Книга Взламывая биологию, страница 24 – Том Джексон

Авторы: А Б В Г Д Е Ж З И Й К Л М Н О П Р С Т У Ф Х Ч Ш Ы Э Ю Я
Книги: А Б В Г Д Е Ж З И Й К Л М Н О П Р С Т У Ф Х Ц Ч Ш Щ Ы Э Ю Я
Бесплатная онлайн библиотека LoveRead.ec

Онлайн книга «Взламывая биологию»

📃 Cтраница 24
Иллюстрация к книге — Взламывая биологию [i_140.jpg]

Митохондрии – это продолговатые органеллы, которые являются энергостанциями клеток. Из глюкозы и других питательных веществ они вырабатывают энергию, и клетки используют ее в процессе жизнедеятельности.

Иллюстрация к книге — Взламывая биологию [i_141.jpg]

Эндоплазматический ретикулум – это сеть плоских мешочков и трубок, которые производят и транспортируют белки.


Другие органеллы

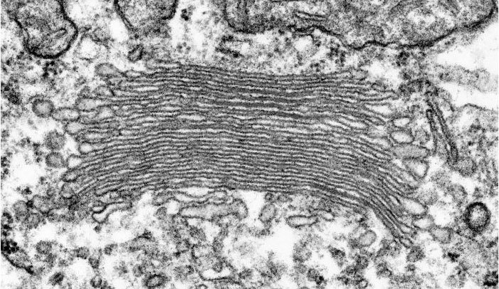
Эндоплазматический ретикулум (ЭР) – это сеть трубчатых мембран. Шероховатый ЭР усеян мелкими структурами – рибосомами, которые производят необходимые клетке белки. Гладкий ЭР производит липиды. Аппарат Гольджи – это сходная мембранозная структура. Ее задача – упаковывать вещества в окруженные мембраной пузырьки для транспортировки через основную мембрану клетки. Хлоропласты «населяют» только зеленые участки клеток растений. Здесь происходит фотосинтез, при котором хлорофилл, зеленое химическое вещество, связанное со множеством плотно спрессованных мембран, удерживает солнечный свет. Количество хлоропластов в клетке варьируется от одного до примерно 100.

Иллюстрация к книге — Взламывая биологию [i_142.jpg]

Функция хлоропластов в растении – обеспечение фотосинтеза. Хлорофилл, содержащийся внутри хлоропласта, впитывает солнечную энергию. С ее помощью из воды и углекислого газа получаются сахара́. Кислород – это побочный продукт.


Ортогенез

Ортогенез – это эволюционная концепция, которая предполагает, что у организмов есть тенденция развиваться в определенном направлении, разумеется, с повышением сложности. Очень немногие современные биологи соглашаются с ее положениями.

В конце XIX в. многие высказывались против теории эволюции путем естественного отбора, предложенной Дарвином. Одно из возражений касалось взаимосвязи между вариативностью морфологии и отбором как фактором, определяющим течение эволюции. Дарвин пришел к выводу, что вариации внешнего вида отдельных особей более или менее случайны, поэтому главной движущей силой является отбор полезных качеств, направляющий изменения в популяции. Но если вариации имеют тенденцию происходить именно в конкретном направлении – то есть если они неслучайны, – тогда, возможно, на ход эволюции влияет само направление. Если дело в этом, отбор играл бы только отрицательную роль, уничтожая пагубные вариации. Ряд ученых поставили вариативность на первое место в дискуссии о направленной эволюции. Одни полагали, что задействованы мистические силы, а другие утверждали, что в основе лежат некие физические процессы.

Иллюстрация к книге — Взламывая биологию [i_143.jpg]

Кроме теории ортогенеза Теодор Эймер знаменит тем, что описал микроскопический орган осязания на кончике носа крота, который назван в честь ученого.

Иллюстрация к книге — Взламывая биологию [i_144.jpg]

Традиционный взгляд на развитие человека, от шимпанзе, волочащего руки по земле, до прямоходящего Homo sapiens, ортогенетический. Он предлагает ход эволюции человека от примитивного к продвинутому. Но наше место в природе куда понятнее, если представить, что наш вид просто последний выживший из десятков очень похожих видов, которые развивались последние 8 млн лет.


