Книга Деменция. Диагностика и лечение, страница 45 – Мария Чухловина

Авторы: А Б В Г Д Е Ж З И Й К Л М Н О П Р С Т У Ф Х Ч Ш Ы Э Ю Я
Книги: А Б В Г Д Е Ж З И Й К Л М Н О П Р С Т У Ф Х Ц Ч Ш Щ Ы Э Ю Я
Бесплатная онлайн библиотека LoveRead.ec

Онлайн книга «Деменция. Диагностика и лечение»

📃 Cтраница 45

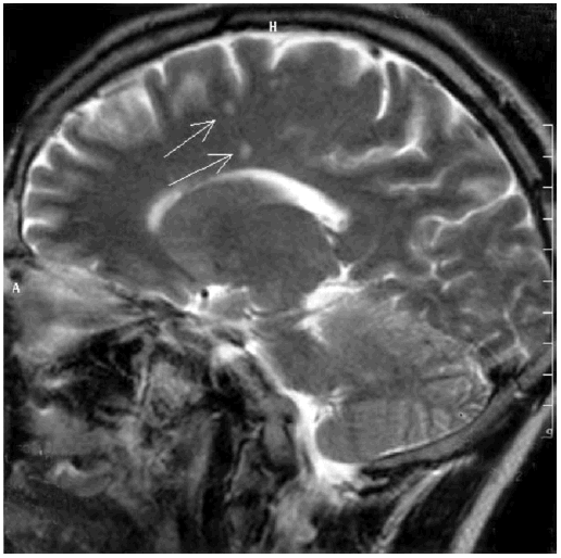
Спустя семь лет было установлено, что эпидемическая вспышка в городе Лайм была вызвана особым возбудителем, которого назвали боррелией, а заболевание – болезнью Лайма, или клещевым боррелиозом. Болезнь распространена не только в США (в 2001 г. зарегистрировано 17 029 случаев), но и в европейских странах (ежегодно около 60 тыс. случаев), в том числе в России. При клещевом боррелиозе через 2–4 недели от присасывания клеща у 40 % пациентов в Европе и у 80 % больных в США возникают кожные проявления. Обычно это кольцевидная эритема, одно или несколько красных пятен в месте присасывания клеща, подъем температуры тела, головная боль, тошнота. Нам приходилось наблюдать и диссеминированные формы. Позднее может развиваться серозный менингит, поражение лицевого нерва, ухудшение зрения, боли в области суставов, сердца. Необходимы срочная госпитализизация в остром периоде, проведение антибактериальной терапии по поводу клещевого боррелиоза, тогда полное выздоровление наступает у 70 % больных. Нередко клещ является носителем клещевого энцефалита и клещевого боррелиоза одновременно. После укуса клеща высока вероятность заражения клещевым боррелиозом (в природных очагах 20–50 % клещей – носители боррелий). Опыт сотрудников кафедры инфекционных болезней Военно-медицинской академии по профилактике и лечению клещевого боррелиоза изложен в книге «Лайм-боррелиоз (иксодовые клещевые боррелиозы)» Ю. В. Лобзина, А. Н. Ускова, С. С. Козлова [110]. Если от момента укуса клеща прошло меньше трех суток, рекомендуют антибиотик доксициклин в дозе 0,1 в таблетках один раз в день в течение пяти дней (можно детям старше восьми лет); если этот временной период превышен, то профилактический курс следует продлить до десяти дней. Такой подход позволяет предупредить развитие клещевого боррелиоза и переход его в хронические формы заболевания. Вопрос о хроническом клещевом боррелиозе в настоящее время широко обсуждается. Доказано, что Borrelia burgdorferi может персистировать в нейронах и глиальных клетках длительное время. При этом пенициллин, цефтриаксон, доксициклин не обладают эффективностью против этих бактерий в хронической форме, когда они представлены в виде цист [321]. У пациентов с множественными очагами демиелинизации по данным МРТ головного мозга выявляются когнитивные расстройства [290]. Приводим МРТ головного мозга пациента 37 лет с нейроборрелиозом, у которого развилась картина умеренной деменции (рис. 9.2).

Иллюстрация к книге — Деменция. Диагностика и лечение [i_008.jpg]

Рис. 9.2. МРТ головного мозга пациента с нейроборрелиозом. Множественные очаги демиелинизации


Крайне важно раннее выявление и своевременное лечение пациентов с клещевым боррелиозом. Клещевыми нейроинфекциями болеют не только взрослые, но и дети. Особенности диагностики, течения и лечения клещевых нейроинфекций подробно представлены в монографии «Бактериальные менингиты у детей» (М. Н. Сорокина, В. В. Иванова, Н. В. Скрипченко, 2003). При укусе клеща нужно немедленно обследовать пациента и исследовать клеща на носительство вируса клещевого энцефалита и боррелий. Только ранняя диагностика и лечение способствуют выздоровлению пациентов, предотвращают развитие хронических форм клещевых нейроинфекций, которые характеризуются выраженными двигательными расстройствами и когнитивными нарушениями.

