Книга Чердак. Только физика, только хардкор, страница 34 – Дмитрий Побединский

Авторы: А Б В Г Д Е Ж З И Й К Л М Н О П Р С Т У Ф Х Ч Ш Ы Э Ю Я
Книги: А Б В Г Д Е Ж З И Й К Л М Н О П Р С Т У Ф Х Ц Ч Ш Щ Ы Э Ю Я
Бесплатная онлайн библиотека LoveRead.ec

Онлайн книга «Чердак. Только физика, только хардкор»

📃 Cтраница 34

Ну и конечно, самое лучшее – это полное абстрагирование от вопросов и механические ответы на них. Можно сфокусировать внимание на какой-либо детали, например, точке на стене, складывать в уме большие числа. Необходимо минимизировать сравнение в голове вашего ответа с воспоминаниями. Это требует длительной тренировки, но в итоге так можно запутать полиграф. Перед тестированием можно выпить много воды, чтобы сильно хотелось в туалет. Серьезно, тогда вы будете думать явно не о вопросах.

В любом случае знайте: полиграф не читает мысли и не обнаруживает ложь, а всего лишь регистрирует возбуждение организма, которое может быть разным у разных людей. Эффективность полиграфа не доказана на 100 %, и в большинстве стран законодательство не позволяет использовать результат полиграфной проверки как доказательство в суде. Так что полиграф по сей день – прибор ненадежный и может дать ошибку, даже если вы его не обманываете.

Иллюстрация к книге — Чердак. Только физика, только хардкор [i_099.jpg]
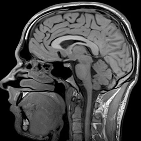
7.7. Как работает МРТ?

Современная медицина уже никого не удивляет тем, что может увидеть человека насквозь. Но вы только представьте, сколько различных методов изобретено: УЗИ, рентген, МРТ. Пожалуй, самым совершенным является последний, о нем и поговорим. МРТ позволяет создавать трехмерное изображение внутренностей человека чуть ли не в полный рост, при этом никакого вредного воздействия не оказывает! Так каков его принцип действия?

Иллюстрация к книге — Чердак. Только физика, только хардкор [i_100.jpg]

Принцип действия

Магнитно-резонансный томограф представляет из себя огромный магнит, с очень сильным полем. В самых сильных моделях оно может быть в 100 000 раз больше магнитного поля Земли! Так вот, ядра наших атомов сами являются маленькими магнитиками (потому что у них есть спин, они как бы вращаются и как бы являются малюсенькими электротоками, ведущими себя, как электромагнит). Соответственно они могут взаимодействовать с внешним магнитным полем и поворачиваются либо вдоль поля, либо против. Следует отметить, что так ведут себя только ядра с нечетным количеством протонов и нейтронов. Но все МРТ настроены на повороты ядер водорода, который содержится в большом количестве в организме в составе воды и других соединений.

Если облучить ядро электромагнитной волной определенной частоты, то оно может поглотить ее энергию и повернуться на 90 или 180 градусов, в зависимости от частоты. Через некоторое время ядро релаксирует в свое исходное состояние и излишек энергии излучает в виде электромагнитной волны. Это излучение принимается антеннами по сути как обычное радио, и если облучать ткани, то по интенсивности «отклика» можно понять, много там ядер водорода или нет. В разных тканях его разное количество, поэтому на изображении отчетливо видна разница между ними.

Но все же это достаточно дорогой и технически сложный способ наблюдения за внутренностями человека. Дело в том, что частота поглощения зависит от поля. Если бы везде поле было одинаковым, то поглощение и излучение происходило бы везде, мы бы не узнали, откуда пришел сигнал, и картинки не получилось бы.

Поэтому на практике делают так. Включают основной магнит, радиоизлучатель и так называемые градиентные поля. Они добавляются или вычитаются из поля основного магнита, делая его неоднородным. Из-за этого резонансное поглощение энергии происходит не везде, а только в маленьком участочке. Оттуда летят радиоволны и уже принимаются антеннами. Изменяя градиентные поля, мы передвигаем место резонанса, как бы сканируя тело, и получаем некий «отклик» из каждой точки тела.

В разных тканях содержится разное количество водорода (в воде и других соединениях), поэтому мы получаем разный отклик и можем восстановить картину внутренних органов. Так же время релаксации тоже различно для разных тканей! Во многих исследованиях измеряют и его, получая очень точную картину.

Байки, мифы, татухи, пирсинг, вред, все такое

Дороговизны МРТ добавляет то, что для создания сильного магнитного поля часто используют электромагнит. И чтобы он не нагревался от огромного тока, по нему проходящего, его погружают в камеру с жидким гелием температурой –269 градусов. Тогда проводник переходит в сверхпроводящее состояние и не греется, так как у него попросту пропадает сопротивление. Причем камеру с гелием погружают в жидкий азот, а камеру с азотом в вакуумную камеру. Все это – для лучшей теплоизоляции холоднющего гелия. Ведь это одна из холоднейших вещей на земле!

Вреда МРТ никакого не наносит, в отличие от рентгеноскопии, флюорографии, где человек по сути получает дозу радиации. Но все же МРТ противопоказан людям с металлическими, магнитящимися имплантантами, так как они сдвинутся в магнитном поле, что может привести к непоправимым последствиям. Татуировки в большинстве своем не являются противопоказанием, ведь в нынешних красках нет металлических примесей.

Иллюстрация к книге — Чердак. Только физика, только хардкор [i_101.jpg]

Ну и характерный стук МРТ появляется из-за движения градиентных магнитов, которые с огромной силой ударяются в упоры.

Так что, если вам будут делать МРТ, задумайтесь, что вы окружены жидким гелием, ядра в ваших атомах водорода поворачиваются, и по сути вы сами являетесь радиоизлучателем! И все это позволяет разглядеть вас изнутри!

7.8. На что способны Apple Watch?

9 сентября 2014 года корпорация Apple презентовала новое устройство. Это часы, которые обладают просто миллиардом функций: они могут измерять пульс, количество пройденных шагов, совершать звонки, оплачивать покупки и многое-многое другое. В основе этих функций лежат просто фантастические технологии и уникальные сенсоры, о которых и пойдет речь.

И первое – это измерение пульса. На самом-то деле пульсометр есть во всех смартфонах. Для этого используется встроенная вспышка, которая просвечивает палец, и камера, которая улавливает малейшее изменение яркости отраженного света, связанное с пульсацией крови в сосудах. Но в представленных часах все немного по-другому. В них используется принцип оксиметрии, который давно применяется во всех медицинских учреждениях. На внутренней поверхности часов располагаются светодиоды, которые излучают в ближнем инфракрасном диапазоне и в очень узком диапазоне видимого света. Инфракрасное излучение человек не видит (однако его может увидеть, например, фотокамера, если мы направим на нее пульт от телевизора).

Принцип действия в точности такой же: фотоэлемент улавливает пульсации отраженного света и рассчитывает пульс. Ну а зачем нужны светодиоды двух типов? Дело в том, что в крови свет отражает гемоглобин, который переносит кислород. Гемоглобин может брать на борт 4 молекулы кислорода или вообще обходиться без него. И в случае с кислородом он отражает больше видимого излучения, меньше инфракрасного. Благодаря двум светодиодам мы можем узнать, какого гемоглобина содержится больше, и тем самым рассчитать процентное содержание кислорода в крови. Так что действительно эти часы поумнее обычных.

Реклама
Вход
Поиск по сайту
Ищем:
Календарь