Книга Судьба педераста или непридуманные истории из жизни…, страница 3 – Зяма Исламбеков

Авторы: А Б В Г Д Е Ж З И Й К Л М Н О П Р С Т У Ф Х Ч Ш Ы Э Ю Я
Книги: А Б В Г Д Е Ж З И Й К Л М Н О П Р С Т У Ф Х Ц Ч Ш Щ Ы Э Ю Я
Бесплатная онлайн библиотека LoveRead.ec

Онлайн книга «Судьба педераста или непридуманные истории из жизни…»

📃 Cтраница 3

Так и произошло. Все части тела опять заработали нормально, а ДЫРКА В ЗАДНИЦЕ принялась всеми командовать. Основным ее занятием, как у всякого начальника, достойного этого названия, стало разгребание «дерьма».

Мораль: совершенно не обязательно быть умным, чтобы сделаться начальником. Шансов стать им у самой обычной ДЫРКИ В ЗАДНИЦЕ гораздо больше, чем у кого бы то ни было другого [3].

Зуб мудрости

Не трясите мордой лица!

Из выступления Президента Грузии перед военными, г. Зугдиди, апрель 2008 г. მიხეილ ნიკოლოზის ძე სააკაშვილი (дословный перевод с грузинского языка, ИНТЕРНЕТ)

Был обычный декабрьский, морозный день. Солнышко светило ярко, ветер дул сильно, а зуб болел так, что, как говорится, хочешь – не хочешь, а идти к стоматологу было надо и притом незамедлительно.

Если мне кто-нибудь когда-нибудь скажет, что он не знаком с зубной болью, то я встану на колени и начну молиться на него, как на святого… Таких людей сегодня просто нет! При этом в мире есть разные уникумы, но и у них иногда болят зубы. Человек, как правило, рождается беззубым. Затем у него вырастают молочные зубы, которые он не очень-то бережёт по причине своего малолетства и беспечности старших, а вот взрослыми зубками каждый начинает дорожить, особенно после того, как посетит стоматолога.

Иногда встречаются счастливчики со вставными зубами и даже челюстями. У них все зубы – искусственные. Они не болят, но мороки с ними не меньше, а может быть даже и больше, чем с естественными. Их надо правильно обслуживать: промывать, снимать, хранить и одевать… Они то и дело ломаются, их всё время надо ремонтировать… А ещё вставные зубы бывают источниками всяких зудов, беспокойств и заморочек.

Иллюстрация к книге — Судьба педераста или непридуманные истории из жизни… [i_001.jpg]

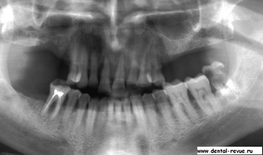
Диагностическая ортопантомограмма перед лечением


Бывает, вставные челюсти натирают так, что их сутками, неделями не вынимают из стакана с водой, куда обладатели протезов кладут «механизмы жрачки» по рекомендации специалистов…

Сейчас читателю тяжело в это поверить, но это действительно так! Уж я-то знаю…

Иллюстрация к книге — Судьба педераста или непридуманные истории из жизни… [i_002.jpg]

* * *

Любовь вокруг да рядом бродит, порой такое наворотит… С ней пожирая «лань» очами, два друга вдруг… столкнутся лбами!

Арсен Асов

Николай Михайлович сидел в вестибюле частной стоматологической клиники с красивым названием Вероника и безропотно ожидал своей очереди. Как ни странно, кроме персонала никого больше не было, вместе с тем, приём всё задерживался и задерживался. Профессор сидел в большом кожаном кресле и пытался через очки увидеть в журнале то, что могло бы ему в дальнейшем пригодиться. Однако, кроме рекламы и красивых фотографий молоденьких женщин он ничего интересного для себя не находил. По телевизору транслировали сериал Папины дочки, который он не смотрел, а переключить ящик на другую программу он самостоятельно не мог, как говорится, был специалистом не по этой части. Да и просить кого-либо он не хотел. Сначала прошло 10 минут, затем ещё 10, затем…

Стоматолог, который должен был «заняться» Николаем Михайловичем, трапезничал. Перекусончик был простым и скучным, отчего настроение оставалось подавленным, и думать о чём-то хорошем и радостном не получалось. Опять красная икра на тонюсеньком бутербродике, где толщина масла конкурировала с толщиной булки… Опять ветчина с бужениной, облагороженные большим азербайджанским красным помидором… И как всегда несколько ломтиков сыра Свале.

