Книга Тайны эволюции, страница 40 – Игорь Прокопенко

Авторы: А Б В Г Д Е Ж З И Й К Л М Н О П Р С Т У Ф Х Ч Ш Ы Э Ю Я
Книги: А Б В Г Д Е Ж З И Й К Л М Н О П Р С Т У Ф Х Ц Ч Ш Щ Ы Э Ю Я
Бесплатная онлайн библиотека LoveRead.ec

Онлайн книга «Тайны эволюции»

📃 Cтраница 40

Но пол ребенка зависит не только от природы и докторов, но и от еще одного фактора. Недавно группа авторитетных психологов опубликовала невероятные результаты своих исследований, согласно которым появление на свет мальчика или девочки зависит от чувств, с которыми потенциальные мама и папа укладываются в постель.

Как утверждают американские психологи, связь отца с ребенком менее сильна, чем с матерью, и в основном это проявляется в момент зачатия. Однако этот момент многое определяет, поскольку любовь мужа к жене закладывает в будущем ребенке правильное понимание мира и любви между мужчиной и женщиной. Казалось бы, какая взаимосвязь между отношениями мужчины и женщины и полом их будущего ребенка, если принято считать, что физический процесс непосредственного зачатия происходит независимо от чувств? Ученые провели статистические исследования и выяснился интересный факт: в счастливом браке чаще рождаются мальчики, и среди особенно желанных и долгожданных детей тоже, как правило, больше представителей сильной половины человечества. Иными словами, именно мальчики являются в первую очередь цветами любви.

Как говорит главный врач центра репродукции человека Михаил Корякин, «если рассматривать брак как логическое завершение любви двоих людей, то получается, что любовь способствует рождению мальчиков». Впрочем, почти всегда мальчики рождаются чаще девочек в соотношении 105 на 100, и получается, что миром правит любовь. В народе, кстати, бытует мнение, что перед войнами рождается больше мальчиков, чтобы восполнить потери мужского населения. Однако современные исследования народную теорию опровергают, свидетельствуя о том, что в горячих точках и районах тяжелых бедствий мужское население как раз, наоборот, пополняется гораздо медленнее, чем женское. Но почему так происходит? Ответ оказался прост – во всем виновата молодость мам. По словам ученых, мальчиков рождается больше как раз после войны, когда начинают рожать более молодые женщины. Во время же войны у многих женщин наступает аменорея, и они вообще не могут забеременеть, особенно те, кто как-то участвует в боевых действиях.

Итак, если верить статистике, мальчиков больше рождается там, где царит любовь, и там, где молодая мама. Возраст папы при этом значения, как правило, не имеет. С девочками все немного по-другому – статистика утверждает, что они чаще всего рождаются в семьях, где чувства уже перегорели, а на смену им пришла стабильность. Конечно, статистика – наука серьезная, но на все вопросы ответа дать не может. Поэтому ученые задались вопросом, а все ли обстоит так на самом деле? И выяснилось, что любовь и возраст мамы, конечно, имеют значение, но биологический фактор все-таки важнее.

Несмотря на то что сильной половиной человечества считаются мужчины, будущие женщины опровергают эту истину еще на этапе формирования эмбриона. Женский эмбрион демонстрирует просто невероятную выносливость. Исследования показывают, что чем хуже эмоциональные условия, в которых находится беременная женщина, тем больше рождается девочек. Более того, согласно той же статистике, во времена войн, эпидемий, политических и экономических кризисов женщины рожают больше именно девочек. Но как это объяснить? Во-первых, именно девочкам природа доверяет хранить человеческий генофонд. Во-вторых, некоторые исследователи высказывают на этот счет шокирующую гипотезу – природа готовится к исчезновению мужчин.

