Книга Биология веры. Как сила убеждений может изменить ваше тело и разум, страница 34 – Брюс Липтон

Авторы: А Б В Г Д Е Ж З И Й К Л М Н О П Р С Т У Ф Х Ч Ш Ы Э Ю Я
Книги: А Б В Г Д Е Ж З И Й К Л М Н О П Р С Т У Ф Х Ц Ч Ш Щ Ы Э Ю Я
Бесплатная онлайн библиотека LoveRead.ec

Онлайн книга «Биология веры. Как сила убеждений может изменить ваше тело и разум»

📃 Cтраница 34
Хорошие вибрации, плохие вибрации и язык энергии

Забавно, что хотя традиционная медицина по-прежнему не уделяет должного внимания «информационной» роли энергии в биологических системах, она успешно освоила неразрушающие методы исследования, основанные на сканировании тех же самых энергетических полей. Специалисты по квантовой механике создали приборы, способные анализировать спектр энергий, излучаемых конкретными химическими веществами. Это позволяет им определять молекулярный состав различных материалов и объектов. Физики приспособили такие аппараты для изучения энергетического спектра тканей и органов нашего тела. И поскольку энергетические поля легко проходят сквозь материальные тела, рентгеновские, магнитно-резонансные и позитронно-эмиссионные томографы могут определять пораженные болезнью участки, не разрушая окружающих тканей. Врачи получают возможность диагностировать внутренние проблемы, анализируя характер спектра здоровых и больных тканей на сканированных изображениях.

Иллюстрация к книге — Биология веры. Как сила убеждений может изменить ваше тело и разум [i_024.jpg]

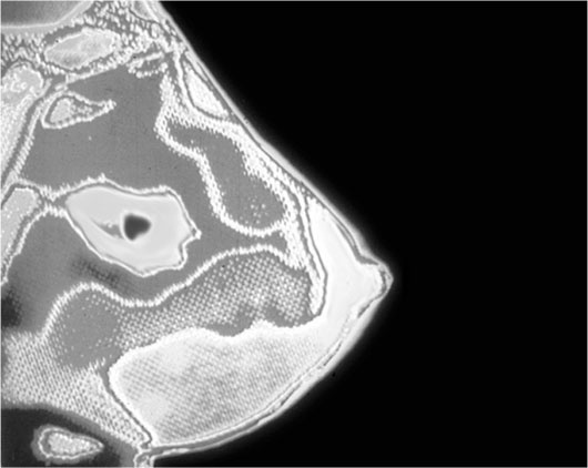
Маммограмма. Обратите внимание, что перед вами не фотография женской груди, а электронное изображение, полученное методом сканирования энергии, излучаемой клетками и тканями этого органа. Особенности в энергетическом спектре позволяют врачам-радиологам отличать здоровые ткани от пораженных заболеванием (темное пятно посередине).


Приведенное на стр. 160 изображение, полученное с помощью энергетического сканирования, свидетельствует о наличии у пациентки рака груди. Больная ткань имеет характерный спектр, отличный от спектра окружающих здоровых тканей. Энергетические образования, проходящие сквозь наше тело, распространяются в виде незримых волн, напоминающих круги на воде. Когда вы бросаете в воду камешек, запасенная им энергия (обусловленная воздействием на него земного тяготения) передается воде. Круги, образуемые вашим камнем, – по существу, это распространяющиеся в воде волны энергии.

Иллюстрация к книге — Биология веры. Как сила убеждений может изменить ваше тело и разум [i_025.jpg]

Если бросить в воду сразу два камня, то круги (энергетические волны) от каждого из источников могут сочетаться (интерферировать) друг с другом, образуя сложные волновые структуры. При этом интерференция может быть как конструктивной (энергия волн складывается), так и деструктивной (энергия вычитается).

Иллюстрация к книге — Биология веры. Как сила убеждений может изменить ваше тело и разум [i_026.jpg]

Конструктивная интерференция. Волны от двух источников движутся по поверхности воды навстречу друг другу. Как видно из схемы 1, волны A и B находятся в фазе друг с другом – в обоих случаях впереди движется впадина. Графические изображения таких волн симметричны. На линии встречи волны накладываются друг на друга. Чтобы понять, к чему приведет такое наложение, мы изобразили на схеме 2 обе волны друг над другом. Когда амплитуда волны A равна +1, амплитуда волны B тоже достигает значения +1. При сложении амплитуда результирующей волны оказывается равной +2. Аналогично, когда амплитуда A равна –1, амплитуда B тоже равна –1, что при сложении дает –2. Образующаяся в результате волна большей амплитуды показана на схеме 3.


