Книга Кости: внутри и снаружи, страница 11 – Рой Милз

Авторы: А Б В Г Д Е Ж З И Й К Л М Н О П Р С Т У Ф Х Ч Ш Ы Э Ю Я
Книги: А Б В Г Д Е Ж З И Й К Л М Н О П Р С Т У Ф Х Ц Ч Ш Щ Ы Э Ю Я
Бесплатная онлайн библиотека LoveRead.ec

Онлайн книга «Кости: внутри и снаружи»

📃 Cтраница 11

Как заживает полный перелом, то есть нарушение целостности кости? Предположим, вы не заметили бордюр на парковке, споткнулись и инстинктивно выставили руки перед собой, чтобы не удариться лицом об асфальт. Потом вы садитесь и замечаете, что запястье сильно болит, а кисть вывернута к северо-западу, если предплечье условно смотрит на север. Кость пережила настоящее землетрясение и сломалась, а ее фрагменты лежат под углом друг к другу. Что будет, если отправиться домой, обернуть деформированное запястье журналом и перевязать галстуком, просто позволив природе сделать свое дело без вызова скорой помощи и травматологов? В наши дни такое развитие событий кажется неправдоподобным, по крайней мере в промышленно развитых странах, однако у животных переломы заживают без профессионального ухода миллионы лет – ископаемые остатки и кости полового члена не дадут соврать. А что случится, если ваше сломанное запястье будет заживать само по себе?

Чудесные режущие конусы с удовольствием примутся за дело так же, как при усталостном переломе. Только на этот раз все не так просто: промежуток между перемешанными, неровными фрагментами кости для конусов слишком велик – как разлом Сан-Андреас [12] для оглушенной землетрясением пустынной черепашки. Чтобы черепаха после таких тектонических сдвигов доползла до другого края, можно временно заполнить разлом каким-нибудь полутвердым веществом, например жидкой глиной.

Все, что происходит со сломанными костями, не перестает меня изумлять. Пока режущие конусы ждут своего часа, из разорванных капилляров вытекает кровь, заполняя просвет перелома. Затем в получившемся сгустке в течение двух недель формируются новые капилляры и коллагеновая сеть. Вскоре после травмы включаются химические сигналы тревоги. От их какофонии приходят в действие близлежащие клетки. Они начинают вырабатывать хрящ, который по консистенции напоминает шпатлевку. Остеобласты создают немного примитивной костной ткани, чтобы укрепить эту область. Через три – шесть недель, в зависимости от размера кости и масштабов промежутка, встряска остается позади. Вуаля – новая кость предварительно соединила обломки друг с другом.

Теперь в игру вступают режущие конусы. Они следуют за пьезоэлектрическими сигналами, которые посылает примитивная костная ткань, и создают прочную зрелую костную ткань, пробуривая и заполняя тысячи отверстий. После большинства переломов кисти руки прочность кости восстанавливается уже через четыре – шесть недель, и можно вернуться к спорту и ручному труду.

Иллюстрация к книге — Кости: внутри и снаружи [i_019.jpg]
Иллюстрация к книге — Кости: внутри и снаружи [i_020.jpg]

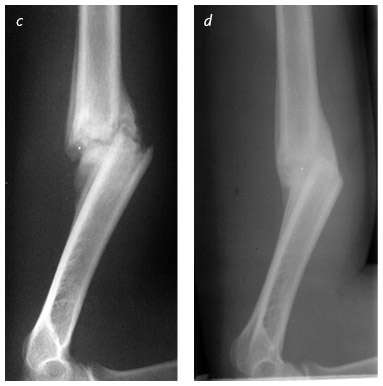
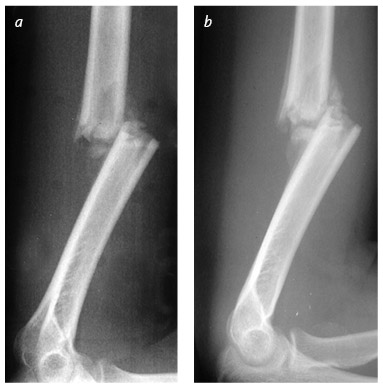
Вид сбоку показывает этапы заживления и перестройки кости при переломе плеча: на момент повреждения (a), через четыре недели (b), через восемь недель (c) и через шестнадцать недель (d), когда перелом хорошо зажил. Остеокласты притупляют острые углы, а остеобласты наслаивают новую костную ткань, стабилизируя перелом. Вместе эти строители и разрушители постепенно восстанавливают правильное расположение и форму кости


