мозг?» Она была написана в ответ на представленное английским неврологом Джоном Лорбером описание здорового молодого человека с университетским дипломом по математике и с IQ в 126 баллов. Сканирование мозга выявило у него тяжелый случай гидроцефалии: 95 % его черепа было заполнено спинномозговой жидкостью, толщина коры его головного мозга составила всего 2 миллиметра, места внутри черепа едва хватало для мозговой ткани. Вес остального мозга не превышал 100 граммов (по сравнению с весом нормального мозга 1500 граммов), и тем не менее мозговые функции этого человека не были нарушены. Едва ли возможно увязать этот исключительный случай с нашей нынешней убежденностью в том, что воспоминания и сознания создаются мозгом и хранятся в нем [28].

Вопрос заключается не только в том, как кратковременная и долговременная память могут нормально функционировать в условиях постоянно меняющихся синаптических связей в нейронных сетях, но и в том, как возникает потеря памяти. По мере того как мы становимся старше, наш мозг может атрофироваться в результате болезни Альцгеймера или атеросклероза. Объем мозга уменьшается, его клетки гибнут и уже не заменяются новыми, в итоге нейронные сети повреждаются, функционируют менее эффективно, деменция постепенно прогрессирует. В то время как долговременная память может некоторое время оставаться сохранной, кратковременная память ухудшается, когнитивные функции постепенно снижаются – человек перестает узнавать родственников, его речь становится затрудненной или даже полностью невозможной. Эти функции также могут быть утрачены при повреждении мозга, вызванном кровоизлиянием, тяжелой травмой головы с необратимым ущербом для мозга, длительным злоупотреблением алкоголем или перенесенным энцефалитом. Очевидным и корректным заключением должно быть следующее: мозг оказывает решающее влияние на то, как люди демонстрируют свое повседневное или бодрствующее сознание внешнему миру. Этот инструмент, мозг, может быть поврежден, в то время как «подлинное» сознание остается невредимым. Сознание и мозг взаимозависимы, но это не значит, что ментальные и эмоциональные процессы идентичны мозговым процессам или могут быть сведены к ним. Как еще можно объяснить тот факт, что пациенты с тяжелой деменцией или хронической шизофренией иногда испытывают краткие периоды ясного сознания («предсмертные прояснения») незадолго до смерти? [29]

Нейропластичность

На протяжении всей жизни в коре головного мозга происходит процесс постоянной адаптации, так как наша ментальная, интеллектуальная и физическая активность влияет как на количество, так и на расположение связей между нейронами. Этот процесс непрекращающейся адаптации называется нейропластичностью. Под влиянием практики осознанности, эмоций, активных мыслительных процессов, а также при движении нейронная сеть и электромагнитная активность мозга претерпевают постоянные изменения. Термин «умственная гимнастика» или «умственная тренировка» говорит о многом. Если мы остаемся умственно (и физически) активными до преклонных лет, наш мозг продолжает функционировать лучше благодаря более протяженной и разветвленной сети синапсов. «Сила разума» способна менять работу мозга [30].

В своей книге «Мозг, который меняет себя» (The Brain That Changes Itself) психиатр и психоаналитик Норман Дойдж представляет превосходный обзор множества научных исследований, предлагающих убедительные свидетельства нейропластичности. Он также подробно пишет о многих пациентах, которые принесло пользу терапевтическое применение свойства пластичности мозга, так как «наши мысли способны менять материальную структуру нашего мозга на микроскопическом уровне, так как мозг постоянно приспосабливается. Так что даже разговорная терапия или воображение могут изменить наш мозг» [31].

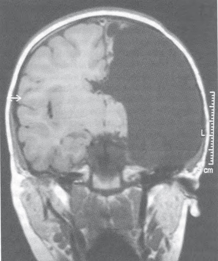
В детстве, примерно до четырехлетнего возраста, мозг поразительно пластичен. Есть свидетельства, что в этот период около сотни тысяч синапсов погибают и заменяются новыми каждую секунду [32]. Проявление крайности в сфере нейропластичности – случай трехлетней девочки, левое полушарие головного мозга которой пришлось удалить хирургическим путем из-за тяжелого хронического энцефалита с симптомами эпилепсии (см. рис. на с. 245). Врачи больницы Джона Хопкинса в Балтиморе провели эту серьезную операцию на мозге как минимум для сотни малолетних детей, многие из которых страдали стойкой эпилепсией, вызванной тяжелыми нарушениями нервно-психического развития. Если такое же хирургическое вмешательство переносили взрослые, последствия оказывались катастрофическими: пациенты теряли способность говорить или понимать язык, у них парализовало правую сторону, они слепли на один глаз. Но у этой девочки уже на следующий год после операции почти не проявлялись симптомы. Односторонний паралич практически исчез, она могла мыслить ясно. Сейчас она развивается нормально, бегло говорит на двух языках, бегает и прыгает, хорошо успевает в школе [33].

Единственное возможное объяснение этой поразительной приспособляемости заключается в том, что новые связи, сформированные благодаря пластичности, позволили оставшемуся правому полушарию мозга взять на себя все функции мозга в целом. С одной половиной мозга девочка способна выполнять столько же задач, сколько другие люди – с обеими половинами. Благодаря практике и желанию измениться к лучшему она смогла полностью перепрограммировать свой мозг, потому всего с половиной мозга восстановила те же способности, что и люди с нормально функционирующим мозгом.

Иллюстрация к книге — Сознание за пределами жизни. Наука о жизни после смерти [i_022.jpg]

Снимок фМРТ трехлетней девочки после удаления левой половины мозга (на снимке справа)


Эффект плацебо и психотерапия

Несколько научных исследований показали, что разум может в значительной мере влиять на функции мозга или обуславливать их. В исследовании когнитивно-поведенческой терапии и плацебо для лечения депрессии с помощью изучения сканов фМРТ и ПЭТ обнаружились постоянные изменения в распределении активности в некоторых областях мозга [34]. Снимки мозга пациентов с депрессией, получающих плацебо, показали неврологические улучшения в определенных участках мозга, идентичные тем, которые наблюдались у пациентов с депрессией, получающих когнитивную терапию или антидепрессанты. Одной мысли о получении надлежащего лечения хватило, чтобы вызвать явные объективные изменения в работе мозга пациентов с депрессией из группы получающих плацебо. Эффект плацебо изучался не только у пациентов, страдающих депрессией, но и при болезни Паркинсона, во время применения болевых раздражителей и во время оценки изменений в иммунной реакции [35]. Во всех этих исследованиях сдвиг в ожиданиях, спровоцированный эффектом плацебо, показал заведомо разные паттерны реакции и организма в целом, и мозга. Применение плацебо и позитивные болевые манипуляции оказывали благоприятное воздействие на некоторые центры мозга благодаря выбросу эндорфиноподобных веществ, и фМРТ показывала усиление активности в префронтальной коре ввиду роста ожиданий и изменившихся процессов внимания. У пациентов с болезнью Паркинсона, получавших плацебо, определенные центры мозга вырабатывали больше дофамина, что значительно снижало мышечную ригидность.

Вход
Поиск по сайту
Ищем:
Календарь