Онлайн книга «Этюды желудочной хирургии»
|
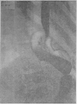
Если при локальном раке кардии и нижнего конца пищевода можно ограничиться все же экономной резекцией фундального отдела, то при более обширном раке или опухолях, захвативших немалую часть верхней трети малой кривизны, иногда возникает вопрос о целесообразности оставления антральной культи взамен тотальной гастрэктомии с трансторакальным соустьем пищевода и тощей кишки. Мотивы для этого могут быть двоякие. Первый и, конечно, главный — это радикальность самой резекции. Вопрос ставится так: да стоит ли сохранять антральный отдел желудка, рискуя, что в нем останутся пока еще невидимые раковые очаги; не вернее ли убрать весь желудок целиком и анастомозировать с тощей кишкой? Не создает ли тотальная гастрэктомия все же большую гарантию от рецидива? Я несколько раз видел отчетливую диссеминацию раковых узелков по передней и задней стенке желудка в радиальных направлениях, исходящую от строго локальной карциномы кардии. Это понуждало резецировать желудок в дистальном направлении весьма широко, оставляя лишь совсем маленькую антральную культю, которую удавалось все же подвести вверх в средостение и там легко анастомозировать с пищеводом тотчас ниже дуги аорты. На прилагаемых рентгенограммах (рис. 95—102) можно видеть, что небольшая культя желудка хорошо подтягивается кверху и прекрасно располагается в заднем средостении на месте иссеченного пищевода. Но каждый раз остается и тревожная мысль, как бы не получилось рецидива именно в этой сохраненной части желудка, поскольку рак проявил склонность к узелковому распространению по самой желудочной стенке. Второе соображение, которое выдвигает мысли о тотальной гастрэктомии, это опасение, что содержимое оставляемой дистальной половины желудка после пересечения обоих блуждающих нервов будет плохо эвакуироваться и тем доставит серьезные неприятности в ближайшем послеоперационном периоде. На моем личном опыте я пока еще не имел такого осложнения, но в нашей клинике однажды наблюдался больной, у которого эвакуация содержимого из оставленной антральной культи была чрезвычайно плохой в течение многих дней после операции. При этом создавалось впечатление, что полная атония оставленной части тела желудка сочетается с выраженным спазмом привратника, который не пропускал принятого бария в двенадцатиперстную кишку. Хотя, в конце концов, все наладилось и больной выписался в хорошем состоянии, однако тревог с ним было очень много. ![]() Рис. 95. ![]() Рис. 96. ![]() Рис. 97. ![]() Рис. 98. ![]() Рис. 99. ![]() Рис. 100. ![]() Рис. 101. ![]() Рис. 102. За сохранение антральной половины желудка и использование ее для прямого анастомоза с пищеводом говорит соблазнительно хорошая васкуляризация этой дистальной половины из сохраненных магистралей: аа. gastro-epiploica dextra et gastrica dextra. Насколько внимательно надо оценивать пригодность фундального отдела после лигирования обеих левых желудочных магистралей и всех vasa gastricae breves при самых высоких, надаортальных соустьях после экстирпаций среднего пищевода, настолько же после резекций проксимальной трети или половины желудка остающаяся дистальная часть превосходно васкуляризируется правыми артериальными магистралями. А это обстоятельство надежнее всего обеспечивает быстрое и прочное сращение по линии желудочно-пищеводного соустья, т. е. наиболее решающий этап всей операции. Мне могут возразить, что, анастомозируя пищевод с тощей кишкой, мы пользуемся органом, не менее богатым по кровоснабжению. Это верно, но поперечник тощей кишки не дает столько простора и пластического материала, сколько его имеется даже на короткой, но широкой