Доктор биологических наук Алексей Диашев утверждает, что мужская сила в наши дни начинает истощаться: «Невероятно, но юноши уже в 18–20 лет начинают обращаться к сексопатологам по поводу проблем половой функции!» Впрочем, уязвимость мужского пола многих ученых совсем не удивляет. Существует даже теория о том, что мужчины были созданы в процессе эволюции, а может быть, и самим Творцом для того, чтобы стать «главным экспериментальным материалом» для будущих поколений человеческой цивилизации. Но, если принять во внимание тот факт, что эволюция человека еще не закончилась, и неизвестно какими наши потомки будут через миллионы лет, то все логично. Получается, что правы дарвинисты: женщина на Земле – хранительница человеческого генофонда, а мужчина – экспериментальный разведчик.

Иллюстрация к книге — Тайны эволюции [i_030.jpg]

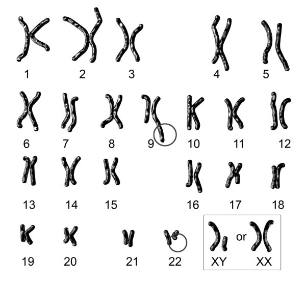
Геном – совокупность генов, содержащихся в гаплоидном (одинарном) наборе хромосом данного организма.


По мнению психологов, мужчина несет в этот мир ген изменчивости XY-хромосом – он должен прийти и изменить этот мир, привнести что-то новое, что-то открыть, что-то завоевать. Женщина же с ХХ-хромосомами, напротив, как бы архивирует то, что мужчина ей передает. Поэтому женщины гораздо более консервативны – они лучше сохраняют то, что создает и изменяет мужчина.

Получается, что именно на мужчинах природа обкатывает новые гены, и только после того, как естественный отбор признает ген-новинку полезным, спустя несколько поколений этот участок ДНК окажется в женском геноме. Женщина, в свою очередь, уже сохранит и передаст его будущим поколениям. Если бы завтра человечеству понадобились какие-то новые органы, то сначала они бы появились у мужчины, и только спустя многие годы у женщины.

Именно поэтому некоторые исследователи выдвигают шокирующий тезис – если когда-нибудь женщина как биологический вид достигнет пика своего развития, то весьма возможно, что природа сочтет, что основная задача мужчин уже выполнена. В этот момент может сработать тот самый механизм выключения гена-охранника, который делает мужчину мужчиной, и тогда сильная половина человечества за ненадобностью начнет исчезать. Более того, по оценкам ученых, уже совсем скоро женщинам для рождения ребенка мужчины вообще будут не нужны. Дело в том, что если посмотреть на процесс более технологично, то можно заметить, что в процессе зачатия используется генетический материал мужчины, который можно взять и оплодотворить большое количество женщин. И если этот генетический материал можно будет синтезировать, то мужчина как таковой может вообще не понадобиться.

Ученые сегодня вовсю разрабатывают технологии зачатия без участия мужчин – например, японцы из университета Йокогамы впервые в мире вырастили искусственные сперматозоиды, правда, пока что мышиные. Однако сперматозоиды оказались настолько успешными, что оплодотворенные ими самки произвели на свет абсолютно здоровое потомство. Стоит особо подчеркнуть, что речь идет о млекопитающих – до сих пор неполовым путем умели размножаться только растения, насекомые и некоторые рыбы. Как утверждают ученые, одним из самых перспективных способов является создание новых сперматозоидов из стволовых клеток пациента – например, из клеток костного мозга. Этот способ уже отработан в условиях лабораторной модели, и в скором времени его можно будет запустить в клиническую практику.

С одной стороны, японское открытие позволит иметь детей тем мужчинам, которые бесплодны в силу травм или болезней. С другой стороны, создание искусственных сперматозоидов позволит любой женщине заказать виртуального папу своему будущему ребенку в полном соответствии со своими фантазиями. Но зачем это нужно? Уже сегодня в мире наблюдается дефицит мужчин, а в будущем разрыв между мужчинами и женщинами будет только увеличиваться. Ученые предупреждают, что может наступить такой момент, когда для развития человеческой цивилизации мужчин будет не хватать. Тогда на помощь придут заменители: вместо живого мужчины – пробирка с бледной искусственной жидкостью. Между тем последние исследования говорят о том, что женский организм меняется и сам, заранее приспосабливаясь к возможному будущему без мужчин.

Вход
Поиск по сайту
Ищем:
Календарь