Книга Как жить после инфаркта, страница 19 – Анна Кореневич

Авторы: А Б В Г Д Е Ж З И Й К Л М Н О П Р С Т У Ф Х Ч Ш Ы Э Ю Я
Книги: А Б В Г Д Е Ж З И Й К Л М Н О П Р С Т У Ф Х Ц Ч Ш Щ Ы Э Ю Я
Бесплатная онлайн библиотека LoveRead.ec

Онлайн книга «Как жить после инфаркта»

📃 Cтраница 19

После выполнения КАГ и ЧКВ пациент в обязательном порядке находится в течение нескольких суток в отделении реанимации или блоке интенсивного наблюдения (БИТ), где проводится круглосуточный мониторинг ЭКГ, частоты дыхания, уровня кислорода в крови (оксигенация). Для чего врачи постоянно регистрируют показания ЭКГ по одному или нескольким отведениям (мониторирование ЭКГ)? Для того чтобы сразу выявить опасные нарушения ритма сердца, как только они возникнут, и вовремя начать лечение.

В первые часы и сутки инфаркта очень высока вероятность появления фибрилляции желудочков или желудочковой тахикардии – опасные для жизни нарушения ритма сердца, которые требуют проведения немедленной дефибрилляции разрядом электрического тока. Постоянный мониторинг ЭКГ – это необходимый этап ранней диагностики возможных осложнений инфаркта миокарда.

Существуют и другие методы визуализации заболевания сердца. К ним относятся КТ сердца, МРТ, сцинтиграфия сердца. Они могут использоваться для уточнения диагноза при некоторых болезнях сердца, например наличие рубцов после перенесенного инфаркта, когда после использования стандартных методов диагностики остаются сомнения. Но в диагностике острого инфаркта эти методы не получили большого распространения из-за трудоемкости и сложности в исполнении. Тем более что есть более простые и быстрые способы помочь поставить диагноз острого инфаркта миокарда.


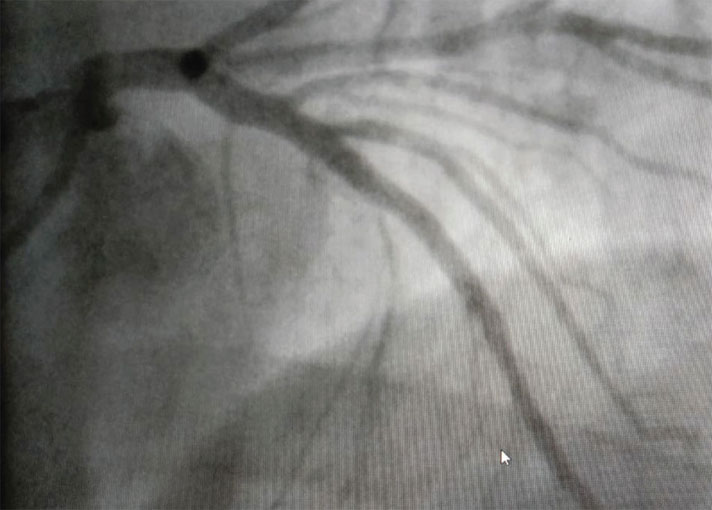
Коронароангиография-левая коронарная артерия

Иллюстрация к книге — Как жить после инфаркта [i_015.jpg]

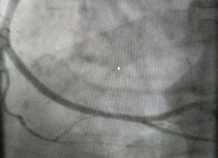
Коронароангиография-правая коронарная артерия

Иллюстрация к книге — Как жить после инфаркта [i_016.jpg]
Основные виды и этапы лечения инфаркта миокарда

Первое, с чего начинают лечение инфаркта, – это обезболивание. Когда человек испытывает боль, то у него в организме вырабатываются особые вещества – гормоны стресса, которые вызывают спазм мелких сосудов, ускоряют частоту сердечных сокращений, повышают артериальное давление. Все это некогда способствовало выживанию человека – да и животных тоже – в процессе эволюции. Боль – защитная реакция организма, которая сигнализирует об опасности. При этом поступление адреналина в кровь мобилизует организм и помогает убежать при нападении, резко отдернуть руку при ранении или ожоге, то есть способствует устранению травмирующих факторов.

При инфаркте боль тоже помогает: пациент понимает, что с ним происходит нечто опасное, и обращается за медицинской помощью. Но, к сожалению, на этом положительной аспект болевого сигнала заканчивается. Поскольку во время боли усиливается спазм сосудов и ускоряется сердцебиение, то при поражении в коронарных артериях сердце испытывает еще большую нагрузку, а значит, зона повреждения при инфаркте сердца может существенно увеличиваться. В этот момент образуется порочный круг, при котором дальнейшее усиление боли вызывает еще больший спазм коронарных артерий и ускорение частоты сердечных сокращений, нагрузка на сердце снова существенно возрастает. Обезболивание разрывает этот порочный круг и нагрузка на поврежденное сердце существенно снижается.

