Онлайн книга «Система Осьмионика. Самомоделирование осанки. Коррекция верхней половины тела»
|
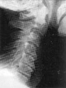
Вторит ему Говард Лэнгстайн (Howard Langstein), руководитель службы пластической и реконструктивной хирургии в университетской клинике: «Резорбция костной массы приводит к потере былой четкости овала и к провисанию мягких тканей. Внешне это проявляется в том, что нижняя часть лица приобретает более мягкие овальные очертания, снижается тонус кожи щек, подбородка и шеи, в результате чего очертания лица приобретают характерный возрастной вид». Далее Г. Лэнгстайн заявил: «Хотя врачи всегда знали, что кости со временем меняются, но как это проявляется с возрастом – не оценили». В свою очередь остеопороз черепа напрямую зависит от кровоснабжения головы. И мы опять приходим к неизбежности хорошего состояния «трубопроводов», несущих питание к мозгу и лицу. А перекрываться это питание может не только из-за сжатия артерий, но и всех сосудов шейного отдела, в том числе и вен. В этом случае артериальная кровь будет поступать, а отток будет заблокирован, что вызовет повышение внутричерепного давления и сильную головную боль. Головной мозг снабжается из двух сосудистых бассейнов. Первый составляют сонные артерии. Поражение этих артерий часто приводит к развитию острого нарушения мозгового кровообращения (инсультам). Ко второму относятся правая и левая позвоночные артерии. Их поражение не приводит к таким тяжелым осложнениям, как инсульт, но может способствовать головокружениям, усиливающимся при движениях головы или изменении положения тела. Подобные симптомы могут вызываться спазмами как позвонков, так и мышц шеи. К примеру, перенапряжение затылочных мышц зачастую ведет к головным болям и к проблемам со зрением. Так что шейный отдел позвоночника, состоящий из 7 позвонков, должен иметь и достаточную длину, и определенную статику (рис. 67). ![]() Рис. 67. Нормальная статика шеи. Правильный физиологический изгиб: А=А1 А что в действительности имеем мы? Обычно, даже при здоровом позвоночнике (только где его найдешь?), он начинает с возрастом деформироваться, «проседать», менять статику. Появляется симптом смещенной вперед и запрокинутой назад головы (рис. 68). ![]() Рис. 68. Гиперлордоз шейного отдела позвоночника: B > B1 В результате небольшой физиологический изгиб гипертрофируется, что ведет к проваливанию шейных позвонков вглубь шеи, особенно интенсивно при «сидячей» работе. Формируется гиперлордоз шейного отдела позвоночника. Чаще всего виной тому является не возраст, не тяжесть гравитации, а элементарно наша плохая осанка: сутулость, неправильная статика шеи, опущенная вниз голова, когда попытка смотреть в глаза собеседника достигается взглядом исподлобья за счет запрокидывания головы назад. Посмотришь на лицо, вроде бы женщина еще молодая, ухаживающая за собой. А взглянешь со стороны – прямо старушка ковыляет – ссутулилась, шейка вперед подалась, плечики сжались. Хорошо, сама себя не видит, а то бы очень огорчилась. Из-за того, что с возрастом диски между позвонками уплощаются, длина шеи укорачивается и частенько весьма значительно (рис. 69). ![]() Рис. 69. Шейный отдел позвоночника Появление поперечных морщин и складок на боковой поверхности шеи служит точной приметой этого явления. Проведите тесты – проверьте свою шею на ее статику – физиологический изгиб. Вот тут вам и пригодится второе зеркальце. 1. Возьмите его и внимательно рассмотрите свою шею в профиль и особенно сзади, приподняв волосы. Не стоит удивляться тому, что, возможно, там вы ее вообще не найдете – слишком коротким будет расстояние от первого позвонка до последнего – 7-го шейного, который легко прощупывается. В идеале длина шеи должна быть одинаковой по всей ее окружности. Если вам больше 40 лет, будьте готовы к тому, что, измерив свою шею, вы найдете сзади не более 2–3 см своей шеи. 2. Если запрокинуть голову назад, появляется ощущение, что в основание головы упирается кол – это ваш 7-й позвонок упирается в первый. Закономерно напрашивается вопрос: «А куда делись оставшиеся 5?» – запали внутрь шеи. И как бы ни было ухожено лицо, ни о какой молодости говорить уже не приходится. 3. Сравните длину вашей шеи с «эталонной». Похоже? Или…? Скорее всего или… Чтобы восстановить свою шею, недостаточно лишь массажами убрать жир с так называемой «холки» (кстати, основная часть этого горбика не жир, а отек лимфы) и «разбить остеохондрозные соли». В первую очередь необходимо восстановить статику шейного отдела. Ведь не «вытащив» запавшие вглубь шеи позвонки, характеризующие гиперлордоз шеи, вам никогда не приобрести четкого овала. При этом проблемы статики шейного отдела не ограничиваются возрастным гиперлордозом шейного отдела, когда шейные позвонки проваливаются вглубь шеи (рис. 70). Частенько, наоборот, этот изгиб может быть и излишне спрямлен (рис. 71). ![]() Рис. 70. Гиперлордоз шейного отдела ![]() Рис. 71. Спрямление шейного отдела позвоночника А вот для молодого поколения, особенно в наше время тотальной компьютеризации, характерен третий дефект неправильной статики шеи, который я назвала «компьютерной шеей» (рис. 72). Провоцируясь в большей степени именно вытягиванием шеи к экрану монитора, он выражается в ее вытянутости вперед и тоже сопровождается избыточным грудным кифозом – сутулой осанкой. ![]() Рис. 72. «Компьютерная» посадка шеи При такой статике центр тяжести головы (ЦТ) смещен вперед относительно центра тяжести тела (рис. 73). |
![Иллюстрация к книге — Система Осьмионика. Самомоделирование осанки. Коррекция верхней половины тела [_67.jpg] Иллюстрация к книге — Система Осьмионика. Самомоделирование осанки. Коррекция верхней половины тела [_67.jpg]](img/book_covers/079/79952/_67.jpg)
![Иллюстрация к книге — Система Осьмионика. Самомоделирование осанки. Коррекция верхней половины тела [_68.jpg] Иллюстрация к книге — Система Осьмионика. Самомоделирование осанки. Коррекция верхней половины тела [_68.jpg]](img/book_covers/079/79952/_68.jpg)
![Иллюстрация к книге — Система Осьмионика. Самомоделирование осанки. Коррекция верхней половины тела [_69.jpg] Иллюстрация к книге — Система Осьмионика. Самомоделирование осанки. Коррекция верхней половины тела [_69.jpg]](img/book_covers/079/79952/_69.jpg)
![Иллюстрация к книге — Система Осьмионика. Самомоделирование осанки. Коррекция верхней половины тела [_70.jpg] Иллюстрация к книге — Система Осьмионика. Самомоделирование осанки. Коррекция верхней половины тела [_70.jpg]](img/book_covers/079/79952/_70.jpg)
![Иллюстрация к книге — Система Осьмионика. Самомоделирование осанки. Коррекция верхней половины тела [_71.jpg] Иллюстрация к книге — Система Осьмионика. Самомоделирование осанки. Коррекция верхней половины тела [_71.jpg]](img/book_covers/079/79952/_71.jpg)
![Иллюстрация к книге — Система Осьмионика. Самомоделирование осанки. Коррекция верхней половины тела [_72.jpg] Иллюстрация к книге — Система Осьмионика. Самомоделирование осанки. Коррекция верхней половины тела [_72.jpg]](img/book_covers/079/79952/_72.jpg)