9.3. Нейросифилис и деменция

Подъем заболеваемости сифилисом в России (пик в 1997 г.: 277 на 100 тыс. населения) сопровождался повышением доли молодых лиц среди таких больных, ростом скрытых форм сифилиса, увеличением числа случаев нейросифилиса. Известно, что в ХХ в. произошла эволюция сифилиса, в связи с чем поражения нервной системы стали развиваться не через 15–20 лет болезни, а в первые недели, месяцы после заражения.

Способность возбудителя сифилиса бледной трепонемы, Treponema pallidum, при неблагоприятных условиях образовывать особые формы – цисты, длительно сохраняющиеся в организме, ведет к хронизации инфекции. В монографии «Инфекционные поражения нервной системы» В. А. Цинзерлинг, М. Л. Чухловина (2005) мы подробно рассматриваем патогенетические механизмы нейросифилиса. Бледные трепонемы, проникшие через гематоэнцефалический барьер, вызывают воспалительные изменения в оболочках и сосудах головного и спинного мозга. Первичное поражение нервной ткани приводит к развитию эктодермальных, паренхиматозных форм, вторичное – к мезодермальным формам. В основе выраженных изменений сосудов головного и спинного мозга лежит сифилитический эндартериит. Острые нарушения церебрального или спинального кровотока могут быть следствием сифилитического аортита. При нейросифилисе на оболочках мозга также появляются мелкие гуммы, по внешнему виду напоминающие туберкулезные бугорки. Различают ранние и поздние формы нейросифилиса. К первым относят сифилитический менингит, асимптомный, протекающий только с изменениями ликвора менингит, острый, лихорадочный цереброспинальный менингит, менингоэнцефалит, менинговаскулярный сифилис головного и спинного мозга. Ко вторым принято относить сухотку спинного мозга, прогрессивный паралич. Установлено, что развитию нейросифилиса способствуют отсутствие или недостаточное лечение ранних форм сифилиса, черепномозговая травма, стрессорные ситуации, хронические инфекции, в том числе ВИЧ-инфекция [151].

Одна из наиболее частых форм нейросифилиса сегодня – это менинговаскулярный сифилис. Характерно сочетание очаговых и общемозговых симптомов, что объясняется одновременным поражением сосудов головного мозга и мягких мозговых оболочек. При менинговаскулярном сифилисе наблюдаются головокружение, рвота, головная боль, психомоторное возбуждение, снижение памяти, внимания, нарушение мышления. Очаговая неврологическая симптоматика проявляется в форме гемипарезов, речевых расстройств (моторно-сенсорная афазия, дизартрия), чувствительных нарушений. В анамнезе у этих больных отмечаются повторные инсульты (2–3 инсульта в течение последних лет), что связано с множественными изменениями сосудов с облитерацией или тромбозом последних. По нашим данным, у пациентов с нейросифилисом при развитии острых нарушений мозгового кровообращения компьютерная томография головного мозга выявляет очаги пониженной плотности в зонах, кровоснабжаемых пораженными сосудами. В то же время результаты нейровизуализации при нейросифилисе в большинстве случаев свидетельствуют об отсутствии специфических для данного заболевания изменений. В этой связи нередко возникают диагностические сложности.

Приводим клинический пример. Больной М., 36 лет, не работает, женат. Поступил в апреле 2003 г. в неврологический стационар с направительным диагнозом: повторное острое нарушение мозгового кровообращения. Из анамнеза известно, что в 1997 г. лечился по поводу вторичного сифилиса; курс не закончил в связи с отъездом в командировку, в дальнейшем в кожно-венерологическом диспансере не наблюдался; в 1999 г. и в феврале 2003 г. перенес острые нарушения мозгового кровообращения, находился в стационаре, исследование ликвора не проводилось.

Неврологический статус при настоящем поступлении: состояние тяжелое, в сознании, в контакт не вступает из-за выраженных речевых нарушений по типу сенсомоторной афазии. Выявляется центральный парез мимической мускулатуры справа, правосторонний спастический гемипарез со снижением мышечной силы до 3 баллов. При офтальмологическом исследовании: глазное дно без патологии. Компьютерная томография головного мозга: расширение субарахноидального пространства по конвекситальной поверхности, дилатация желудочков, определяется зона пониженной плотности (+24 ЕД НИ) с нечеткими контурами в лобно-височной области левой гемисферы. Заключение: ишемический очаг в глубоких отделах левого полушария.

Вход
Поиск по сайту
Ищем:
Календарь