Книга Аллергия. Истинные причины. Лечение, страница 28 – Ольга Ивановна Елисеева

Авторы: А Б В Г Д Е Ж З И Й К Л М Н О П Р С Т У Ф Х Ч Ш Ы Э Ю Я
Книги: А Б В Г Д Е Ж З И Й К Л М Н О П Р С Т У Ф Х Ц Ч Ш Щ Ы Э Ю Я
Бесплатная онлайн библиотека LoveRead.ec

Онлайн книга «Аллергия. Истинные причины. Лечение»

📃 Cтраница 28
Иллюстрация к книге — Аллергия. Истинные причины. Лечение [i_018.jpg]

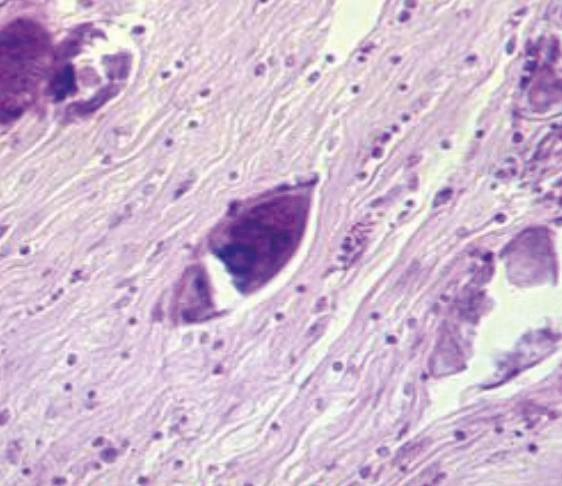
Рис. 15. Яйца кровяной шистосомы (фото биопсии мочевого пузыря)


Заболевание может возникать вследствие случайного переноса кровью яиц шистосом (или, реже, взрослых червей) в различные необычные места, такие как кожа, образовывая опухоли; головной или спинной мозг, с развитием энцефалопатии и впоследствии инсультов; сосуды сердца, приводящие к инфаркту; лёгкие с образованием опухолей».

Из вышесказанного следует, что шистосомные поражения могут имитировать не только онкологические заболевания, но и вызывать инсульты, инфаркты, туберкулёзоподобное поражение лёгких и различные заболевания спинного мозга.

Шистосомы – это проблемы не только с урологией. Выше я уже отмечала, что шистосомы бывают четырёх видов. Но если не углубляться в нюансы их анатомии, а обобщить заболевания по предпочтительным местам локализации паразитов, то таких групп получится четыре.

1. Поражения печени. При поражении печени шистосомой печени образуются кисты, гемангиомы, доброкачественные опухоли.

2. Поражение мочеполовой системы.

Клинический пример. Пациентка В. 61 год. В течение 12 лет страдает анемией неясного генеза (гемоглобин – до 50 г/л), повышением СОЭ до 60–70, длительным субфебрилитетом, в анализе мочи эритроциты – 20–40 в поле зрения, боли в области почек и мочевого пузыря. Аллергическая реакция на солёную пищу: высыпания на теле, зуд. Пациентка обследована в отделениях гематологии, ревматологии, нефрологии, аллергологии и терапии. Установлен диагноз «длительная лихорадка неясного генеза».

При обследовании ВРТ у пациентки было выявлено наличие активной стадии шистосомной инвазии в мочеполовой системе. После курса лечения с применением воздействия РЧТ – частотами выявленных паразитов и БРТ – у пациентки наступил быстрый и стойкий терапевтический эффект. Исчез субфебрилитет, явления общей интоксикации, утомляемость, слабость и боли в области почек, мочевом пузыре, суставах. Нормализовалась картина клинического анализа крови и мочи.

3. Кишечный шистосоматоз. При этой локализации могут возникать боли в животе, чередование запоров и поносов. В последующем в динамике заболевания начинают преобладать признаки кишечных полипов, опухолей, кровотечений.

Развивается аллергия, анемия, и держится субфебрильная температура.

Клинический пример. Пациент У. 41 год. Субфебрилитет, гемоглобин – 50 г/л, гемолитическая желтуха, СОЭ 60, неустойчивость стула. Результаты обследования в клинике: диагноз «анемия неясного генеза». Методом ВРТ выявлена шистосомная инвазия. После терапии РЧТ наступил стойкий терапевтический эффект: нормализация температуры, восстановление нормальной картины крови, кишечника.

