Книга Удивительная генетика, страница 38 – Вадим Левитин

Авторы: А Б В Г Д Е Ж З И Й К Л М Н О П Р С Т У Ф Х Ч Ш Ы Э Ю Я
Книги: А Б В Г Д Е Ж З И Й К Л М Н О П Р С Т У Ф Х Ц Ч Ш Щ Ы Э Ю Я
Бесплатная онлайн библиотека LoveRead.ec

Онлайн книга «Удивительная генетика»

📃 Cтраница 38

Впрочем, у авторов красивой гипотезы впереди много работы. Для начала неплохо бы разобраться с некоторыми из ныне живущих, но очень древних организмов, которые умеют восстанавливаться из мельчайших фрагментов. Например, обыкновенную пресноводную гидру (примитивное животное из группы кишечнополостных) можно потереть на терке, и она легко вырастет вновь, чуть ли не из отдельной клетки. Точно так же обстоит дело и с губками. Кстати, расшифровка генома одной из губок выявила участки ДНК, отвечающие за рудиментарную клеточную кооперацию и за регуляцию роста. Неполадки в работе этих генов у высших организмов как раз и вызывают бесконтрольное размножение опухолевых клеток.

Одним словом, какая бы версия развития рака ни восторжествовала, бесспорно одно: наследственная предрасположенность играет здесь немалую роль.

И похоже, что окончательно победить этот недуг можно только путем генного модифицирования.

Некоторые психические болезни (шизофрения, в частности) тоже имеют наследственную природу – сегодня уже выявлены десятки генов, мутации в которых повышают риск развития тяжелого заболевания.

Однако не все так безнадежно и неопределенно. На сегодняшний день известно много болезней, тип наследования которых хорошо изучен. Вот, скажем, гемофилия – врожденный дефект свертывания крови, опасный недуг, которым страдал царевич Алексей, сын Николая II. В развитии этой болезни ключевую роль играют специфические белки – так называемые факторы свертываемости, и если в двух генах, их кодирующих, произошла мутация, нормальных белков в организме просто нет.

Оба гена располагаются в X-хромосоме, так что это наследование, сцепленное с полом. Поскольку у женщин две X-хромосомы, присутствие мутантной версии гена гемофилии в одной хромосоме компенсируется нормальным геном в другой. Поэтому женщины гемофилией практически не болеют, так как вероятность того, что в обеих хромосомах окажется «порченый» ген, исчезающе мала. А вот мужчинам скомпенсировать дефектный ген нечем – в Y-хромосоме его просто-напросто нет. Поэтому гемофилия – сугубо мужская болезнь. Кроме царевича Алексея этим недугом страдали испанские принцы и родные братья прусского принца Сигизмунда. От гемофилии умер брат английского короля Эдуарда VII. Одним словом, «королевская» болезнь в чистом виде – едва ли не все европейские дворы могли «похвастаться» собственными гемофиликами.

Причина между тем проста. Династические традиции (весьма и весьма жесткие) обязывали несчастных принцев жениться только на принцессах сопредельных дворов. А поскольку принцесс на свете не так много, то все царствующие фамилии Европы находились в кровном родстве. Судя по всему, носительницей гена гемофилии была английская королева Виктория, просидевшая на троне без малого 70 лет – с 1837 года по 1901-й. А так как никто из ее предков и родни по боковым линиям гемофилией не болел, резонно предположить, что генная мутация в X-хромосоме произошла у одного из ее родителей или у нее самой на ранней стадии эмбрионального развития.

У Виктории было девять детей. От гемофилии в возрасте 31 года умер один из ее сыновей – Леопольд, брат Эдуарда VII, о котором мы упомянули чуть выше. С принца Альберта – мужа королевы – подозрения снимаются, ибо он был здоров, а передача гена гемофилии от отца к сыну невозможна. Эта хворь наследуется от дяди к племяннику, что говорит о рецессивной мутации в X-хромосоме. От британской королевы-долгожительницы ген гемофилии унаследовали две ее дочери, поэтому многие их сыновья оказались больны. Алиса Гессенская, одна из дочерей Виктории, была носительницей опасного гена и матерью Александры Федоровны – жены последнего российского императора Николая II. Царевич Алексей унаследовал ген гемофилии именно от нее.

