Книга Как забыть все забывать. 15 простых привычек, чтобы не искать ключи по всей квартире, страница 20 – Такаси Цукияма

Авторы: А Б В Г Д Е Ж З И Й К Л М Н О П Р С Т У Ф Х Ч Ш Ы Э Ю Я
Книги: А Б В Г Д Е Ж З И Й К Л М Н О П Р С Т У Ф Х Ц Ч Ш Щ Ы Э Ю Я
Бесплатная онлайн библиотека LoveRead.ec

Онлайн книга «Как забыть все забывать. 15 простых привычек, чтобы не искать ключи по всей квартире»

📃 Cтраница 20

Знание таких закономерностей позволяет предположить, какие именно проблемы испытывает пациент. Получив результаты МРТ, я отправляю пациента на нейропсихологическое тестирование (исследование сохранности отдельных функций мозга), потом провожу с ним беседу и слушаю, как он говорит, и лишь после этого выдаю свои рекомендации.

Но поймите меня правильно: если какая-то область мозга истощена, это еще не означает снижение функции, за которую эта область отвечает. Нужно обязательно учитывать индивидуальные особенности мозга. Когда речь идет о мозге, чаще всего трудно окончательно установить, что является причиной проблем пациента.

Но обследование помогает понять, например, почему пациент постоянно совершает одни и те же промахи.

Нет ли у вас проблем с сосудами мозга?

Обследование сосудов мозга с помощью МРА помогает понять, какие функции ослаблены и какие почти не задействованы, если с помощью МРТ этого выяснить не удалось. В участки, которые часто используются, должно поступать много кислорода и глюкозы, а для этого нужны развитые сосуды. А в почти бездействующие зоны нет необходимости доставлять кислород и глюкозу, поэтому сосуды там слабее. Так можно выяснить, что у пациента получается плохо или что он не привык делать.

Однако и в этом случае нельзя утверждать, что сосуды ослабли, потому что какие-либо функции мозга не использовались. Возможно, сначала по какой-то причине ухудшилось состояние сосудов, а уже из-за этого снизилась активность функций, за которые отвечает данная зона.

Например, если в одном из участков мозга возникает дефект под названием лимфатическая мальформация, то поступление крови туда затрудняется. В некоторых случаях при этом ухудшается память и появляются проблемы с плавностью речи. В такой ситуации будет сложно добиться изменений к лучшему, сколько упражнений ни делай. Придется признать наличие физического дефекта и восполнять недостатки функционирования мозга. Например, чаще записывать информацию.

В случае стеноза (сужения) сосудов мозга нужно одновременно проводить лечение и тренировать сниженные функции, иначе будет невозможно устранить корень проблемы. Это еще один способ применения информации от МРА.

Иллюстрация к книге — Как забыть все забывать. 15 простых привычек, чтобы не искать ключи по всей квартире [i_003.jpg]

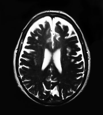
МРТ-снимок мозга девушки, которая жалуется на периодические головокружения. Кроме того, она не может сразу подобрать нужные слова. В правой лобной доле (если смотреть на фото так, как есть, – то слева) видна лимфатическая мальформация.

Иллюстрация к книге — Как забыть все забывать. 15 простых привычек, чтобы не искать ключи по всей квартире [i_004.jpg]

Изображение того же участка с лимфатической мальформацией, полученное с помощью МРА.

Результаты обследования можно сопоставить с данными позитронно-эмиссионной томографии (ПЭТ)

Подробную информацию о поврежденных функциях мозга также можно получить с помощью ПЭТ. Этот метод привлекает к себе все большее внимание как способ обнаружения повреждений сосудов головного мозга, очагов болезни Альцгеймера и эпилепсии, но на сегодняшний день ПЭТ не слишком развит. Я пока не использую его в своей работе.

Во время ПЭТ-исследования в организм вводится индикатор, после чего наблюдают его распад в той зоне мозга, где есть проблемы с током крови, и в зоне с низкой активностью клеток. Если пройти МРТ вместе с ПЭТ, то сравнение результатов даст гораздо более четкую картину состояния мозга.

Я уже много лет использую результаты МРТ и обследований сосудов мозга пациентов для назначения правильной методики развития и использования мозга. Конечно, такое возможно не во всякой больнице, но такой анализ очень полезен, потому что позволяет на ранней стадии выявлять различные заболевания. Обратитесь в ближайшую больницу, где их проводят.


Запомните главный вывод из этого раздела:

♦ С помощью сканирования мозга можно не только выявить заболевания, но и распознать нарушенные функции.

Привычка 13
Улучшаем способность мозга к самоконтролю
Ведем «тетрадь неудач». Внимательно относимся к замечаниям в свой адрес
Неудачи – это предостережения, которые посылает нам мозг

Лучший способ понять, какие проблемы есть у вашего мозга, – проанализировать свои промахи и ошибки. Если проследить за действиями, в которых вы все время терпите неудачи, то можно понять, какие возможности мозга используются неправильно и какие его функции ослаблены.

Чтобы можно было все проанализировать и выбрать метод для улучшения состояния, прежде всего надо распознать свои промахи. Психологически не очень приятно фиксировать только неудачи, поэтому можно вести обычный дневник, но в конце каждого дня дополнять его комментариями о совершенных ошибках. Если не записать, то все забудется. Часто думают, что они запоминаются лучше всего, однако это только в особо тяжелых случаях. А мелкие неудачи обычно забываются. Но именно они могут подсказать, как предотвратить крупные неудачи.

Например, пассажиры электричек постоянно забывают зонтики. Но ведь перед тем, как выйти из поезда, разве кто-то решает: «В прошлый раз я оставил здесь зонтик, в этот раз буду внимательнее»? Нет, никто не вспоминает об этом ровно до тех пор, пока опять не произойдет то же самое. А спустя пару дней человек вовсе перестает думать о своей оплошности. И снова теряет свой зонтик. Поскольку это происходит бессознательно, изменить ничего нельзя, пока не сделать весь процесс сознательным. Иначе будет повторяться одна и та же ошибка.

Люди постоянно забывают зонтик не только из-за невнимательности. Они не задумываются, что надо поставить его в корзину [6], а делают это автоматически. И потом не помнят, что оставили зонтик. Поэтому-то их часто теряют.

Подобные ошибки часто совершают люди, которые постоянно попадают в такую ситуацию. Например, они могут положить куда-то нужные бумаги, а потом ничего об этом не помнить. Или человек забывает взять с собой что-то нужное, только если не положит это на видное место.

Часто люди, которые не привыкли постоянно держать свои вещи в порядке, не могут разобраться и в собственных мыслях. Если им поручают сложную работу, они начинают путаться, причем им постоянно не хватает времени. Чем больше они его тратят на выполнение работы, тем больше пренебрегают наведением порядка, начинают забывать зонтики и все остальное.

Может показаться, что такие оплошности случаются не в определенное время, а безо всякой системы. Но если выписать их в дневник, то наверняка обнаружится закономерность.

Вход
Поиск по сайту
Ищем:
Календарь