Книга ДНК. История генетической революции, страница 116 – Кевин Дэвис, Эндрю Берри, Джеймс Д. Уотсон

Авторы: А Б В Г Д Е Ж З И Й К Л М Н О П Р С Т У Ф Х Ч Ш Ы Э Ю Я
Книги: А Б В Г Д Е Ж З И Й К Л М Н О П Р С Т У Ф Х Ц Ч Ш Щ Ы Э Ю Я
Бесплатная онлайн библиотека LoveRead.ec

Онлайн книга «ДНК. История генетической революции»

📃 Cтраница 116

Через пятьдесят лет после появления теста забора крови из пятки у новорожденных Роберт Грин и его коллеги из Гарвардской медицинской школы запустили Baby Seq – рандомизированное клиническое исследование, в рамках которого планируется отсеквенировать геномы более сотни новорожденных и отследить в них 1700 заболеваний, начинающихся в детском возрасте. Для Гарварда это всего лишь небольшое клиническое исследование, но оно даст возможность совершить огромный скачок в оценке пользы от всеобщего скрининга новорожденных.

На 1950-е годы пришлось активное развитие цитогенетики – изучения хромосом под микроскопом. В диагностической практике этот подход показал, что при нарушении числа хромосом, когда их больше или меньше нормы, неизбежно возникают тяжелейшие болезни. Проблемы связаны с дисбалансом числа генов, то есть с отклонением от нормы «по два гена от каждого». Подобные расстройства не передаются по наследству, как миодистрофия Дюшенна или муковисцидоз, но все равно являются по сути генетическими; они возникают спонтанно при сбоях в клеточном делении и при образовании дефектных сперматозоидов и яйцеклеток.

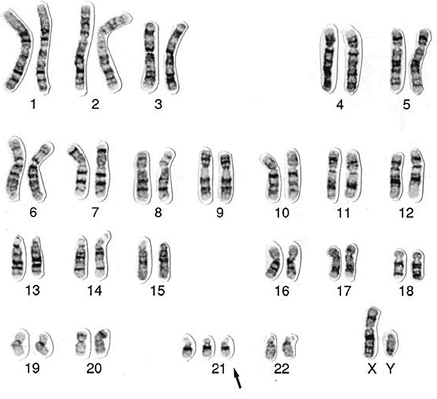
Наиболее известная из таких болезней – синдром Дауна. Названа болезнь в честь Джона Лэнгдона Дауна, который в 1866 году впервые описал его характерные клинические признаки. «…Это [внешнее сходство] столь выраженное, что, если посадить таких детей бок о бок, сложно поверить, что они из разных семей». Девяносто лет спустя французский врач Жером Лежен обнаружил, что у детей с синдромом Дауна по три экземпляра одной хромосомы (впоследствии выяснилось, что лишняя 21-я хромосома). Среди генетиков-профессионалов такое расстройство именуется «трисомия 21».

Иллюстрация к книге — ДНК. История генетической революции [i_152.jpg]

Трисомия 21 (синдром Дауна). Кариотип (полный набор хромосом), взятый у мужчины с синдромом Дауна. Обратите внимание на лишнюю 21-ю хромосому


Чем старше мать, тем выше риск синдрома Дауна. Когда матери 20, вероятность родить такого ребенка составляет примерно 1:1700, когда 35 – уже 1:400, а в 45 достигает 1:30. Именно поэтому многие старородящие женщины выбирают пренатальную диагностику, позволяющую определить, есть ли у плода тройная 21-я хромосома. Сегодня такой анализ входит в стандарт обследования беременных женщин старше 35 лет.

В Великобритании 30 % беременностей с синдромом Дауна обнаруживается при плановом тестировании у 5 % самых старородящих женщин. Этот метод выделяется своей высокой эффективностью по соотношению «число обнаруженных случаев на каждый потраченный фунт стерлингов», но что насчет остальных 70 % случаев синдрома Дауна? Неинвазивные методы являются альтернативными умеренно рискованным технологиям: амниоцентезу и биопсии хориона, – меняют профиль пренатальной диагностики. В конце 1990-х годов различные исследователи, в частности Деннис Ло из Китайского университета в Гонконге, показали, что ДНК плода можно обнаружить в плазме крови матери. Десять лет спустя Ло и группа ученых из Стэнфордского университета под руководством Стивена Квейка независимо показали, что анализ такой ДНК позволяет выявить трисомию 21. Процедура под названием «неинвазивное пренатальное тестирование» (NIPT) относительно проста: исследователь секвенирует 5–10 миллионов коротких произвольно взятых фрагментов ДНК из материнской плазмы, а затем сличает их с соответствующими хромосомами. Если в ДНК плода обнаруживается лишняя 21-я хромосома, то из 21-й хромосомы будет больше фрагментов, чем из других. Аналогично обнаруживаются трисомии и в других хромосомах, в частности в 13-й или 18-й. Такие трисомии вызывают соответственно синдром Эдвардса и синдром Патау, тяжелые генетические расстройства; ребенок с такими болезнями обычно умирает спустя несколько недель или месяцев после рождения. Другие трисомии летальны на пренатальном этапе, так прерывается около 30 % беременностей, и около половины подобных случаев прерывания беременности связаны с теми или иными хромосомными аберрациями.

