Онлайн книга «Кости: внутри и снаружи»
|
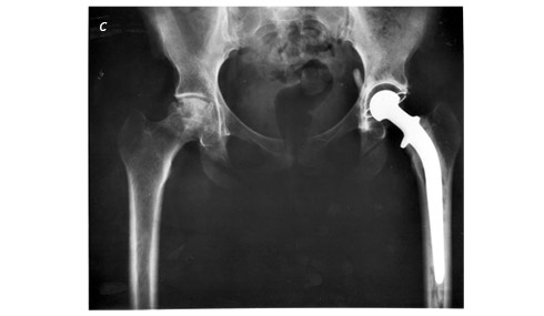
Другой проблемой, стоявшей перед Джоном Чарнли, были бактериальные инфекции. Вживление крупных металлических и полиэтиленовых деталей требовало больших разрезов и влекло за собой значительный риск инфицирования раны. В случае заражения приходилось удалять элементы протеза, и пациент чувствовал себя так, словно ему просто срезали головку бедренной кости. Бактерии обязательно присутствуют в воздухе операционной и с большой долей вероятности могут попасть в рану – напрямую или через хирургические инструменты. Чарнли начал наступление по трем направлениям. Он разработал «скафандры» для всей хирургической бригады. Костюмы имели систему вентиляции, поэтому людям в них было комфортно даже несмотря на то, что эти «скафандры» закрывали их с головы до ног. Также Чарнли усовершенствовал вентиляционную систему операционной: для очистки поступавшего воздуха от большинства бактерий и пыли установили высокоэффективные фильтры. Кроме того, отфильтрованный воздух направляли ламинарным потоком – так, чтобы самый чистый слой оказывался рядом с хирургическим разрезом. ![]() ![]() Сэр Джон Чарнли в перерыве между операциями поднял шлем «скафандра», которым он пользовался для предотвращения заражения (a). Протез тазобедренного сустава состоит из полиэтиленовой чаши, которая крепится к тазовой кости, и металлического шара со стержнем, который вставляют в бедренную кость (b). На рентгеновском снимке показано расположение новых элементов тазобедренного сустава и проволочный маркер вокруг ячейки сустава. Изображенный протез – один из многих вариантов, созданных на основе успешного проекта Джона Чарнли (c) Национальная медицинская библиотека США (a); Tom Schmalzried, MD (b); Национальный институт диабета, расстройств пищеварения и заболеваний почек, США (c) К концу 1960-х годов Джон Чарнли разобрался со всеми этими сложностями, и эндопротезирование тазобедренного сустава стало будничной и безопасной процедурой. К Чарнли потянулись хирурги-ортопеды со всего мира. Он настаивал, чтобы перед возвращением домой с набором инструментов доктора проходили специальный курс. Этот курс длился два с половиной дня и включал не только изучение хирургических методик – врач должен был уметь воспроизвести результаты, – но и тщательное ведение записей для последующего анализа. Состав и форма протезов, а также методы хирургического вмешательства продолжают совершенствоваться. В США ежегодно проводится около 300 тысяч операций по замене тазобедренного сустава: через эту процедуру прошло около одного процента населения страны. По влиянию на качество жизни артропластику сравнивают с лекарственной терапией артериальной гипертензии, диализом при хронической почечной недостаточности, стентированием и шунтированием при ишемической болезни сердца. Дело Джона Чарнли продолжили другие ортопеды. Они разработали прекрасные протезы для пораженных артрозом коленных и плечевых суставов. Тяжелый артроз и болезненность крупного сустава напоминают о себе при каждом движении и делают инвалидом здорового в целом человека. Вот почему мы с уверенностью можем сказать, что Джон Чарнли внес неоценимый вклад в современную медицину. Как вы помните, за это ему было пожаловано рыцарское звание. Сэр Джон получил славу и признание уже при жизни. Другим первопроходцам повезло меньше. Так бывает не только в ортопедии. Современники часто игнорируют, принижают нестандартно мыслящих людей и пренебрежительно к ним относятся. Галилея посадили под домашний арест за утверждение, что Земля не является центром Вселенной. Лично я не встречал ни одного ортопеда-новатора, посаженного под домашний арест. Однако я познакомлю вас с несколькими историями, когда путь к славе и триумфу оказывался крутым и тернистым, а случалось, что успех так и не приходил. ![]() Внешняя рама, закрепленная с помощью велосипедных спиц вокруг тяжело травмированной кости, произвела революцию в лечении осложненных переломов, не поддававшихся