Нижним конечностям при заживлении приходится выдерживать вес тела, так что может потребоваться от двенадцати до шестнадцати недель, прежде чем вы снова будете готовы побороться с бордюром на парковке. Если кость крупная и при переломе произошло серьезное смещение, режущим конусам предстоит трудиться в течение многих месяцев, а иногда и нескольких лет. Постепенно признаков повреждения будет становиться все меньше, и они могут даже полностью исчезнуть.

Большинство других тканей лишены такого уникального свойства. Например, шрамы на коже, полученные в детстве, скорее всего, будут видны и десятилетия спустя, а если сердце переживет инфаркт, на поврежденной мышце появится шрам, который всегда будет сказываться на способности оставшихся мышечных волокон перекачивать кровь. Только кость и роговица заживают без шрамов, но пусть роговица подождет своей истории.

Пациенты часто спрашивают врачей: «Что мне делать, чтобы перелом быстрее зажил?» Если коротко – надо позаботиться о том, чтобы остеобласты и остеокласты были довольны. Они трудятся в месте перелома круглые сутки, создавая и перестраивая новую кость. Если не обеспечивать их необходимыми строительными материалами, работа забуксует.

На заживление переломов негативно влияют три группы факторов. Первая группа отчасти в руках пациента: это питание (соблюдайте хорошо сбалансированную, полезную диету), курение (не надо), диабет (следите за своим состоянием) и инфекционные заболевания (постарайтесь не заразиться, а если заболели – активно лечитесь). Неполноценное питание сказывается на заживлении любых ран, поскольку необходимых веществ лишается весь организм. Никотин вызывает сужение кровеносных сосудов, поэтому, даже если питательных веществ хватает, они не смогут в нужном количестве попасть в нужное место. Диабет тоже уменьшает способность кровеносных сосудов доставлять стройматериалы. Кроме того, из-за резких перепадов уровня сахара в крови при плохо контролируемом диабете клетки-строители оказываются сбитыми с толку: сначала у них возникает прилив сахарной эйфории, а затем их лишают лакомства. В случае заражения бактерии начинают конкурировать с остеобластами и остеокластами за питание. Инфицированные переломы при правильном лечении могут зажить, но пациент должен соблюдать указания врача по уходу за раной и приему антибиотиков, чтобы свести к минимуму вред, который наносит инфекция.

Вторая группа факторов, ухудшающих заживление переломов, отчасти в руках доктора. Сюда входит подвижность костей в месте перелома, диабет и уплотнение стенок артерий, ограничивающее кровоток. Если хрупкий капилляр, который пытается пробиться к месту перелома и доставить питательные вещества, будет разорван движением концов кости, стройматериалы окажутся недоступны. С помощью лекарств можно контролировать диабет, расширять больные сосуды и улучшать насосную способность сердца – все, что помогает питанию травмированного места. Стероиды [13] – достаточно эффективные противовоспалительные препараты. Однако воспаление является обязательным этапом заживления перелома, и, чтобы стимулировать этот процесс и ускорить выздоровление, желательно избегать приема этих препаратов [14]. Аналогичным (хотя и не таким сильным) противовоспалительным действием обладают нестероидные препараты (например, ибупрофен, напроксен, аспирин). В ряде лабораторных экспериментов было показано, что нестероидные противовоспалительные средства препятствуют заживлению ран, но этим обстоятельством можно пренебречь – умеренный прием таких препаратов для обезболивания после перелома однозначно лучше, чем горсти таблеток с наркотическим эффектом.

Реклама
Вход
Поиск по сайту
Ищем:
Календарь