Книга О чем молчит печень. Как уловить сигналы самого крупного внутреннего органа, который предпочитает оставаться в тени, страница 31 – Сергей Вялов

Авторы: А Б В Г Д Е Ж З И Й К Л М Н О П Р С Т У Ф Х Ч Ш Ы Э Ю Я
Книги: А Б В Г Д Е Ж З И Й К Л М Н О П Р С Т У Ф Х Ц Ч Ш Щ Ы Э Ю Я
Бесплатная онлайн библиотека LoveRead.ec

Онлайн книга «О чем молчит печень. Как уловить сигналы самого крупного внутреннего органа, который предпочитает оставаться в тени»

📃 Cтраница 31

Таблица 4. Шкала оценки состояния печени по Чайлд – Пью

Иллюстрация к книге — О чем молчит печень. Как уловить сигналы самого крупного внутреннего органа, который предпочитает оставаться в тени [i_087.jpg]

В отношении цирроза нужно понимать, что после того как красная черта или точка невозврата пройдена, никаких шуток или экспериментов быть уже не может. Это реально серьезное и угрожающее жизни состояние. Поэтому нужно позаботиться о точном подтверждении диагноза и найти специалиста, который подберет лечение. Самостоятельно это сделать просто невозможно. Достаточно легко пошатнуть нестойкое равновесие, и состояние резко ухудшится. Поэтому можно и нужно использовать только те средства для лечения, действие которых предсказуемо и прогнозируемо. А попытки восстановить печень травами, добавками или банальным перебиранием таблеток – просто ребячество.

Для того чтобы вылезти из циррозной ловушки, нужно сделать две вещи. Первое: определить причину разрушения печени, которая уже долго повреждала ее и привела к циррозу. Определить, устранить или вылечить. Второе: поскольку печень уже не выполняет свои функции, нужно делать это вместо нее, принимая таблетки. Сколько функций нарушено, столько таблеток и принимать. И только третьим шагом, возможно, станет избавление от цирроза и попытка восстановить саму печень. Абсолютно бессмысленно пытаться восстановить печень, пока она продолжает повреждаться. Постоянное повреждение и восстановление быстро приведут к возникновению рака печени. Потенциально обратимыми являются начальные стадии цирроза печени, тогда процесс еще можно повернуть назад.

Поэтому давайте сделаем главный вывод: цирроз не возникает моментально, это результат длительного повреждения печени, которое никто не лечил. Есть только редкие избранные «счастливчики», у которых развился моментальный цирроз, но это совсем эксклюзив. Залогом успеха, чтобы избежать цирроза, являются как минимум контроль за состоянием печени и лечение, если она повреждается. А запущенность и безответственное к ней отношение как раз и ведет к циррозу. Чтобы этого не произошло, читайте дальше.

Глава 12
Образования печени – высшее или среднее специальное – и печеночный ЕГЭ

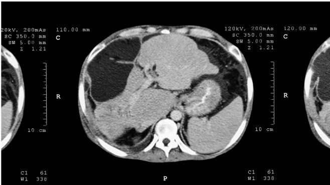
Большинство болезней печени приводит к тому, что клетки печени и печеночные дольки умирают. А поскольку печень является органом однородным, то все эти изменения происходят равномерно по всему органу. Одна клетка в левой части печени погибла, одна – в правой, одна – посередине, другие несколько клеток погибли в верхней части печени, еще несколько – в нижней части. В итоге получается картинка, похожая на мозаику. Если посмотреть на печень, то она в результате практически любой болезни становится не идеально гладкой, как была раньше, а приобретает диффузные, или размазанные, изменения. Выглядит это как рябь на воде или помехи на черно-белом телевизоре, такие «мурашки». Это типичные изменения в печени при всех воспалительных и большинстве инфекционных заболеваний. Их и называют диффузными изменениями печени в противоположность очаговым. Смотрите на рис. 60.

