Книга Мозг. Как он устроен и что с ним делать, страница 64 – Илья Мартынов

Авторы: А Б В Г Д Е Ж З И Й К Л М Н О П Р С Т У Ф Х Ч Ш Ы Э Ю Я
Книги: А Б В Г Д Е Ж З И Й К Л М Н О П Р С Т У Ф Х Ц Ч Ш Щ Ы Э Ю Я
Бесплатная онлайн библиотека LoveRead.ec

Онлайн книга «Мозг. Как он устроен и что с ним делать»

📃 Cтраница 64

Различные эксперименты также показывают, что мы меняем наше мнение под воздействием группы лиц. К примеру, в комнате, где сидят несколько человек, экспериментатор спрашивает, какого цвета две пирамидки на столе. В группе лишь один человек является настоящим испытуемым, все остальные – подсадные утки. На столе одна пирамидка белого цвета, другая – черная. Подсадные утки спокойно отвечают, что обе пирамидки белые. Испытуемый – человек без каких-либо дефектов зрения или восприятия, – в общем-то понимая, что с ответами других людей что-то явно не так, повторяет за ними и сообщает, что обе пирамидки белые!

По окончании экспериментов испытуемые честно сознавались в том, что прекрасно видели различия в цветах пирамид, но не могли противиться мнению большинства!

Это и есть наглядный пример социального конформизма. С нейробиологической точки зрения это происходит по нескольким причинам:

1. Мы нуждаемся в одобрении окружающих.

2. Мы хотим во что бы то ни стало сохранить положительное представление о самих себе.

3. Мы хотим иметь собственное «Я».

Невозможно модифицировать поведение (то есть обучаться) без обратной связи от окружающих. Получая одобрение со стороны, мы закрепляем в нейронных связях удачные (оптимальные) модели поведения. Мы уже знаем, что наш мозг испытывает эмоции в зависимости от того, насколько совпал с нашими ожиданиями (превзошел или не оправдал их) тот или иной исход события.

Мы как бы постоянно предсказываем вознаграждение. Если мы его не получаем, то корректируем поведение.

Считается, что за результатом поведения активно следят цингулярная кора, стриатум и прилежащее ядро. Так вот, некоторые ученые предполагают, что когда мы ведем себя не так, как большинство, в нашем мозге возникает сигнал, схожий с тем, который появляется при ошибочном предсказании вознаграждения. Прилежащее ядро явно недовольно, когда вместо улыбок и одобрения мы получаем осуждающие взгляды.

Российский нейроэкономист Василий Андреевич Ключарев предположил, что конформность работает по тому же принципу, что и механизм обучения с социальным подкреплением. В таком случае по активности цингулярной коры и прилежащего ядра можно узнать, изменит человек свое мнение под действием авторитета (или группы людей) или нет.

Он создал элегантную экспериментальную парадигму, в которой студенткам предлагалось оценить привлекательность женских лиц. После того как студентка давала оценку, на экране появлялось мнение большинства. В действительности оценка генерировалась псевдослучайным образом (более высокая/ более низкая/совпадает с мнением испытуемой). В случае несовпадения оценок возникал конфликт мнений.

Через полчаса испытуемым вновь предлагали оценить те же самые фотографии, но уже в новом случайном порядке. Стоит отметить, что фотографий демонстрировалось достаточно много (несколько сотен). Запомнить оценки было практически невозможно.

Иллюстрация к книге — Мозг. Как он устроен и что с ним делать [i_056.jpg]

Рис. 56. Вариант интерфейса программы для оценивания привлекательности лица


И что же в итоге?

Во второй раз испытуемые систематически меняли свои оценки в пользу мнения большинства! По всей видимости, это происходило полностью бессознательно.

Сканирование мозга испытуемых показало, что отличие (рассогласование) во мнениях приводило к активации центральной части поясной извилины. При этом наблюдалось подавление активности прилежащего ядра. Таким образом генерировался сигнал ошибки, и в мозге возникала программа, направленная на изменение мнения, чтобы оно больше соответствовало мнению большинства.

