Книга Деменция. Диагностика и лечение, страница 55 – Мария Чухловина

Авторы: А Б В Г Д Е Ж З И Й К Л М Н О П Р С Т У Ф Х Ч Ш Ы Э Ю Я
Книги: А Б В Г Д Е Ж З И Й К Л М Н О П Р С Т У Ф Х Ц Ч Ш Щ Ы Э Ю Я
Бесплатная онлайн библиотека LoveRead.ec

Онлайн книга «Деменция. Диагностика и лечение»

📃 Cтраница 55

Известно, что опухоли лобных долей особенно часто могут протекать с выраженными когнитивными расстройствами. У пациентов с лобной локализацией опухоли Оппенгейм описал проявления, которые назвал Witzelsucht, что переводится как склонность пациентов к остротам, каламбурам, игре слов. В работах А. Р. Лурия и его учеников проведено фундаментальное исследование нарушений познавательных процессов при локальных поражениях головного мозга. При проведении нейропсихологического анализа решения задач было выявлено, что «нарушение программированного характера деятельности и утеря избирательного характера включенных в нее операций представляют собой одну из наиболее типичных особенностей нарушения интеллектуальных процессов при поражениях лобных долей мозга» [116]. О нарушении логических операций при поражении лобных долей свидетельствовали эксперименты, выполненные пациентами с массивными поражениями лобных долей головного мозга. Оказалось, что такие пациенты легко решают задачи на нахождение аналогии, не требующие активного выбора и торможения побочных связей, и не могут выполнить то же задание в условиях необходимости использования выбора из нескольких равновероятных альтернатив. В то же время пациенты с поражениями теменно-височно-затылочных отделов мозга исходят в решении задач из заранее составленного плана. Несмотря на трудности, связанные с дефектами одновременных или последовательных синтезов, с нестойкостью мнемических процессов, нарушениями речи, выполняемые ими операции обычно «никогда не выпадают из основной программы и всегда носят четко детерминированный ею, избирательный характер» [116].

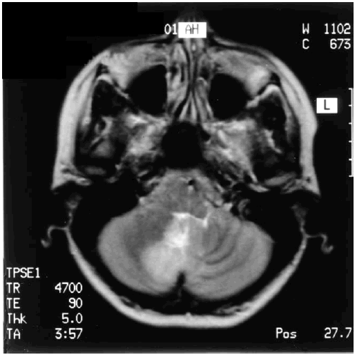
Опухоли лобной доли могут в начале проявиться только изменениями поведения. Одним из ранних симптомов может быть психическое расстройство, проявляющееся общей апатией, потерей интереса к окружающим, заторможенностью, неопрятностью или, наоборот, повышенной возбудимостью, агрессивностью, снижением критики, внимания, памяти, интеллекта, дурашливостью, склонностью к плоским, сальным шуткам. Выдающийся канадский врач Пенфилд отметил, что «мы не знаем комнаты, где прячется сознание»; то же можно сказать об интеллекте. Пациенты с опухолью лобной доли нередко производят впечатление людей, у которых произошло значительное снижение интеллекта, сопровождающееся психическими нарушениями. Следует согласиться с мнением о том, что эти расстройства не являются результатом внутричерепной гипертензии, поскольку развитие ее наблюдается при лобных опухолях в меньшей степени и на более поздних стадиях, чем при новообразованиях другой локализации, которые реже сопровождаются поражением высших корковых функций [145]. Нарушения когнитивных функций могут выявляться и при опухолях ствола головного мозга. При обследовании 101 пациента с первичными, вторичными и околостволовыми опухолями (55 мужчин и 46 женщин) в возрасте 16–75 лет расстройства высших корковых функций выявлялись у 9,9 % больных [179]. Авторы отмечают, что снижение критики, эйфория, снижение памяти обычно наблюдались у пациентов с окклюзионной гидроцефалией. При этом расстройства памяти преобладали у больных с околостволовыми опухолями, преимущественно области таламуса. У пациентов с опухолями ствола возможно развитие патологического смеха, нарушений поведения, что объясняют тесными связями с височной долей, изменениями серотонинергической нейротрансмиссии [204]. Как отмечалось, когнитивные расстройства могут развиваться у пациентов с поражениями мозжечка. На рис. 12.1 представлена МРТ головного мозга пациентки 38 лет с опухолью намета мозжечка, у которой, наряду с мозжечковой симптоматикой, выявлялись умеренные когнитивные нарушения, регрессировавшие через семь месяцев после нейрохирургической операции. Благодаря успехам клинической неврологии и достижениям современной нейрорадиологии стали возможными ранняя диагностика опухолей головного мозга и направление таких пациентов в нейрохирургические отделения.