антральной культе. Благодаря ширине культи имеется возможность после окончания двухрядного поперечного соустья укрыть дополнительно всю переднюю полуокружность анастомоза, сдвигая и сшивая над ним складки большой и малой кривизны. Прием этот чрезвычайно повышает прочность и герметизм соустья. А риск недостаточности последнего является главной опасностью всех подобных операций. При анастомозах с дистальной половиной желудка мы до сих пор осложнений еще не имели; зато три раза на десяток высоких резекций пищевода и анастомозов с фундальным отделом мы столкнулись с частичной недостаточностью соустья. В двух из этих случаев дело закончилось благополучно, и после вскрытия и дренажа ограниченных эмпием и срочного наложения подвесных энтеростомий для кормления пищевые свищи закрылись самостоятельно и довольно быстро. Но третий больной, врач 52 лет, хорошо перенеся надаортальную резекцию пищевода, постепенно угас, истощаясь из-за чресплеврального свища, получившегося вследствие недостаточности пищеводно-желудочного соустья. Повторяю, не только васкуляризация, но и форма оставляемой желудочной культи предопределяют качество и надежность анастомоза. Поэтому и при наложении раздавливающих гразеровских зажимов на желудок мы стремимся получить не длинную, узкую культю, а широкую, хотя бы за счет ее укорочения. Поднять высоко в средостение короткую культю можно без натяжения; зато ширина ее позволит сделать двойную боковую запашку поверх передней части законченного соустья с пищеводом. Чтобы еще уменьшить натяжение на линии анастомоза, после окончания последнего желудочную культю тщательно укладывают в заднее средостение и пришивают в нескольких местах к краям левой медиастинальной плевры. Наконец, совершенно обязательно пришить желудок к отверстию, оставляемому для него в ушиваемом разрезе диафрагмы. Напомню, что в самом начале операции, как только была вскрыта плевральная полость, n. phrenicus, всегда отчетливо видимый при переходе с перикарда на верхний купол диафрагмы, анестезируется инъекцией новокаина и раздавливается торзионным зажимом. Это создает неподвижность левой половины диафрагмы не только на время вмешательства, но и в течение нескольких месяцев после операции; таким образом, желудочная культя, вшитая в отверстие неподвижной диафрагмы, получает надежную опору и тем дополнительно исключается возможность натяжения в швах анастомоза. |
![Иллюстрация к книге — Этюды желудочной хирургии [i_121.jpg] Иллюстрация к книге — Этюды желудочной хирургии [i_121.jpg]](img/book_covers/076/76360/i_121.jpg)
![Иллюстрация к книге — Этюды желудочной хирургии [i_122.jpg] Иллюстрация к книге — Этюды желудочной хирургии [i_122.jpg]](img/book_covers/076/76360/i_122.jpg)
![Иллюстрация к книге — Этюды желудочной хирургии [i_123.jpg] Иллюстрация к книге — Этюды желудочной хирургии [i_123.jpg]](img/book_covers/076/76360/i_123.jpg)
![Иллюстрация к книге — Этюды желудочной хирургии [i_124.jpg] Иллюстрация к книге — Этюды желудочной хирургии [i_124.jpg]](img/book_covers/076/76360/i_124.jpg)
![Иллюстрация к книге — Этюды желудочной хирургии [i_125.jpg] Иллюстрация к книге — Этюды желудочной хирургии [i_125.jpg]](img/book_covers/076/76360/i_125.jpg)
![Иллюстрация к книге — Этюды желудочной хирургии [i_126.jpg] Иллюстрация к книге — Этюды желудочной хирургии [i_126.jpg]](img/book_covers/076/76360/i_126.jpg)
![Иллюстрация к книге — Этюды желудочной хирургии [i_127.jpg] Иллюстрация к книге — Этюды желудочной хирургии [i_127.jpg]](img/book_covers/076/76360/i_127.jpg)
![Иллюстрация к книге — Этюды желудочной хирургии [i_128.jpg] Иллюстрация к книге — Этюды желудочной хирургии [i_128.jpg]](img/book_covers/076/76360/i_128.jpg)