– Ну, фсё, – грустно, полушепотом промямлила Ирина Михайловна – женщина, приближавшаяся к бальзаковскому возрасту. Слегка полноватая, с пышной грудью и практически без какой-либо причёски и косметики – она чуть потянулась, чуть слышно рыгнула и встала из-за стола, за которым оформлялись карточки больных и где обычно чаёвничали.

– Бутем дальфше ,аботать, – цикая и покашливая, молвила Ирина Михайловна.

– Ирина Михайловна, там Вас пациент ждёт. Он уже минут 15 как приехал, – сказала Наталья Константиновна, ассистент стоматолога, дожевывавшая бутерброд с докторской колбасой.

– Ладно, зофите его. Я пока ,уки помою.

Не в обиду стоматологам будет сказано, но большая часть окулистов носит очки, ортопеды – хромают и прихрамывают так, что сразу же вспоминаются тяжёлые автомобильные аварии, падения с высоты и т. д., а у «зубников» – отвратительная дикция. Хорошо, если бы они только шепелявили, но многие из них ещё и картавят. Жуть какая-то, но выбора у народа нет. Никому не нравятся милиционеры! Однако все бегут в милицию, когда их обкрадут или кого-либо замочат. Все ругают систему образования, но другой системы у нас нет! Везде всё плохо, но не у нас!

Цена услуги не говорит о качестве лечения, а квалификация врачей-стоматологов рассчитана на снятие боли и отжим денег с клиента. Кстати, это – не только на постсоветском пространстве, но и за кордоном, везде, где лечат больных. Почему-то в медицину идут либо по стопам родителей, либо какие-то ущербные, с открытыми или чуть скрытыми от внешних взоров дефектами?! Пожалуй, половые контакты среди медиков случаются также часто, как и у сотрудников правоохранительных органов. Честно говоря, выбор не такой удачный или богатый. Может быть поэтому браки создаются очень часто, но ещё чаще они распадаются. Социологические исследования показывают, что больше всего матерей-одиночек бывает именно в органах внутренних дел и здравоохранении. Так, а к чему это я всё рассказываю? А, вспомнил! Николай Михайлович был из бывших, а Ирина Михайловна была медиком. И вовсе не важно, что оба имели семьи, что он был пациентом, а она – стоматологом. Оба они были людьми активными, и у каждого был интерес к противоположному полу.

Да простит меня читатель, но не могу не привести известный анекдот про милиционера, увидевшего в речке фекалии, которые поприветствовали его, т. е. мента, как коллегу, коллегу из внутренних органов, проплывая мимо по речке…

Ну, а если серьёзно, то мир ещё не знает способа комфортного существования без врачей, учителей и даже милиции (полиции), пусть и не очень хороших, но зато своих! Критиковать всегда просто. Критиковать может каждый, а вот правильно отреагировать на критику (например, доброжелательную) – дано не всем.

Николай Михайлович был мужичком невысокого росточка, с хорошей фигуркой и большой-большой лысиной, украшенной седоватым редким чубчиком, постоянно падавшим на слегка рахитичный, морщинистый лоб. Голубые глаза на фоне густых бровей и чуть горбатого носа придавали лицу некоторую привлекательность. Внешность была скорее приятной, нежели отталкивающей. Манеры в целом были хорошими, голос не визжал, дикция была правильной. При этом с первых минут собеседник Николая Михайловича улавливал не только командные нотки, но и некоторую дотошность, которую часто люди поначалу воспринимают за высокие организаторские и командные качества, сочетающиеся с элементами порядочности и честности. Большая часть руководителей среднего и высшего звена – мужички маленького росточка и больших амбиций. Маленькая попка, поджарая фигурка Николая Михайловича – свидетельствовали о правильном образе жизни, где не было места ни табаку, ни алкоголю, где диван и чревоугодие заменялись физкультурой, а может быть даже и спортом. В свои 66 лет Николай Михайлович был ещё активен, полон сил, энергии и творческих планов. Вот уже 7-ой год, как он был на «гражданке» после 42 лет успешной службы в правоохранительных органах. Время шло, а он так и не смог полностью перестроить свой армейский быт, который строился на таких простых и в тоже время ёмких понятиях, как надо, нет, так точно, есть,… Николай Михайлович так и не смог привыкнуть к утрате навсегда административного генеральского ресурса. Ушли погоны, связи, возможности. Пришли пенсия и старость. Болезни стали накатывать одна за другой на физически крепкий смолоду организм. Сначала простуда, затем желудок, сердце, печень. А теперь вот и зубы.

Вход
Поиск по сайту
Ищем:
Календарь