Результаты исследования говорят о том, что конформность – вариант автоматической реакции (как в случае с Системой 1). Вероятно, у такого феномена есть глубокий эволюционный смысл. Практически автоматическое подстраивание поведения под мнение большинства может быть оправдано тем, что группа моделирует реальность более адекватно, чем индивид. Также это позволяет избегать чрезмерных конфликтов и снижать количество агрессивных стычек внутри стаи. Нашим предкам нужен был вожак, которому другие члены стаи могли бы подчиняться. Автоматический механизм конформности это хорошо обеспечивал и обеспечивает до сих пор.

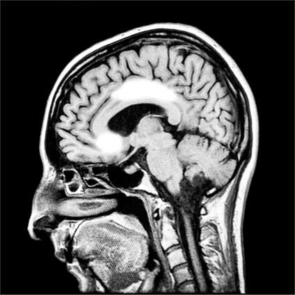
Иллюстрация к книге — Мозг. Как он устроен и что с ним делать [i_057.jpg]

Рис. 57. Активация поясной извилины (белое пятно сверху) и подавление активности прилежащего ядра (белое пятно снизу) (по данным Klucharev et al., 2009)


Но в действительности он не всегда оправдан. Известны случаи, когда на одной территории встречается большое количество людей с лишним весом, и у них не формируется желания худеть. «А каков смысл?» – спрашивают они себя.

Вероятно, что этот же механизм может реализовываться в больницах и поликлиниках. Вполне себе здоровые люди, наблюдая за другими, действительно больными, могут начинать вести себя так же.

Получается, миллионы лет эволюции отбирали нас так, чтобы мы не отклонялись от оптимальной стратегии большинства. И по такой логике рациональное решение – следовать за большинством, а отклонение наказывается.

Но в современных реалиях нам необходимо создавать принципиально новые конструкции, продвигать уникальные идеи. Именно они ценятся. В таком случае эволюционно древний механизм социальной конформности явно играет против нашего общества индивидуалистов.

Нейромаркетинг

Нейромаркетинг можно рассматривать в составе нейроэкономики, а можно вынести за скобки как самостоятельную дисциплину. Это область знаний на стыке маркетинга (науки о продвижении товаров и услуг на рынке) и нейробиологии. Нейромаркетинг изучает, как мозг делает выбор, когда речь идет о покупках.

В более широком смысле нейромаркетинг можно определить как исследование потребительского поведения методами психологии и нейробиологии. При этом полученные знания применяют для выстраивания стратегий, способствующих росту продаж и повышению качества продукта или услуги.

Нейромаркетологов интересует, как все-таки заставить человека делать больше покупок. Как правило, частные компании всегда ориентированы на создание такого рекламного сообщения, которое провоцировало бы покупку либо конкретного товара, либо даже группы, линейки продуктов.

Прежде чем мы поговорим о том, как используются законы работы Системы 1 и Системы 2 в нейромаркетинге, важно сказать, что сегодня не существует способа воздействия на потребителя, который давал бы стопроцентную вероятность покупки рекламируемого товара или услуги. Но в некоторых отдельных кейсах нейромаркетологи достигли ошеломляющих результатов.


Титанический труд Системы 1

Долгое время серьезная наука не могла подступиться к изучению эмоций. Сложности были как у медиков и физиологов, так и у психологов. Эмоции считались чем-то низменным, животным, лишенным какого-либо разумного замысла. Экономика не брала в расчет эмоциональные реакции. Почему? Потому что их нельзя досконально просчитать. Они капризны, на основе их анализа практически невозможно построить сколько-нибудь реалистичные прогнозы. И вообще, экономистам казалось, что эмоции только мешают. Их и учитывать-то не следует. Так думали до работ Канемана.

Вход
Поиск по сайту
Ищем:
Календарь