Книга Здоровье через стопы , страница 19 – Сергей Бубновский

Авторы: А Б В Г Д Е Ж З И Й К Л М Н О П Р С Т У Ф Х Ч Ш Ы Э Ю Я
Книги: А Б В Г Д Е Ж З И Й К Л М Н О П Р С Т У Ф Х Ц Ч Ш Щ Ы Э Ю Я
Бесплатная онлайн библиотека LoveRead.ec

Онлайн книга «Здоровье через стопы »

📃 Cтраница 19

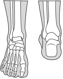
Знаете ли вы, что стопа подразделяется на три части: предплюсну (кости лодыжки — множество пяточных костей), плюсну (пять длинных костей между лодыжками и пальцами) и фаланги (кости пальцев)?

К анатомическому строению стопы мы еще вернемся при анализе причин болезней, связанных со стопой (рис. 12).

Интересно отметить, что скелет, состоящий из костей, хрящей и связок, поддерживает тело, защищает внутренние органы и обеспечивает движение тела с помощью мышц, которые крепятся к костям. Но я хочу сказать, что на этой функции мышц (функции движения скелета), к сожалению, и заканчиваются знания многих врачей. А роль мышц в обеспечении здоровья явно недооценена, и об этом мы еще поговорим.

Итак, кости, составляющие 20 % массы тела, служат также резервуаром для кальция и содержат красный костный мозг, вырабатывающий клетки крови, а значит, кислород. Именно ему мы обязаны словом «зарядка». Я бы добавил еще и «перезарядка», в том случае, когда человек выполняет серьезную гимнастику.

Иллюстрация к книге — Здоровье через стопы  [i_051.jpg]

Рис. 12


В местах сочленения кости покрыты плотным и упругим хрящом, и его изнашивание, то есть неправильная эксплуатация, приводит к остеохондрозу позвоночника и артрозам суставов. Хрящ также образует основу многих органов, в частности носа и ушей.

Интересно, что в хрящах, в отличие от костной ткани, имеющей собственные кровеносные сосуды (чрезвычайно мелкие), нет кровеносных сосудов, поэтому хрящевая ткань не восстанавливается, и применение хондропротекторов абсолютно бессмысленно, так как межклеточное вещество хрящей непроницаемо для крупномолекулярных белков. Поэтому с годами хрящевая ткань минерализуется, обрастая остеофитами. В народе это называется отложением солей.

Связки соединяют отдельные костные элементы в единое целое, но решающую роль при движении играют сухожилия, которые присоединяют мышцы к костям. Например, малоберцовая мышца прикрепляется к пятке ахилловым сухожилием. Сухожилия передают силу, произведенную мышцами, костям (рис. 13).

Воспаление сухожилий называется тендинитом (щелкающие пальцы, треск). У бегунов часто встречается ахиллов тендинит — воспаление большого ахиллова сухожилия, которое проходит от икроножной мышцы до задней части пятки.


Итак, план действий. Таранно-ладьевидный сустав (в специальной литературе его называют «таранно-пяточно-ладьевидный») вместе с пяточно-кубовидным суставом образуют наружную часть предплюсневого сочленения, которое имеет шаровидную форму, и движение в нем происходит только вокруг собственной оси сустава, которая одновременно служит осью и для подтаранного сустава.

Иллюстрация к книге — Здоровье через стопы  [i_052.jpg]

Рис. 13


Теперь перекатывающие движения с пятки на пальцы (как пресс-папье) мне можно было навсегда забыть, так как ахиллово сухожилие перестало помогать. При ходьбе я стал как бы натыкаться на стопу.

Но я думал, что здесь еще осталось очень много связок (не буду их перечислять), которые, в отличие от ахиллова сухожилия, не были «оторваны» и «отрезаны». Если соединили кости предплюсны, которые в норме совершают собственно движение голеностопного сустава и стопы, значит, при желании эти связки можно как-то «реанимировать». Все эти связки суставов предплюсны относятся к числу наиболее важных структур, поддерживающих свод стопы. Но… свод исчез!

Связки составляют поверхностный и глубокий слой стопы, то есть для того, чтобы от них избавиться, нужно целенаправленно их удалять. Но этим хирурги, спасшие мою жизнь, не занимались, следовательно, мне надо было каким-то образом заставить эти связки, соединяющие кости стопы, хотя бы как-то работать. Но заставить работать связки сустава может только движение самого сустава, а движения в суставе предплюсны были выключены, и выключены, как казалось, навсегда… Но это только казалось! Чтобы связки перестали работать, их не надо «волновать», то есть заставлять работать — растягиваться. И если их не трогать, то действительно возникает анкилоз, то есть полная неподвижность сустава, которая, к сожалению, необратима.

Связки деревенеют — это называется «фиброз», затем они, естественно, оссифицируются — окостеневают. Но я все это время ходил — пусть на костылях, но ходил! И я не давал им окостеневать, хотя это были пока еще интуитивные, то есть не целенаправленные движения. Но движения были! И вот настал час истины: я пошел без костылей! И у суставов на следующий день после полного включения (настолько, насколько это было возможно) возник отек…

О чем это говорит? Известно, что внутри связок проходят капилляры (мельчайшие кровеносные сосуды), по которым осуществляется питание костей (иначе наступает остеопороз и некроз — умирание костной ткани). Ходьба спровоцировала эти связки на движение — значит, кровь пошла, но… задержалась: все-таки многие связки были повреждены и травматически, и хирургически, потому что хирургия — это всегда (!) травма соединительных тканей. Поэтому в суставе надо создать условия «прорыва блокады». Любой сустав — это суставные поверхности, благодаря которым и совершается собственно движение в суставе. Связки лишь фиксируют его геометрию.

Вывих — это состояние потери суставными поверхностями конгруэнтности, то есть скольжения друг по другу. Вывих мне вправили и кости соединили спицами. Но подтаранный сустав хотя и описывается как шаровидный, при этом невозможно представить (а это так и есть!), что передняя поверхность пяточной кости, напоминающая форму цилиндра, и головка таранной кости, представляющая часть шара, скользят одна по другой — это геометрически невозможно. Этот сустав (таранно-пяточно-ладьевидный) обладает определенной «игрой» и благодаря своей структуре составляет резкий контраст по отношению, например, к тазобедренному суставу, где сочленяющиеся поверхности геометрически конгруэнтны и позволяют лишь самую минимальную «игру».

Как я уцепился за отек стопы

Но в моем случае о конгруэнтности речи не было совсем: суставные поверхности были наглухо соединены спицами, и передача нагрузки между суставами стала значительно меньше, а то и нулевой. Но я «уцепился» за отек: если был отек, значит, движение в суставе возможно, хотя бы минимальное. Тем более что в норме движение в этом суставе происходит одновременно в трех плоскостях.

Какие это движения?

а) небольшое разгибание стопы

б) движение кнутри, т. е. имеет место приведение

в) поворачивается, т. е. имеет место супинация.


Одним словом, в норме пяточная кость поворачивается и перекатывается под таранной костью, как корабль, идущий по волнам. Из трех движений стопы мне удалось частично восстановить движение — перекатывание. Поэтому я люблю обувь с выпуклой подошвой, в которой стопа при ходьбе сама перекатывается с пятки на носок без участия полноценной предплюсны и ахиллова сухожилия. Такая обувь, кстати, является прекрасным тренажером при плоскостопии. Но такой обувью, естественно, невозможно пользоваться во время гололедицы.

Вход
Поиск по сайту
Ищем:
Календарь