Онлайн книга «Кости: внутри и снаружи»
|
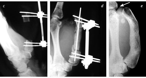
Кистевые хирурги [37] все это знают и при необходимости будут трудиться ночь напролет, лишь бы вернуть поврежденный палец на место. Даже полностью отделенный большой палец можно успешно приживить – реплантировать. Его чувствительность, подвижность и сила никогда полностью не восстановятся, но так, безусловно, лучше, чем вообще без пальца. Если восстановить или приживить эту важнейшую часть кисти невозможно, ее реконструируют. Существует три основные методики, которые я условно называю «упросить», «одолжить» и «украсть». В первом случае хирург и пациент как бы упрашивают обрубок большого пальца вырасти в длину. С обоих концов оставшейся кости хирург вставляет поперечные стальные шпильки, прикрепляет эти шпильки к стальной раме и разрезает кость между ними. Пациент каждый час поворачивает небольшую ручку этого приспособления, напоминающего аппарат Илизарова, и по чуть-чуть увеличивает промежуток между фрагментами кости. Процедура длится от шести до восьми недель. Кость и окружающие ее мышцы, сухожилия, нервы и кожа едва ли понимают, что их растягивают: для них это просто какой-то очень быстрый рост, и им надо успеть. Когда большой палец вновь обретает рабочую длину, хирург заполняет промежуток костным трансплантатом. Преимущество такого способа удлинения в том, что не приходится ничего «одалживать» или «красть». Однако не все так радужно: ноготь и отсутствующие суставы большого пальца уже не вернуть. Другие четыре пальца – указательный, средний, безымянный и мизинец – работают аналогично друг другу, и потеря одного из них имеет гораздо меньшие последствия, чем потеря большого пальца. На этом и основана вторая методика реконструкции большого пальца. Как вы думаете, что приходит в голову хирургу, если незаменимого большого пальца не хватает, а рядом расположились четыре его недостаточно занятых дружка? Разумеется, позаимствовать один из них! Обычно выбирают самый близкий – указательный. Хирург укорачивает его и разворачивает в положение большого. Эта процедура сложнее, чем удлинение остатка пальца, рука становится четырехпалой, зато новый большой палец будет иметь ноготь, и восстановление пройдет быстрее. ![]() ![]() В данном случае культя большого пальца была постепенно увеличена до длины, достаточной, чтобы сжимать и хватать. До лечения большой палец заметно короче – для сравнения стрелкой отмечен первый сустав указательного пальца (a). Во время первой операции врач ставит дистракционное устройство, разрезает кость и осторожно раздвигает ее концы (b). Расстояние между фрагментами кости постепенно увеличивают (на это уходит от шести до восьми недель), наращивают кожу, сухожилия, нервы и кровеносные сосуды (c). После этого в расширенный промежуток кости пересаживают трансплантат из бедра (d). Когда пересаженная кость заживает, работоспособность пальца восстанавливается, и аппарат снимают. Стрелкой показана новая длина по сравнению с исходным состоянием (e) ![]() Реконструкция большого пальца путем укорачивания и разворота указательного пальца: состояние до операции (a) и после нее (b, c) Бывает, что на одной кисти руки не хватает сразу нескольких пальцев или пациенту нужны все пальцы. В этих случаях «пригласить соседа» не получится. Если не удается «уговорить» культю вырасти, хирург может прибегнуть к «краже». Жертвой становится стопа. Большие пальцы ноги по форме почти идентичны своим собратьям на руках, поэтому именно они чаще всего идут в дело – вот только место преступления выглядит довольно неприглядно. Если похитить второй палец ноги, замена из него получится совсем тощая, зато ступня будет иметь аккуратные очертания. Такой вариант обычно выбирают в странах, где в помещении принято снимать обувь. На способность ходить и бегать отсутствие первого или второго пальца ноги почти не влияет. ![]() У этого пациента большим пальцем ноги заменили большой палец левой руки, утраченный в результате травмы. Стопа после операции полностью сохранила функциональность Операция по пересадке пальца с ноги на руку длится от пяти до десяти часов и требует прекрасного владения навыками микрохирургии. Хирург определяет нервы, артерии, вены и сухожилия пальца стопы, изолирует их и отрезает вместе с костью. Ампутированный палец переносят на руку и стыкуют аналогичные ткани между собой. Хирург обычно крепит кость пересаженного пальца к оставшейся в руке кости с помощью стальных штырей. Диаметр кровеносных сосудов – от полутора до трех миллиметров: их необходимо точно соединить практически невидимыми швами, ведь кровь должна двигаться по сосудам, не просачиваясь наружу. Когда кровообращение возобновится, концы кости будут спокойно заживать, не понимая, что стопа перепуталась с кистью руки. Пройдут месяцы, в пересаженный палец врастут новые нервные волокна, и чувствительность восстановится. По-английски получившуюся комбинацию иногда называют thoe [38]. * * * Помните? В период своего зарождения в XVIII веке ортопедия в основном занималась детьми. Доктора лечили деформации скелета, возникшие вследствие перенесенных заболеваний (туберкулеза, полиомиелита и рахита), исключительно неоперативными методами. Со временем эти болезни ушли в прошлое, появилась общая анестезия, возросли требования к стерильности, операции стали значительно безопаснее, а методы лечения усложнились. Один из таких методов – использование аппарата Илизарова для увеличения роста человека. Итальянские хирурги-ортопеды познакомили страны Запада с разработанными Илизаровым методами лечения переломов и начали применять их в борьбе с низкорослостью. Кое-кто считает, что это лишь косметическая процедура. Другие возражают, что она совершенно необходима для общего хорошего самочувствия тех, чей рост явно ниже нормы. Изначально аппараты устанавливали снаружи на обе ноги: большеберцовые кости распиливали посередине, а затем в течение нескольких месяцев растягивали на пять – восемь сантиметров. Следовали месяцы восстановления: удлиненные кости должны стать достаточно прочными, чтобы выдержать массу тела человека. Сегодня пациенты могут выбрать и другой вариант – удлинить бедренные кости. К сожалению, руки после такой процедуры будут выглядеть непропорционально короткими, поэтому некоторые пациенты не останавливаются на достигнутом и удлиняют плечевые кости. Места установки спиц должны быть тщательно очищены и продезинфицированы – через них в кость могут проникнуть кожные инфекции. Если заражение все-таки произошло, необходимо сразу начать агрессивное лечение, в противном случае одна серьезная проблема сменится другой. |
![Иллюстрация к книге — Кости: внутри и снаружи [i_033.jpg] Иллюстрация к книге — Кости: внутри и снаружи [i_033.jpg]](img/book_covers/095/95439/i_033.jpg)
![Иллюстрация к книге — Кости: внутри и снаружи [i_034.jpg] Иллюстрация к книге — Кости: внутри и снаружи [i_034.jpg]](img/book_covers/095/95439/i_034.jpg)
![Иллюстрация к книге — Кости: внутри и снаружи [i_035.jpg] Иллюстрация к книге — Кости: внутри и снаружи [i_035.jpg]](img/book_covers/095/95439/i_035.jpg)
![Иллюстрация к книге — Кости: внутри и снаружи [i_036.jpg] Иллюстрация к книге — Кости: внутри и снаружи [i_036.jpg]](img/book_covers/095/95439/i_036.jpg)