Ненайденные тенденции

Вильгельм Хааке первым высказал мысль о направленной эволюции в 1893 г., а популяризовал ее немецкий зоолог Теодор Эймер. Он написал, что когда целый вид переживает изменение условий окружающей среды, все организмы реагируют одинаково, так как у них «схожая конституция». Эта теория напрямую расходилась с концепцией естественного отбора Дарвина. Эймер сделал идею о направленных изменениях популярной и назвал ее ортогенезом. Он утверждал, что в эволюции были течения без какого-либо адаптационного значения, которые, следовательно, нельзя объяснить естественным отбором. В 1898 г. он опубликовал работу «Ортогенез бабочек. Доказательства в пользу <…> бессилия естественного отбора при формировании видов». Некоторое время идея пользовалась поддержкой в обществе. Но изучение окаменелостей показало, что давно вымершие виды развивались во многих направлениях от общих предков, что означало, что естественный отбор дал много разных типов организмов – одни успешные и стойкие, другие – нет.

Вирусы

Вирус – это крошечный возбудитель инфекции, который воспроизводится только в живых клетках других организмов. Вирусы могут заражать любых живых существ, в том числе бактерии, не говоря уже о растениях и животных.

Всего было описано около 5000 типов вирусов, хотя существуют миллионы разновидностей. Но считать ли их живыми? Вирусы называли «организмами на границе жизни», потому что они переносят генетический материал, размножаются и эволюционируют путем естественного отбора, но не потребляют энергию и не имеют клеточной структуры. Вирусы крошечные, как правило, в сотню раз меньше бактерии, и состоят всего из трех частей: генетический материал (либо ДНК, либо РНК); защитная белковая оболочка, или капсид; и – иногда – внешняя жировая мембрана. Возможно, вирусы развились из участков ДНК бактерий, которые могли перемещаться между клетками, а теперь паразитируют, взламывая механизм клетки, чтобы воспроизводиться. Вирусы, не заражающие клетку, называются вирионами.

Иллюстрация к книге — Взламывая биологию [i_145.jpg]

Один из основателей вирусологии, Мартин Бейеринк, также открыл азотфиксацию – феномен, который лежит в основе жизни на Земле. Бейеринк имел репутацию эксцентричного человека, он частенько грубил коллегам. Несмотря на два великих открытия, Нобелевскую премию он так и не получил.


Открытие

В 1898 г. голландский микробиолог Мартин Бейеринк опубликовал результаты опытов, показывающих, что мозаичную болезнь табака, фатальную для растения, вызывает возбудитель, который по размеру уступает бактерии. Он назвал его вирусом. Выводы Бейеринка совпали с наблюдениями, сделанными в 1892 г. русским ботаником Дмитрием Ивановским. У Бейеринка не получилось вырастить вирус in vitro, как это делали с бактериями, но он заключил, что вирус может воспроизводиться и множиться в живых растениях. Только в 1941 г. с помощью рентгенокристаллографии вирусная природа мозаичной болезни табака (внизу) была неопровержимо доказана.

Нападение на хозяина

Вирусы передаются разнообразными путями – по воздуху, через жидкости тела и при непосредственном контакте. Вирусы проникают в клетку и встраивают свою ДНК в ДНК хозяина. ДНК вируса содержит инструкции, которые заставляют клетку начать копирование вирусной ДНК. В конечном итоге клетка переполняется и разрывается, высвобождая вирусы, которые заполняют другие клетки. Если задействовано достаточно большое число клеток, организм заболевает. Как правило, после короткой болезни иммунная система выявляет и уничтожает вирусы. Тем не менее существуют некоторые вирусы – они вызывают заболевания, подобные ВИЧ, лихорадке Эбола или Западного Нила, – которые так сильно ослабляют иммунитет, что могут убить хозяина.

Вход
Поиск по сайту
Ищем:
Календарь