Книга Аллергия. Истинные причины. Лечение, страница 36 – Ольга Ивановна Елисеева

Авторы: А Б В Г Д Е Ж З И Й К Л М Н О П Р С Т У Ф Х Ч Ш Ы Э Ю Я
Книги: А Б В Г Д Е Ж З И Й К Л М Н О П Р С Т У Ф Х Ц Ч Ш Щ Ы Э Ю Я
Бесплатная онлайн библиотека LoveRead.ec

Онлайн книга «Аллергия. Истинные причины. Лечение»

📃 Cтраница 36

С током венозной крови из кишечника личинки разносятся по разным органам и тканям, оседая в венах. Вначале попадают в печень, затем в сердце, далее в лёгочные артерии и лёгкие, где задерживаются от нескольких дней до полутора недель.

Иллюстрация к книге — Аллергия. Истинные причины. Лечение [i_022.jpg]

Рис. 19. Цикл развития аскариды


На ВРД мы тестируем личинок аскарид и в печени, и в сердце, и в лёгких. В лёгких они часто образуют воспалительные инфильтраты с высоким содержанием эозинофилов. Полноценного формирования взрослого гельминта в таких случаях не происходит, но организму наносится значительный вред. Часть личинок может попасть и в головной мозг.

При дальнейшей миграции личинки аскарид из капилляров лёгких активно проникают в бронхи, по которым попадают в трахею. Далее – в глотку, затем в ротовую полость, откуда вместе со слюной и проглатываемой пищей возвращаются в кишечник для дальнейшего превращения во взрослую особь, существования и размножения в кишечнике. Многие врачи запомнили только кишечную форму аскаридоза и поэтому не могут себе представить весь комплекс симптомов при аскаридозе.

Однажды Г. И. Малахов пригласил меня на свою передачу по ТВ, тема – паразиты. Я согласилась. Там присутствовала доктор медицинских наук из Санкт-Петербурга. Она встала и заявила: «Никаких личинок гельминтов в крови нет, они только в кишечнике!» Ведущая обрадовалась, что я с ней схвачусь в дебатах и что будет интересная заварушка для зрителей. Но о чём можно было с ней разговаривать, если она перечеркнула все научные труды учёных медицины, которые тратили годы, чтобы установить миграционный путь в организме человека личинок гельминтов? Например, Кристиан Стееструп (учёный Оксфордского университета) посвятил 20 лет научным исследованиям, чтобы установить миграцию гельминтов.

Взрослая особь аскариды выглядит как веретенообразный червь красноватого цвета (после гибели цвет тела изменяется на желтовато-белый). Длина половозрелого гельминта зависит от возраста и пола: самцы могут достигать длины 25 см, ширины 4 мм, самки – до 40 см и до 6 мм соответственно. В сутки одна взрослая самка способна откладывать до 240 тысяч яиц, за год – до 64 миллионов, вследствие чего аскариды – самый распространённый тип гельминта с видом заражения через почву. Носителями аскарид являются, по общим оценкам, почти 1,2 миллиарда человек, в некоторых странах процент больных аскаридозом достигает 20 процентов.


Пути заражения аскаридами

Аскаридоз – заболевание с пероральным путём инфицирования. Аскариды – это гельминты, проходящие стадию развития внутри человека и вне его. Больной аскаридозом при наличии в теле разнополых взрослых особей вместе с фекалиями распространяет яйца аскарид. После периода развития в почве микроскопические личинки аскарид вместе с землёй, растениями или водой попадают на руки человека или непосредственно в рот. Яйца достаточно легко удаляются в процессе гигиенических процедур (мытья рук, овощей, зелени), предварительной обработки пищи и нагревания свыше 50 °C или кипячения воды, что обуславливает выраженное различие количества заразившихся среди различных возрастных и социальных групп. Аскаридоз чаще всего диагностируется у детей, активно контактирующих с природой и не имеющих навыков соблюдения правил гигиены в силу возраста, а также у жителей сельской местности при неблагоприятных санитарно-гигиенических условиях жизни. К профессиональным рискам относят аскаридоз у работников очистных сооружений и землекопов.