Еще в начале прошлого столетия врачи понимали важность обезболивания и стали применять для этого морфин. Впрочем, на том этапе развития кардиологии лечение инфаркта ограничивалось обезболиванием и строгим постельным режимом. Другими, более эффективными способами лечения врачи, увы, не располагали.

Обезболивание при инфаркте относится к патогенетическому лечению. Например, устранение зубной боли относится к лечению симптоматическому, то есть избавляет человека от неприятного симптома, при этом не воздействуя на основную причину заболевания. Обезболивание же при инфаркте способствует уменьшению зоны повреждения сердца, то есть непосредственно воздействует на одну из причин заболевания. Поэтому при болях в грудной клетке, связанных с заболеваниями сердца, боль терпеть не нужно, даже если болевые ощущения не очень интенсивные. Это может быть попросту опасно. Необходимо срочно обращаться за медицинской помощью.

В медицине бывают ситуации, когда проводить обезболивание нельзя, так как оно может изменить клиническую картину заболевания и врачи рискуют поставить неверный диагноз, например при аппендиците. Но при диагнозе инфаркт миокарда или подозрении на инфаркт обезболивание является обязательной процедурой. Все бригады «скорой помощи» оснащены необходимым набором медикаментов для полноценного обезболивания, которое проводят врачи непосредственно на месте или по пути в больницу. Если в больнице боли возобновляются, введение обезболивающих препаратов повторяют необходимое количество раз. Бывают ситуации, когда ощущения в грудной клетки носят не очень выраженный характер и полностью прекращаются после применения нитроглицерина. В этот момент необходимости в применении наркотических анальгетиков нет.

Обезболивающие препараты могут вызывать рвоту, спутанность сознания, вплоть до развития психозов, возбуждения, галлюцинаций, особенно у пожилых людей. Может произойти остановка дыхания. Индивидуальная чувствительность к наркотическим анальгетикам сильно варьируется у разных людей, поэтому пациент должен находиться под постоянным наблюдением медицинского персонала.

В острой фазе инфаркта (первые сутки) основной задачей является быстрое восстановление кровотока по поврежденной артерии. Какими способами это достигается? Существуют лекарства, которые могут растворить свежий тромб в артерии, – тромболитики. Их эффективность высока только в первые несколько часов инфаркта и существенно снижается через 12 часов от начала заболевания. Спустя 12, в редких случаях 24 часа они уже практически бесполезны. Если вводить тромболитик, например, спустя 12 часов после инфаркта, то его эффективность значительно снижается и увеличивается количество побочных эффектов. Поэтому по современным стандартам тромболизис проводят строго по показаниям у пациентов, у которых от начала заболевания прошло менее 12 часов.

Итак, представим себе ситуацию. «Скорая помощь» приезжает на вызов, диагностирует инфаркт с тромбозом коронарной артерии давностью не более 12 часов. Врач выясняет, нет ли у пациента противопоказаний для введения тромболитика, и созванивается с ближайшим сосудистым центром. Если врачу понятно, что пациент попадает в рентген-операционную быстрее чем за 2 часа, то тромболизис не проводится. Если нет технической возможности в течение 120 минут доставить пациента в операционную, то прибегают к помощи тромболизиса. Как правило, такие ситуации происходят в сельской местности, в местах, находящихся далеко от крупных городов. В условиях крупных городов, как я уже писала, время транспортировки не превышает 30–40 минут. Например, в Москве и Московской области на сегодняшний день тромболизис не проводится в связи с тем, что сеть современных сосудистых центров полностью обеспечивает потребность в экстренных операциях на коронарных сосудах в течение первого часа от звонка пациента в «скорую».

В сосудистых центрах круглосуточно дежурят бригады врачей-кардиологов, рентген-эндоваскулярных хирургов, анестезиологов-реаниматологов, готовых каждую минуту оказать экстренную помощь при остром инфаркте миокарда. Прямо с колес машины «скорой помощи» пациент попадает в рентген-операционную, где ему проводят коронарную ангиографию (КАГ), во время которой находят тромб в коронарной артерии и сразу же выполняют чрескожное коронарное вмешательство – стентирование коронарных артерий. В крупных кардиологических центрах также есть бригады кардиохирургов, которые выполняют открытые операции на сердце при остром инфаркте миокарда – шунтирование коронарных артерий.

Реклама
Вход
Поиск по сайту
Ищем:
Календарь