Иллюстрация к книге — О чем молчит печень. Как уловить сигналы самого крупного внутреннего органа, который предпочитает оставаться в тени [i_088.jpg]

Рис. 60. Диффузные и очаговые изменения печени на КТ


Очаговые изменения в печени предполагают в первую очередь наличие некоего локального очага, то есть отдельно расположенного совсем другого участка внутри или на поверхности печени. И именно такие измененные участки, или очаги, вызывают множество вопросов и дают поводы для опасений и тревожности. Локальные, или очаговые, изменения еще называют образованиями печени. Но не торопитесь: не от слова «онкология», а от слова «образовалось». То есть в печени что-то образовалось. Однако если бы вы прочитали результаты многих УЗИ печени, то с удивлением обнаружили бы скудный ассортимент диагнозов. Там можно увидеть в основном только два варианта: либо это киста, либо гемангиома. Так ли это на самом деле?

Конечно же, нет. Существует огромный ассортимент образований печени, все их даже нет смысла перечислять. Давайте пройдемся по основным – это действительно киста и гемангиома, а также фокально-нодулярная гиперплазия (ФНГ), аденома печени, цистаденома, гепатоцеллюлярная карцинома (ГЦК), или рак печени, или метастазы в печень от рака другого органа. Звучит устрашающе, но так оно и есть. Именно поэтому любые очаги в печени точно предполагают более углубленное обследование – своеобразный печеночный экзамен!

Кстати, как и другие болезни печени, очаговые изменения, или образования, в печени не имеют симптомов. Поэтому чаще всего их случайно находят при обследовании. Симптомы от самих образований в печени могут быть связаны только с их размером или расположением внутри печени. Например, образование может сдавливать какой-то желчный проток или кровеносный сосуд внутри печени, тогда появятся симптомы проблем с желчевыделением или кровоснабжением печени. Но эти симптомы будут лишь последствием большого размера образования, которое возникло в печени в результате другого заболевания, которое и предстоит найти. Детектив или квест?

Кисты печени

Для начала нужно разобраться, что же такое киста. Наверняка каждый хоть раз в жизни пробовал сыр с большими дырками. Так вот, эта самая дырка и есть киста! То есть киста – это минус кусок печени, вместо которого образовалась дырка или полость. Обычно полость заполнена жидкостью, только в редких случаях, когда киста сливается с желчным протоком, в полость кисты может попасть желчь. Кисты бывают разные, но просто дырка – это просто киста.

Простая киста практически всегда бывает врожденная. И как только врач говорит такую фразу, на него сразу сыплется куча вопросов. Почему нашли только сейчас? Почему раньше не было, а теперь есть? Можно ответить сразу: ведь для всего есть причины. Во-первых, большинство людей не проверяют печень на регулярной основе – хорошо бы хоть раз проверили. Поэтому многие раньше просто не знали о том, что у них есть киста, а теперь узнали. Наблюдай мы у всех печень с рождения, все бы знали о кистах, но пока не получается. К этому нужно добавить и то, что УЗИ не всегда видит кисты, даже если они есть. Эта проблема не во враче, который проводит обследование, а в самой технологии ультразвука. Просто не всегда видно. Поэтому бывает, что киста появилась, а потом исчезла, или сначала не было, а потом возникла – все это погрешности обследования. Киста была, но ее не было видно или не стало видно на какое-то время.

Другое дело, когда кисты не было обнаружено на КТ или МРТ, а потом нашли. Тогда очевидно, что она появилась, и возникают совсем другие вопросы. Она возникла, выросла и перестала расти или продолжает развиваться? На этот вопрос ответят анализы, показывающие воспаление и разрушение печени, и время. Только сделав обследование в динамике примерно через полгода, можно точно ответить на вопрос о дальнейшем росте кисты. Если же она образовалась и больше не растет, то, скорее всего, и останется без изменений. Тогда и лечение не потребуется, кроме психотерапии, потому что очень сложно нашему человеку знать, что у него есть киста, и ничего не делать. Хотя, знаете, это двойные стандарты. Многие знают, что у них есть более опасная дырка в зубе, и не идут к стоматологу или знают, что есть более опасная миома матки, и не идут к гинекологу и так далее.

Вход
Поиск по сайту
Ищем:
Календарь