Точность и эффективность метода неинвазивного пренатального тестирования (NIPT) была доказана в ходе клинических исследований, и первый клинический анализ по такому методу диагностики был выставлен в 2011 году. Вскоре появились и другие, и NIPT стал стандартной диагностической пренатальной процедурой, которую обычно проходят на первых 10 неделях беременности. Увы, этот метод не абсолютно точен. В 2014 году в Атланте был зафиксирован первый «ложноотрицательный» результат NIPT: ребенок родился с синдромом Дауна, хотя диагностика показала, что плод здоров.

Пока скрининг ДНК плода, взятой из плазмы материнской крови, позволяет выявить лишь ограниченный набор генетических расстройств.

Иллюстрация к книге — ДНК. История генетической революции [i_153.jpg]

Флуоресцентное окрашивание, позволяющее определить число хромосом. Ядро клетки (синее) анализируется на присутствие 10-й хромосомы (голубая) и 21-й хромосомы (розовая). Слева показан нормальный кариотип, в котором по два экземпляра обеих этих хромосом; справа – кариотип, соответствующий синдрому Дауна (три 21-х хромосомы)

Иллюстрация к книге — ДНК. История генетической революции [i_154.jpg]

Симон – итальянский студент, страдающий синдромом Дауна. Снимок предоставлен Positive Exposure – некоммерческой организацией, цель которой – поддержка «особенных» людей, стремящихся вести нормальную жизнь


Однако, по мнению Джея Шендью (Jay Shendure), врача-исследователя из Вашингтонского университета, вскоре появится возможность считывать по такой ДНК всю геномную последовательность плода. Джей Шендью с коллегами предложили метод неинвазивного взятия образцов материнской ДНК и сравнения этого материала с геномными последовательностями родителей. Так с высокой точностью удается определить геномную последовательность плода. Проблемы остаются, но, как заявил Джей Шендью в беседе с журналистом New York Times, «…это уже не научная фантастика».

По мере того как генетические анализы становятся все более сложными, открывается ящик Пандоры с этическими дилеммами. Подоплека их далеко не ограничивается исходными проблемами, для решения которых разрабатывался анализ, а последствия касаются не только тех людей, которые такой анализ сдают. Ни в какой другой отрасли медицины эта проблема не проявляется так очевидно, как при генетических анализах в семьях с заболеваниями, передающимися по наследству, например миодистрофией Дюшенна, болезнью Хантингтона или муковисцидозом. Недавно мужчина в возрасте за двадцать попросил проверить его на болезнь Хантингтона. Его дед по отцу умер от этой болезни, а отец, которому было уже за сорок, решил не сдавать анализ, предпочтя, подобно Нэнси Векслер, жить с пятидесятипроцентной неопределенностью, а не знать наверняка. Поскольку болезнь Хантингтона обычно поражает пожилых, существовала вероятность, что и у отца есть такая мутация, просто симптомы еще не проявились. Молодой человек понимал, что у него вероятность [19] такой мутации (и, соответственно, вероятность заболеть в будущем) составляет 1 к 4. Но он хотел знать, что его ждет. Проблема состоит вот в чем: если мутацию у сына обнаружат, то получить ее он мог только от отца, и, следовательно, отца болезнь неизбежно настигнет. Стремление сына доискаться генетической правды прямо противоречит нежеланию отца ее знать. Отец с сыном рассорились, и в конце концов, после долгих уговоров матери, сын отказался от анализа. Мать убедила сына в том, что его желание знать правду меркнет по сравнению с правом отца защититься от информации, которая может стать для того смертным приговором. Этот драматический пример показывает, как сильно генетический анализ отличается от любого иного. Любая информация, которую я могу узнать о моих генах, отразится на моих биологических родственниках независимо от того, хотят ли они ее знать или предпочитают скрыть.

Реклама
Вход
Поиск по сайту
Ищем:
Календарь