Книга Сотворение Земли. Как живые организмы создали наш мир, страница 19 – Андрей Журавлев

Авторы: А Б В Г Д Е Ж З И Й К Л М Н О П Р С Т У Ф Х Ч Ш Ы Э Ю Я
Книги: А Б В Г Д Е Ж З И Й К Л М Н О П Р С Т У Ф Х Ц Ч Ш Щ Ы Э Ю Я
Бесплатная онлайн библиотека LoveRead.ec

Онлайн книга «Сотворение Земли. Как живые организмы создали наш мир»

📃 Cтраница 19

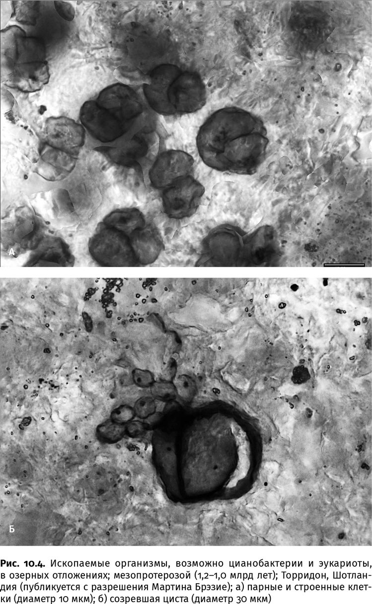
Пока следы достаточно сложной наземной биоты, существовавшей 1,0 млрд лет назад, обнаружены только в Северо-Западной Шотландии: в озерных отложениях того времени, которые ныне слагают песчаные скалы Торридона, есть прослои серых сланцев, а в них — фосфатные стяжения с микроскопическими остатками. Несмотря на мелкие размеры, некоторые из ископаемых намного крупнее любых бактерий. Среди них встречаются и многоклеточные формы, и клетки с очень сложным строением оболочки (рис. 10.4). Вероятно, то были одноклеточные и колониальные водоросли, а росли они вместе с колониальными коккоидными и нитчатыми цианобактериями на дне временно пересыхающих водоемов.

В океане на биогенах бурно развивался фотосинтезирующий планктон, и образовавшееся органическое вещество со временем уходило на дно. О высоких темпах захоронения неокисленной органики свидетельствует углеродная изотопная аномалия, приуроченная к морским отложениям, как раз предшествующим началу стертского оледенения (720 млн лет назад): δ13С = +13‰. И если органика погребается в неокисленном виде, то весь углекислый газ, выхваченный из атмосферы и связанный в виде органических соединений, не поднимется вновь в воздух, а его содержание может упасть ниже критической отметки, при которой поддерживается парниковый эффект. Наступает похолодание. Этот процесс саморегулирующийся: похолодание вызывает вымирание планктона, двуокись углерода больше не изымается из атмосферы (и не расходуется на выветривание скованных ледяным панцирем горных пород) и начинает накапливаться в атмосфере, поступая вместе с вулканическими эманациями. Парниковый эффект возобновляется, льды тают, талые воды выносят в океан огромные объемы накопившихся во льдах в виде пыли биогенов, фитопланктон «цветет»… Судя по многочисленности оледенений в криогеновом-эдиакарском периодах (по меньшей мере три, а возможно и пять, не считая более мелких циклов), биосферная гипотеза наиболее близка к истине.

Иллюстрация к книге — Сотворение Земли. Как живые организмы создали наш мир [i_023.jpg]
Глава 11. Великое кислородное событие, акт третий: биосфера