традиционной терапии (a). Изобретатель Г. А. Илизаров (слева) вместе со своим знаменитым пациентом, олимпийским чемпионом по прыжкам в высоту В. Н. Брумелем. На правой ноге спортсмена – аппарат Илизарова (b) Svetlana Ilizarov, MD (b) Герой первой истории – российский врач Гавриил Абрамович Илизаров. Он родился в Польше, учился в Крымском медицинском институте, во время Великой Отечественной войны вместе с институтом был эвакуирован в Казахстан. Не имея никакого практического опыта, Илизаров начал работать врачом в Курганской области – это почти две тысячи километров к востоку от Москвы, далеко от авторитетных центров медицинской науки. Война не обошла и этот регион стороной: туда прибывало много раненых, которые страдали от плохо заживавших, инфицированных переломов. Стремление помочь раненым, недостаток ресурсов и отсутствие предрассудков натолкнули Илизарова на мысль разработать наружную раму, которая фиксировала бы большеберцовую или бедренную кость на время заживления. Он поместил спицы перпендикулярно кости с обеих сторон перелома так, как это уже делали до него. Спицы выходили через кожу и крепились к металлическим кольцам вокруг конечности: чуть выше и чуть ниже места повреждения. Затем Илизаров дополнил свою конструкцию, стянув кольца продольными металлическими штифтами. Его устройство отличалось от применявшихся ранее тем, что штифты имели резьбу. В 1955 году Илизаров стал заведующим ортопедо-травматологическим отделением в своем сибирском форпосте. Дефицит ресурсов требовал импровизации, поэтому Илизаров использовал в работе велосипедные спицы и сравнивал получившуюся конструкцию с велосипедным колесом: концы кости, как втулки, полностью стабилизированы идущими от них к ободу спицами. Устройство исключало какое-либо движение между зафиксированными концами кости, благодаря чему остеобласты наконец получали возможность заживить перелом. Оставалась еще одна проблема – сократить промежуток между обломками кости: у «прыгучести» остеобластов есть свои пределы, и целый каньон они не преодолеют. Чтобы уменьшить расстояние, Илизаров решил понемногу сдвигать фрагменты кости и начал ежедневно корректировать положение колец на резьбовых стержнях. Лечение занимало не одну неделю, и доктор показывал пациентам с осложненными переломами, как выполнять эту манипуляцию в домашних условиях. Какой-то пациент все перепутал и упорно поворачивал винт в противоположном направлении, постепенно расширяя, а не уменьшая промежуток между фрагментами кости. К изумлению Илизарова, несмотря на то что пробел увеличивался, кость заполнила его и зажила обычным образом. Остеобласты – эти микроскопические труженики – усердно вырабатывали коллаген и гидроксиапатит, не подозревая, что их задача усложняется. Наружное растяжение применялось для удлинения конечностей и раньше, но хирурги заполняли промежуток между фрагментами костей трансплантатом, взятым из другого места организма пациента. Для этого требовалось дополнительное хирургическое вмешательство, сопряженное с риском болей, обезображивания и инвалидности. Илизарова осенило. Он понял, что очень медленное (шесть корректировок в день, меньше полутора миллиметров) расширение промежутка между отломками кости позволит новой костной ткани заполнить пробел. (Дерни лакричную палочку – она порвется. Потяни медленно, и она растянется.) Более того, Илизаров обнаружил, что таким образом можно выправить кость, зажившую с любыми искривлениями, поворотами и сокращением длины. (Поворачивай и сгибай лакричную палочку, и она поддастся.) |
![Иллюстрация к книге — Кости: внутри и снаружи [i_028.jpg] Иллюстрация к книге — Кости: внутри и снаружи [i_028.jpg]](img/book_covers/095/95439/i_028.jpg)
![Иллюстрация к книге — Кости: внутри и снаружи [i_029.jpg] Иллюстрация к книге — Кости: внутри и снаружи [i_029.jpg]](img/book_covers/095/95439/i_029.jpg)
![Иллюстрация к книге — Кости: внутри и снаружи [i_030.jpg] Иллюстрация к книге — Кости: внутри и снаружи [i_030.jpg]](img/book_covers/095/95439/i_030.jpg)