Если одновременно с одной и той же высоты уронить в воду два одинаковых камня, то их волновое действие будет согласованным. Круги, образуемые обоими камнями, станут двигаться навстречу друг другу. Там, где они накладываются друг на друга, их амплитуда удвоится – это явление называется конструктивной интерференцией, или гармоническим резонансом. Если же мы бросим камни несогласованно, наши энергетические волны будут несинхронизированными. Сойдясь вместе, такие волны будут гасить друг друга. Там, где можно было бы ожидать удвоения волновой энергии, будет наблюдаться… ее полное отсутствие – спокойная вода. Такое явление взаимного гашения волн называется деструктивной интерференцией.

Иллюстрация к книге — Биология веры. Как сила убеждений может изменить ваше тело и разум [i_027.jpg]

Деструктивная интерференция. На схеме 1 волна, поднятая первым камнем (волна A), движется слева направо. Волна B, движущаяся справа налево, поднята вторым камнем, брошенным вскоре после первого. Поскольку камни упали в воду в разное время, поднятые ими волны окажутся «не в фазе». В нашем случае впереди волны А распространяется впадина, а впереди волны B – горб. В месте встречи волны окажутся зеркальным отражением друг друга (схема 2) – горб одной волны (амплитуда +1) совпадет со впадиной другой (амплитуда –1), и наоборот. Как показано на схеме 3, амплитуды обеих волн вычитаются, и результирующая волна будет иметь нулевую амплитуду – т. е. никакой волны наблюдаться не будет.


Поведение волн энергии важно для биологии и медицины потому, что распространяемые ими колебания могут изменить физические и химические свойства атома с таким же успехом, как материальные сигналы наподобие гистамина или эстрогена. Поскольку атомы находятся в непрерывном движении (параметры которого можно определить, регистрируя излучаемые ими вибрации), они создают волновые структуры, аналогичные нашим кругам от камней. При этом каждый атом уникален, поскольку характерное для него распределение отрицательных и положительных зарядов, в сочетании с его спином, порождает неповторимую колебательную (вибрационную) структуру.

Ученые нашли способ намертво останавливать атомы при помощи энергетических волн. Определив частоту колебаний выбранного атома, они настроили лазер так, чтобы он генерировал излучение той же частоты. Взаимодействие световых волн с волной атома приводит к деструктивной интерференции, вследствие которой вибрации атома исчезают, и он перестает вращаться.

Если же необходимо не остановить, а наоборот, возбудить атом, то подбираются вибрации, которые приведут к гармоническому резонансу. Эти вибрации могут иметь электромагнитную или же акустическую природу. Так, например, когда хорошая певица, скажем Элла Фицджеральд, берет ноту такой частоты, которая находится в гармоническом резонансе с атомами хрустального бокала, последние поглощают энергию созданных ею звуковых волн. Вследствие конструктивной интерференции дополнительная энергия резонансного звука заставляет атомы вибрировать быстрее. В конце концов они поглощают такое количество энергии, что его оказывается достаточно для разрыва связей, удерживающих атомы вместе. Когда это происходит, бокал разлетается на куски.

Врачи используют механизм конструктивной интерференции для дробления камней в почках – достаточно редкий случай, когда законы квантовой механики нашли применение в современной медицине в качестве метода лечения. Почечные камни представляют собой кристаллы, атомы которых вибрируют с определенной частотой. Не вскрывая организм больного, врачи направляют на камень сфокусированную волну той же частоты. Ее взаимодействие с камнем приводит к конструктивной интерференции – как и в предыдущем примере с бокалом, атомы почечного камня начинают двигаться так быстро, что он разваливается на мелкие кусочки – настолько небольшие, что они легко выводятся из организма и не вызывают тех ужасных болей, которыми сопровождается выход крупных камней.

Вход
Поиск по сайту
Ищем:
Календарь