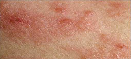
Иллюстрация к книге — Аллергия. Истинные причины. Лечение [i_023.jpg]

Рис. 20. Аллергический дерматит при аскаридозе


В среднем ранняя стадия развития личинок и достижения ими ротовой полости длится около трёх месяцев. После вторичного проглатывания начинается поздняя кишечная стадия развития половозрелой особи в тонком кишечнике.

Симптомы личиночной стадии аскаридоза. После проникновения яиц в кишечник человека клинические проявления заболевания возникают через 1–2 месяца. Неинтенсивная инвазия может протекать бессимптомно или субклинически. При выраженной реакции организма превалируют такие признаки, как головная боль, головокружения, бессонница ночью, сонливость днём, общая слабость, повышенная утомляемость, боли, тяжесть в области печени, аритмия, перебои в сердце, повышение температуры до субфебрильных показателей, аллергические дерматит, крапивница (зуд, кожная сыпь), депрессия, психозы. Реже заражение сопровождается клинической картиной лёгочных патологий, выражающейся кашлем, отделением мокроты (возможны кровянистые включения), одышкой, болями в области груди, при обследовании могут быть выявлены признаки экссудативного плеврита, наличие эозинофильных инфильтратов тканей лёгких, бронхов. Наблюдается также увеличение лимфоузлов, селезёнки, печени. Миграция личинок может стать причиной развития пневмонии и бронхита, а также признаками нарушения деятельности сердечно-сосудистой системы и печени.

Симптомы кишечной стадии аскаридоза. Кишечная фаза заболевания характеризуется расстройствами желудочно-кишечного тракта, нервной системы и пищевыми аллергическим реакциями. У больных обычно наблюдается либо снижение аппетита, либо повышение, вплоть до того, что человек кушает постоянно, даже ночью. Может проявляться тошнотой, рвотой, неприятными тянущими ощущениями в подложечной области, слюнотечением, болями в животе, нестабильным стулом (от поноса до запоров), вздутием живота, газообразованием. Со стороны центральной нервной системы могут быть: головные боли, головокружения, слабость, потливость, утомляемость, депрессия, психоз, тревожный сон, вздрагивание, вскрикивания во сне, нервно-астенический комплекс. Возможно также развитие гипотонии (снижения артериального давления). Бывает аллергизация организма: непереносимость определённой пищи, запахов, шерсти и т. д. Со стороны кожи могут быть высыпания, зуд, особенно по ночам. У взрослых – потеря трудоспособности, у детей – снижение успеваемости.

Клинический пример. Пациентка сорока пяти лет обратилась к нам с жалобами на плохое самочувствие. С её слов, анализы все в норме, но самочувствие катастрофическое. Несмотря на то что она в течение четырёх лет периодически лечилась традиционными медикаментами, проходила физиотерапевтические процедуры, иглоукалывание, гирудотерапию, капельницы с сосудорасширяющими препаратами и лечебный массаж, состояние её практически не улучшалось. Оставались симптомы: упорные головные боли, головокружения, шум в ушах, потеря памяти, вялость, раздражительность, беспокойный сон. Последние 2 года стали беспокоить желудочно-кишечные расстройства: отрыжка, изжога, метеоризм, запоры, высыпания на коже.

На ВРТ был диагностирован аскаридоз, энтеробиоз (острицы), дифиллоботриоз (рыбные цепни).

Пациентке назначен 7-дневный курс очищения и РЧТ (резонансно-частотная терапия) частотами выявленных паразитов. В результате лечения выходили гельминты и слизь оранжевого цвета (погибшие и переработанные аскариды). Самочувствие её значительно улучшилось, по её выражению, появились крылья за спиной: лёгкость и хорошее настроение. Головные боли, головокружения, слабость, шум в ушах, желудочно-кишечные расстройства исчезли. Пациентка показалась нам через год, чувствовала себя хорошо: она пришла к нам снова, по её словам, на омоложение и для профилактики.

Вход
Поиск по сайту
Ищем:
Календарь