Онлайн книга «Как мы учимся. Почему мозг учится лучше, чем любая машина… пока»
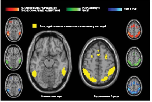
![]() Иллюстрация 12 Образование состоит в перепрофилировании древних нейронных цепей на новые функции. В частности, области, присутствующие в мозге с младенчества и репрезентирующие числа (показаны зеленым), впоследствии используются для вычислений в уме (показаны синим). Эти же отделы задействуют и профессиональные математики (показаны красным). Данные нейронные сети изначально реагируют на конкретное количество предметов, но позже переориентируются на более абстрактные понятия. ![]() Иллюстрация 13 Овладение математикой практически не зависит от сенсорного опыта. Даже слепой может стать выдающимся математиком. Примечательно, что во время вычислений у слепых и зрячих математиков активны одни и те же зоны теменной, височной и лобной долей. Единственное различие состоит в том, что первые задействуют еще и зрительную кору. ![]() Иллюстрация 14 Формирование навыка чтения предполагает переориентацию сети корковых областей, задействованных в обработке зрительной информации и устной речи. Цветом выделены участки, изменяющие свою активность в процессе овладения чтением: чем выше скорость чтения, тем интенсивнее они реагируют на написанное слово. Умение читать и писать оказывает двоякое воздействие на мозг: оно обусловливает специализацию зрительных областей на буквах, особенно в так называемой «области зрительной формы слова» в левом полушарии, и активирует нейронные сети, отвечающие за устную речь, через зрение. ![]() Иллюстрация 15 Функциональная МРТ позволяет отследить формирование навыка чтения у детей. Как только ребенок научается читать, зрительная область его левого полушария начинает активно реагировать на цепочки букв. В процессе овладения чтением происходит переориентация ряда областей, которые приматы используют для распознавания лиц, предметов и мест. ![]() Иллюстрация 16 Система сигнализации и активации может оказывать существенное влияние на научение. Такие нейромодуляторы, как серотонин, ацетилхолин и дофамин, сигналы которых распространяются на большую часть коры, подсказывают нам, когда необходимо сосредоточиться, и заставляют мозг учиться. В одном из экспериментов на крысах (внизу) звук частотой 9 килогерц сопровождался электрической стимуляцией базального ядра Мейнерта, провоцирующей высвобождение ацетилхолина. Через несколько дней на эту частоту, а также близкие к ней частоты реагировала вся слуховая кора (активные области показаны голубым). ![]() Иллюстрация 17 Обратная связь – третий столп научения. Обнаруживая и исправляя ошибки, мозг учится приспосабливать свои модели к окружающей среде. Сигналами ошибки обмениваются практически все отделы. В рамках одного из экспериментов мозг учится обнаруживать нарушения в последовательности звуков. Сперва испытуемый несколько раз прослушивает короткую мелодию из пяти нот. Когда последовательность меняется без предупреждения, реакция удивления (показана красным) сигнализирует об ошибке и позволяет другим областям мозга скорректировать свои прогнозы. Если слуховые области реагируют на локальные нарушения ожиданий (вверху), то обширная сеть, включающая префронтальную кору, – на глобальное изменение мелодии (внизу). ![]() Иллюстрация 18 Консолидация – четвертый столп научения. Первоначально всякое научение требует значительных усилий, которые сопровождаются интенсивной активностью теменной и лобных долей, обеспечивающих пространственное и исполнительное внимание. На начальных этапах овладения чтением, например, дешифровка слова – медленный, трудоемкий и последовательный процесс: чем больше букв в слове, тем ниже скорость чтения (вверху). С опытом развивается автоматизм: чтение становится быстрым, параллельным и бессознательным (внизу). В результате формируется специализированная сеть для чтения, позволяющая высвободить ресурсы коры для других задач. ![]() Иллюстрация 19 Сон играет важную роль в консолидации усвоенного материала. Когда крыса засыпает, нейроны в ее гиппокампе в ускоренном темпе воспроизводят свое состояние во время бодрствования. Эти паттерны активности распространяются на кору и в течение ночи могут повторяться сотни раз. Нейронная реактивация помогает консолидировать и автоматизировать все, что было усвоено накануне. Более того, пока мы спим, наш мозг может обнаружить закономерности, которые ускользнули от нас днем. |
![Иллюстрация к книге — Как мы учимся. Почему мозг учится лучше, чем любая машина… пока [i_033.jpg] Иллюстрация к книге — Как мы учимся. Почему мозг учится лучше, чем любая машина… пока [i_033.jpg]](img/book_covers/091/91754/i_033.jpg)
![Иллюстрация к книге — Как мы учимся. Почему мозг учится лучше, чем любая машина… пока [i_034.jpg] Иллюстрация к книге — Как мы учимся. Почему мозг учится лучше, чем любая машина… пока [i_034.jpg]](img/book_covers/091/91754/i_034.jpg)
![Иллюстрация к книге — Как мы учимся. Почему мозг учится лучше, чем любая машина… пока [i_035.jpg] Иллюстрация к книге — Как мы учимся. Почему мозг учится лучше, чем любая машина… пока [i_035.jpg]](img/book_covers/091/91754/i_035.jpg)
![Иллюстрация к книге — Как мы учимся. Почему мозг учится лучше, чем любая машина… пока [i_036.jpg] Иллюстрация к книге — Как мы учимся. Почему мозг учится лучше, чем любая машина… пока [i_036.jpg]](img/book_covers/091/91754/i_036.jpg)
![Иллюстрация к книге — Как мы учимся. Почему мозг учится лучше, чем любая машина… пока [i_037.jpg] Иллюстрация к книге — Как мы учимся. Почему мозг учится лучше, чем любая машина… пока [i_037.jpg]](img/book_covers/091/91754/i_037.jpg)
![Иллюстрация к книге — Как мы учимся. Почему мозг учится лучше, чем любая машина… пока [i_038.jpg] Иллюстрация к книге — Как мы учимся. Почему мозг учится лучше, чем любая машина… пока [i_038.jpg]](img/book_covers/091/91754/i_038.jpg)
![Иллюстрация к книге — Как мы учимся. Почему мозг учится лучше, чем любая машина… пока [i_039.jpg] Иллюстрация к книге — Как мы учимся. Почему мозг учится лучше, чем любая машина… пока [i_039.jpg]](img/book_covers/091/91754/i_039.jpg)
![Иллюстрация к книге — Как мы учимся. Почему мозг учится лучше, чем любая машина… пока [i_040.jpg] Иллюстрация к книге — Как мы учимся. Почему мозг учится лучше, чем любая машина… пока [i_040.jpg]](img/book_covers/091/91754/i_040.jpg)