Книга Восхождение человечества, страница 64 – Джейкоб Броновский

Авторы: А Б В Г Д Е Ж З И Й К Л М Н О П Р С Т У Ф Х Ч Ш Ы Э Ю Я
Книги: А Б В Г Д Е Ж З И Й К Л М Н О П Р С Т У Ф Х Ц Ч Ш Щ Ы Э Ю Я
Бесплатная онлайн библиотека LoveRead.ec

Онлайн книга «Восхождение человечества»

📃 Cтраница 64

Я думаю, что монахи это знали. Думаю, им не нравилось, чем Мендель занимался. Думаю, епископу, возражавшему против селекции гороха, это не нравилось. Церковники вообще в штыки воспринимали интерес монаха к новой биологии, и в частности к Дарвину, труд которого очень вдохновлял Менделя. Конечно, революционно настроенные чешские коллеги, многих из которых он приютил в монастыре, обожали его до конца жизни. Когда в 1884 году Мендель умер в возрасте 62 лет, на его похоронах играл на органе Леош Яначек, великий чешский композитор. Однако монахи избрали нового аббата, который поспешил сжечь все бумаги Менделя, хранившиеся в монастыре.

В результате об открытии Менделя забыли почти на тридцать лет, пока в начале XX века несколько ученых независимо друг от друга не совершили его заново. Так и получилось, что имя и открытие Менделя принадлежат вопреки исторической точности нынешнему столетию, когда генетика на равных вошла в систему естественных наук.

Итак, начнем с самого начала. Жизнь на Земле продолжается свыше трех миллиардов лет. Две трети этого времени организмы размножались путем деления клеток. Потомство мало отличалось от родительских организмов, новые формы появлялись лишь в редких случаях — в результате мутаций. По этой причине эволюция шла очень медленно. Первыми половым путем начали размножаться, по всей видимости, зеленые водоросли. Это произошло около миллиарда лет назад. Половое размножение началось с растений, потом к ним присоединились животные. С тех пор оно стало нормой и для флоры, и для фауны, и мы определяем два вида как разные, если их особи не могут скрещиваться между собой.

Разделение на два пола — залог вариативности и движущая сила эволюции. Ускорение эволюции привело к существованию потрясающего разнообразия видов — их форм, окраски и поведения. Еще одна функция, которая возложена на оба пола, — формировать индивидуальные различия внутри видов. Все это стало возможно благодаря появлению двух полов. Действительно, распространение полового поведения в биологическом мире само по себе служит лучшим доказательством того, что виды путем селекции адаптируются к меняющимся условиям внешней среды. В половом размножении не было бы необходимости, если бы особи одного вида могли иным путем наследовать изменения, приобретенные в ходе развития. Ламарк в конце XVIII века предлагал такую наивную модель наследования, но если бы она существовала, то скорее основывалась бы на делении клеток.

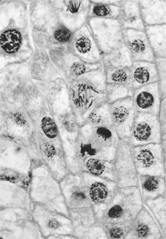
Два — волшебное число. Вот почему выбор сексуального партнера и ухаживания важны для самых разных представителей фауны. Вспомните, как эффектно павлин привлекает внимание самки. При этом половое поведение животного идеально приспособлено к его среде обитания. Если бы рыба атерина-грунион могла обойтись без естественного отбора, ей бы не пришлось танцевать на калифорнийском пляже в лунном свете. Секс — сам по себе часть естественного отбора, он выявляет наиболее приспособленных и здоровых особей. Олени-самцы дерутся насмерть не ради драки, а только чтобы отстоять право на самку. Множественность формы, цвета и поведения у людей и у животных обусловлена сочетанием генов, как правильно определил Мендель. По сути, гены растянуты вдоль хромосом, которые становятся видимыми только в процессе деления клетки.

Иллюстрация к книге — Восхождение человечества [i_045.jpg]

Гены растянуты вдоль хромосом, которые становятся видимыми в процессе деления клетки.

Большие хромосомы клеток луковой шелухи.


Однако основной вопрос генетики заключается не в том, где гены расположены. Важно то, как они действуют. Каждый ген представляет собой набор нуклеиновых кислот. Там все и происходит.

Каким образом признаки передаются от одного поколения к другому, было открыто в 1953 году. Действие начало разворачиваться осенью 1951 года, когда двадцатилетний Джеймс Уотсон и тридцатипятилетний Фрэнсис Крик объединили свои усилия в Кембридже, чтобы расшифровать структуру дезоксирибонуклеиновой кислоты, которую чаще для краткости именуют ДНК. ДНК представляет собой нуклеиновую кислоту, то есть кислоту в ядре клетки, и в предыдущее десятилетие уже было установлено, что нуклеиновые кислоты несут химическую информацию о наследовании от поколения к поколению. Исследователей в Кембридже и в лабораториях Калифорнии занимали два вопроса: каков химический состав? какова архитектура?

Каков химический состав? То есть каковы составные части ДНК, которые можно перетасовать и получить различные формы? Это было известно довольно хорошо. ДНК состоит из сахаров и фосфатов (без них никак, из соображений структуры) и четырех азотистых оснований. Два из них — это тимин и цитозин, они выглядят как правильные шестиугольники, образованные атомами углерода, азота, кислорода и водорода. Два других — гуанин и аденин — образованы соединенными вместе шести- и пятиугольниками. Мы представляем эти основания в виде многогранников, потому что нам важно увидеть общую форму за отдельными атомами.

Какова архитектура? То есть какова структура оснований ДНК, которая дает ей способность нести разнообразную генетическую информацию? Здание не груда камней, а молекула ДНК не нагромождение оснований. Она представляет собой длинную, но довольно ригидную цепочку — что-то типа органического кристалла — и имеет винтовую (спиралевидную) форму. Может ли ДНК содержать две, три или четыре спирали? Мнения ученых разделились: одни утверждали, что ДНК состоит из двух цепочек, другие настаивали на трех. В конце 1952 года великий гений структурной химии Лайнус Полинг, работавший в Калифорнии, предложил модель ДНК, состоящую из трех спиралей. Сахара и фосфаты образуют несущую конструкцию, а основания торчат во всех направлениях. Статья Полинга попала в Кембридж в феврале 1953 года. Крику и Уотсону сразу стало очевидно, что в ней что-то не так.

Возможно, Джим Уотсон хотел упростить модель или сыграла роль его несговорчивость, но он решил, что спиралей должно быть две. После визита в Лондон:

Я вернулся в колледж, перелез через задние ворота и решил построить модель ДНК с двумя цепочками. Фрэнсису пришлось согласиться. Конечно, он был физик, но знал, что значимые биологические объекты обычно существуют парами.

Причем они создавали структуру, которая имела бы внешний остов: нечто вроде винтовой лестницы, которую сахара и фосфаты удерживают как перила. Они много экспериментировали, чтобы понять, как основания образуют ступеньки в этой модели. И затем, после одной особенно грубой ошибки, все вдруг стало очевидным:

…я поднял глаза, увидел, что это не Фрэнсис, и снова начал раскладывать основания так и эдак. И вдруг я заметил, что пара аденин — тимин, соединенная двумя водородными связями, имеет точно такую же форму, как и пара гуанин — цитозин, тоже соединенная по меньшей мере двумя водородными связями. [13]

Конечно: на каждой ступени лестницы должны быть малое основание и большое основание, но не любое большое основание. Тимин должен идти в паре с аденином, а если у вас цитозин, то он дополняется гуанином. Основания соединяются в пары и определяют друг друга.

Вход
Поиск по сайту
Ищем:
Календарь