4. Атипичная локализация шистосом. Необходимо отметить заболевания, вызванные паразитированием шистосом в местах, не характерных для их обитания. Это лимфоузлы и лимфа.

Диагностика шистосоматоза в России не разработана. В основном исследуют кал на яйца глистов. Исследование мочи на яйца глистов, как правило, не проводят. Понятна неоценимая роль в диагностике вегетативно-резонансного тестирования (ВРД).


Лечение шистосоматоза

В классической медицине для лечения используют токсичные препараты: празиквантел, мебендазол. В нашем центре, как вы, дорогие читатели, уже поняли, курс лечения такой: РЧТ (частотами шистосом и выявленных сопутствующих инфекций); гомеопатия; травы; очищение организма. Лечение расписывается индивидуально для каждого человека, в зависимости от общего состояния и ранее применяемой пациентом гормональной терапии.


5. Эхинококкоз

Эхинококкоз, как правило, даёт слабую аллергию, чаще – весенне-осенние обострения атопического дерматита. Но если не выявлена причина заболевания дерматита и не проводится целенаправленное лечение эхинококкоза, устранение его причины, то эктопический дерматит может стать постоянным круглогодичным мучением для человека.

В природе окончательными хозяевами одного из самых маленьких в мире ленточных червей – эхинококкуса гранулозус – являются волки, собаки, шакалы, лисицы, койоты и другие плотоядные животные. Эти черви в кишечнике не приносят своему окончательному хозяину особых неприятностей, а вот их яйца (онкосферы) могут доставить много проблем тем, кто их проглотит. Волки и другие плотоядные животные, которые носят в кишечнике ленточных червей эхинококков, своим калом разбрасывают их в лесу по траве. Причём черви, выползая в прямую кишку во время акта дефекации, выстреливают свои яйца с такой силой, что рассеивают их по траве в диаметре до одного метра и больше.

В дальнейшем травоядные, будь то лоси, косули, олени, крупный рогатый скот и другие, поедая траву, проглатывают яйца эхинококков и становятся промежуточными хозяевами. В кишечнике этих животных из яиц вылупляются личинки, которые продвигаются к кровеносным сосудам и уже током крови разносятся по организму. Попав внутрь органов, паразиты трансформируются в цисты-кисты, в каждой из которых может сидеть до 30 особей эхинококков. Эти цисты-кисты продолжают расти и увеличиваться до больших размеров, пока не встречают на своём пути кость. В цистах-кистах эхинококки интенсивно размножаются до 100 тысяч крохотных червячков-детёнышей. Любимые места, где паразиты строят свои цисты-кисты в животных, – лёгкие. В лёгких может быть много кист, каждая из них будет постепенно разрывать альвеолы лёгких, бронхиальные трубки и кровеносные сосуды. В связи с этим у животных будет своеобразный запах выдыхаемого воздуха, который и будут чуять волки. Они станут гоняться именно за этими животными, интуитивно чувствуя, что они более слабые. Из цист-кист в поедаемых с органами животных в кишечнике волков и других плотоядных животных (лисиц, рысей, медведей, шакалов, гиен, тигров) будут вырастать ленточные черви в кишечнике. Затем они снова будут извергать в пространство леса свои яйца. Таким образом, будет совершаться нескончаемый круговорот жизненного цикла эхинококка в лесу от плотоядных (окончательных хозяев) животных к травоядным (промежуточным хозяевам) и обратно.

А что происходит в человеке? В связи с тем, что человек в процессе своего развития из травоядного стал плотоядным, то есть начал есть и растительную пищу, и мясо животных, он уже становится и окончательным, и промежуточным хозяином эхинококков.

1) Рассмотрим вначале человека как окончательного хозяина и рассадника эхинококкоза: при поедании заражённых цистами печени, лёгких, почек, головного мозга, а возможно, и других органов травоядных животных из цист в кишечнике человека вырастут ленточные черви эхинококков. Затем, при акте дефекации человека, черви эхинококков отстреливают яйца. Яйца могут рассеиваться повсюду с фекалиями, попадать на траву.

2) Человек – промежуточный хозяин эхинококков. Человек как промежуточный хозяин может заглотить яйца эхинококков: они попадают к нему с немытых рук, овощей, фруктов, ягод, при сборе ягод, грибов в лесу, даже при общении с заражёнными животными или животными, на шерсти которых прилепились яйца эхинококков. В кишечнике человека из яиц вылупляются личинки эхинококков, которые током крови распространяются по органам.

Вход
Поиск по сайту
Ищем:
Календарь