Наконец, третье и наиболее существенное последствие Великого кислородного события — появление эукариот, что, собственно, привело ко второму событию (изменению состава атмосферы) и предопределило первое (распространение новых минералов). Вполне возможно, что случилось это событие вынужденно: свободный кислород — вещество исключительно активное и легко взаимодействует с органическими молекулами, окисляя их. Поэтому избыток кислорода грозит живым существам гибелью. Выход из ситуации был найден неожиданный и радикальный: создание своего рода живой матрешки, где внутри одной клетки, изолированно от ее внутренних структур, с помощью дополнительной мембраны была упрятана другая. Так предшественники эукариот обрели симбиотическую органеллу митохондрию, обеспечивающую защиту от опасного кислорода благодаря его постепенному усвоению, т. е. дыхание. У митохондрий до сих пор сохранилась собственная ДНК, указывающая на их прямое родство с альфа-протеобактериями, которые используют кислород как акцептор электронов для пополнения энергетических запасов клетки, а именно для синтеза аденозинтрифосфорной кислоты (АТФ). Симбиогенез с альфа-протеобактериями обеспечил будущих эукариот необходимыми запасами дешевой энергии. Ведь из всех возможных путей обмена веществ именно кислородное дыхание дает наибольший выход свободной энергии в расчете на одну использованную (окисленную) молекулу органического вещества (например, глюкозы). Без подобной энергетической подпитки никогда бы не появились ни подвижные существа, ни многоклеточные, ни крупные одноклеточные вообще. Даже организмы, перешедшие на анаэробное дыхание, по-прежнему пользуются митохондриями, хотя у них эти органеллы преобразовались в гидрогеносомы и митосомы, восстанавливающие электроны до водорода. (Не исключено, что в этом случае бывшие альфа-протеобактерии «вспоминают» свое прошлое: так, пурпурные несерные бактерии, относящиеся к этой группе, используя разные источники протонов, могут жить и в аэробной, и в анаэробной среде.) За длительное, по меньшей мере 2 млрд лет, время сосуществования с хозяевами митохондрии передали значительную часть своего генного аппарата клеточному ядру, и в ядерном геноме оказались чужеродные гены все тех же альфа-протеобактерий, например такие, что кодируют белки, устойчивые при высоких температурах.

Вслед за этим актом обретения сложности последовал еще один: клетки с митохондриями обзавелись собственными фабриками фотосинтеза — пластидами, или хлоропластами. Последние являются прямыми потомками свободно живущих цианобактерий. Среди возможных претендентов на эту роль рассматриваются и шаровидные хроококки. Хроококки улавливают в дневное время азот, для чего используют запасенные ночью полисахариды и крахмал (многие цианобактерии на это не способны). Обретение фотосимбионта оказалось выгодным вдвойне: сразу и органические запасы, и азотистые «удобрения». Возможно, именно потребность в фиксации азота — значимого биогенного элемента — могла быть первичной задачей симбиогенеза. Организм-хозяин усваивает его в виде аммонийного иона (NH4+). Так появились красные и зеленые водоросли — первичнопластидные, или архепластиды (Archaeplastida).

Как и в случае с митохондрией, часть генетической информации новой органеллы была передана ядру, геном которого у растений содержит почти 20 % генов цианобактерии (а пластиды удержали менее 10 % изначального бактериального генома).

Хотя теория симбиогенеза — многоступенчатого симбиоза различных прокариот, сформировавших эукариотную клетку, — зародилась более 100 лет назад — в трудах российских ботаников и физиологов Андрея Сергеевича Фаминцына, Константина Сергеевича Мережковского и Бориса Михайловича Козо-Полянского, их правоту подтвердили только молекулярно-генетические исследования последних лет. Более того, если до нынешнего тысячелетия считалось, что строение клеточных мембран не позволяет одному микробу поглотить другого, чтобы тот остался цел и невредим, недавнее открытие протеобактерий двух разных групп, которые существуют одна внутри другой, делятся продуктами обмена веществ и даже обмениваются генами, доказывает возможность симбиоза разных прокариот.

В железорудной формации Ганфлинт (1,9 млрд лет) наряду с простенькими бактериями найдена довольно сложная эосфера (Eosphaera), представляющая собой относительно крупную клетку (до 30 мкм) с двойной оболочкой, между слоями которой закономерно расположены мелкие сферические тельца (1–7 мкм в диаметре). Даже в более древней формации Стрелли-Пул (3,43 млрд лет) присутствуют относительно большие и сложные по меркам микромира чечевицеподобные клетки — с оторочкой на поверхности и мелкими сферическими тельцами внутри. Так вполне могли выглядеть древние симбиотические прокариоты, пока еще не превратившиеся в эукариот. А в мелководных морских аргиллитах и сланцах возрастом 3,2 млрд лет на Каапваале найдены органические сферы до 0,3 мм в диаметре — самые крупные организмы архейского эона. Они намного прочнее бактериальных оболочек, но в то же время не имеют сложной структуры стенки и намного крупнее большинства бактерий. И такими вполне могли быть начинающие эукариоты.

Реклама
Вход
Поиск по сайту
Ищем:
Календарь