Между прочим, гемофилия – заболевание, известное с древнейших времен. Сообщения о ней в Талмуде относятся к VI веку до н. э. Уже тогда предписывалось воздерживаться от обрезания мальчиков, у старших братьев которых после этой процедуры наблюдалось сильное кровотечение. Сыновей сестры той женщины, чей сын терял много крови, тоже не обрезали. А вот если у того же отца были сыновья, рожденные от другой женщины, то на них запрет не распространялся. Совершенно очевидно, что тип наследования гемофилии был в общих чертах ясен задолго до рождества Христова. Так что поведение европейских королей (и российского царя, в частности) следует квалифицировать как преступную халатность или глупый аристократический гонор.

В своей книжке «Почему я похож на папу» Н. В. Лучник приводит еще более впечатляющий пример стойкости наследственных признаков в ряду поколений. Полководец английской армии Джон Тальбот, павший на поле брани в 1453 году, на излете Столетней войны, был с почестями похоронен в фамильном склепе Шрюберийского собора (король пожаловал ему незадолго до этого титул герцога Шрюберийского). А в 1914 году затеяли реставрацию собора, причем ремонтные работы возглавлял прямой потомок Тальбота, тринадцатый герцог Шрюберийский. У него была синфалангия – срастание первой и второй костной фаланги на пальцах руки, врожденный дефект, унаследованный от отца. Каково же было его удивление, когда он увидел на руке полуистлевших останков далекого предка в точности такой же изъян – сросшиеся фаланги пальцев. Родовой признак благополучно пережил 14 поколений.

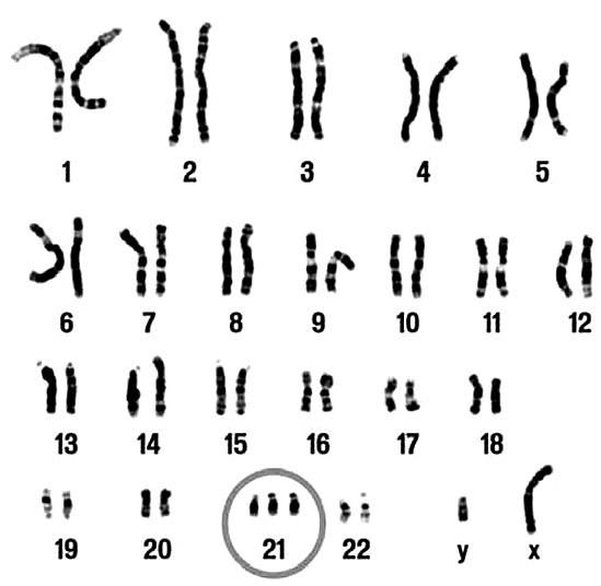
Современная медицина насчитывает чуть более 5000 наследственных заболеваний. Лучше всего изучены хромосомные аномалии, когда меняется число хромосом или в них самих обнаруживаются нарушения – выпадение одного участка (делеция), его поворот на 180 градусов (инверсия) или его перемещение в другую хромосому (транслокация).

Например, трисомия по 21-й паре хромосом (то есть к 21-й паре присоединяется маленький «довесок» в виде дополнительной хромосомы) ведет к развитию синдрома Дауна. Такие дети сразу обращают на себя внимание малым ростом, короткопалостью, своеобразной «дальневосточной» раскосостью, монгольской складкой века (эпикантусом) и вообще монголоидной уплощенностью черт лица. Кроме того, у них отмечаются пониженный тонус мышц, недостаточность желез внутренней секреции и выраженная умственная отсталость.

Иллюстрация к книге — Удивительная генетика [i_075.jpg]

Трисомия по 21-й паре хромосом


А трисомия по 13-й паре приводит к рождению детей с резким недоразвитием головного мозга и тяжелейшими пороками сердца, которые умирают в младенческом возрасте. Лишняя половая хромосома вызывает синдром Клайнфельтера, проявляющийся задержкой полового развития, умственной отсталостью и затрудненной речью. Чаще всего у больных с этим синдромом обнаруживают классический набор – XXY, но экзотические наборы XXYY, XXXY и даже XXXXY дают ту же самую клиническую картину.

Если диагностика хромосомных аномалий особых трудностей сегодня не представляет, то с точковыми мутациями, затрагивающими отдельные гены, дело обстоит значительно хуже. Кроме того, многие болезни, имеющие наследственную природу, обусловлены «неправильной» работой нескольких десятков генов (некоторые психические болезни, например шизофрения). Тем не менее, уровень развития современных биотехнологий позволяет хотя бы в принципе нащупать терапевтические подходы к лечению врожденных недугов, а порой даже получить весьма неплохие результаты.

Вход
Поиск по сайту
Ищем:
Календарь