Иллюстрация к книге — Деменция. Диагностика и лечение [i_011.jpg]

Рис. 12.1. МРТ головного мозга пациентки с опухолью намета мозжечка с УКР


Следует подчеркнуть, что нейрохирургия прошла огромный путь от становления клинической дисциплины до высокого уровня оказания специализированной помощи в нейрохирургических стационарах сегодня, о чем подробно рассказывается в фундаментальных работах [98, 108]. Считается, что первую успешную операцию удаления опухоли головного мозга (большая плоскостная экстрацеребральная бластома основания левой лобной доли) сделал шотландский хирург Уильям Макивен (William Macewen) в 1879 г. В последнее десятилетие не только улучшилась диагностика опухолей головного мозга, нейрохирурги сумели добиться хороших результатов оперативных вмешательств у нейроонкологических больных. Этому способствует внедрение новых технологий с картированием высших корковых функций до операции с помощью современных нейрофизиологических методов [364]. Еще И. П. Павлов в результате проведенных экспериментов отмечал: «Одно из явлений, перед которым приходится стоять в глубоком недоумении, – это тот факт, что вы удаляете очень большие куски полушарий, а через некоторое время вы почти не можете открыть никакого дефекта в деятельности нервной системы. Казалось бы, что вы имеете перед собой чрезвычайно дорогой и важный механизм, а с другой стороны, вы наломали в нем кучу, а результатов не видите. Я хочу сказать, что обращает на себя внимание чрезвычайная замещаемость мозговой массы».

Однако при злокачественных опухолях головного мозга с неуклонным прогрессированием пациент и его близкие неизбежно задумываются о возможности летального исхода. Решению этой проблемы посвящены многочисленные исследования. Для описания психологических реакций на смерть психиатр Элизабет Кюблер-Росс разработала следующую модель, выделив пять эмоциональных стадий: 1) отрицание; 2) гнев; 3) сделка; 4) депрессия; 5) принятие. Дальнейшее развитие этих вопросов находим в работах Д. Боулби [1980], который считал, что имеет место не линейная последовательность смены стадий, а колебание между фазами. Представляются важными взгляды на проблемы смерти и умирания профессора С. Миллер, которая в начале своей профессиональной карьеры была руководителем клиники для ВИЧ-инфицированных. На примере повести Л. Н. Толстого «Смерть Ивана Ильича» С. Миллер [122] обсуждает стадийную модель Кюблер—Росс, разработанную через семь десятилетий после ее написания. Напомним, что у героя повести – Ивана Ильича, сорокапятилетнего судьи, была обнаружена неоперабельная опухоль, сопровождающаяся сильной болью. В то же время семья, друзья, доктор не рассказывают ему о тяжести болезни и о прогнозе, что приносит Ивану Ильичу психологические муки, поскольку он осознает их ложь. Думается, что эта повесть Л. Н. Толстого и анализ ее, проведенный С. Миллер, дают возможность врачу лучше понять состояние пациента и помочь ему. В таких случаях необходимо проведение паллиативного (от лат. palliare – прикрывать, прятать) лечения, направленного на смягчение тяжести физических и эмоциональных симптомов, переживаемых пациентом.

Выдающийся австрийский психотерапевт Виктор Франкл писал: «Забота врача о душе пациента предполагает помощь больному в том, чтобы он мог выстоять перед лицом фатально неизбежных страданий».

Глава 13. Нормотензивная гидроцефалия и деменция

Сознание своей болезни и готовность лечиться есть уже начало исцеления.

Вход
Поиск по сайту
Ищем:
Календарь