Книга Начало начал, страница 63 – Виталий Тихоплав, Татьяна Тихоплав

Авторы: А Б В Г Д Е Ж З И Й К Л М Н О П Р С Т У Ф Х Ч Ш Ы Э Ю Я
Книги: А Б В Г Д Е Ж З И Й К Л М Н О П Р С Т У Ф Х Ц Ч Ш Щ Ы Э Ю Я
Бесплатная онлайн библиотека LoveRead.ec

Онлайн книга «Начало начал»

📃 Cтраница 63

Интересные фотографии Кирлиан, подтверждающие все вышесказанное, предоставила в наше распоряжение врач-исследователь из Нью-Йорка София Бланк, которая лечит больных нетрадиционными методами и при этом контролирует состояние их биополя. Следует отметить удивительную эффективность ее методов лечения. Это, прежде всего, очистка организма (кишечник, печень и т. д.), различные виды массажа, водолечение, передача биоэнергии, использование целебной энергии трав, камней и минералов, китайских полынных сигар для прогрева биологически активных точек (БАТ), использование очистительной силы огня, молитв, заряженной воды и камней. В соавторстве с академиком Э. Гоникман ею написана интересная книга «Лечебные свойства минералов в свете эффекта Кирлиан».

Так, на рис. 13 показано «свечение» пальцев Жени, 11 лет, больного астмой, отец которого нещадно ругается матом.

Иллюстрация к книге — Начало начал [_153643.jpg]

Фактически свечения пальцев нет, зато в тонком теле ребенка имеются химеры в виде летающих кобр. На рис. 14 едва заметно свечение вокруг пальцев девушки 15 лет, не имеющей никаких жалоб, но у которой мать больна шизофренией.

Иллюстрация к книге — Начало начал [_153624.jpg]

Страшно представить, что вся эта нечисть «кормится» нашей энергией, нашим здоровьем.

Доктор технических наук, геофизик, один из сильнейших экстрасенсов, способный фотографировать объекты невидимого мира обыкновенным фотоаппаратом, Л. С. Прицкер в своей удивительной книге «Невидимая реальность» приводит множество сенсофотографий и пишет: «Существует мир невидимых, летающих над головами людей существ, обладающих противоположной „отрицательной“ энергетикой. Они не только живые, но и обладают сознанием… Внешне они похожи на птиц, рыб, кошек…» [83. С. 7, 39]

Как избавиться от этих тварей? Ученые пришли к выводу: помогают молитвы, крест и колокольный звон!

Хорошим подтверждением этому является рис. 15, на котором должно было бы отразиться свечение пальцев Лени (11 лет), проводящего много времени у экрана телевизора.

Иллюстрация к книге — Начало начал [_153598.jpg]

На рис. 15а свечение вокруг пальцев практически отсутствует, а на рис. 15б оно появилось после пяти молитв, прочитанных за него.

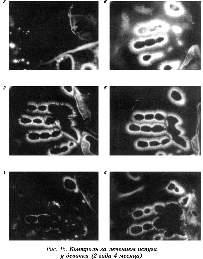
Очень интересна фотография Кирлиан, представленная на рис. 16.

Иллюстрация к книге — Начало начал [_153550.jpg]

Она иллюстрирует ход лечения девочки (2 года 4 месяца) от испуга, которое провела в биоинформационном Центре «Бион» врач-исследователь София Бланк (Нью-Йорк). Лечение проводилось в течение шести сеансов молитвами, чисткой биополя горящей свечой и минералами, точечным массажем.

А рис. 17 иллюстрирует, как с помощью молитв происходит «изгнание беса» из тонкого тела женщины 42 лет.

Иллюстрация к книге — Начало начал [_153573.jpg]

На рис. 17а свечения пальцев вообще нет, зато видны химеры. На рис. 17б в позиции 1 видно, что после прочтения 12 молитв эта нечисть ярко проявила себя (ей это не понравилось). А в позиции 2 те же пальчики, но уже после лечения.

И таких примеров множество. Действительно, очень помогают молитвы. И еще вера! То есть атрибуты, которыми пользуется религия.

Л. С. Прицкер пишет: «Вера – это линза, фокусирующая биоэнергию сознания и эмоции людей. Собранная в фокусе этой линзы, биоэнергия обладает свечением». В своей книге «Невидимая реальность» он описывает сенсофотографию под номером 77, на которой видны три женщины; в руках двоих яркие светильники, а над головой третьей – прямоугольный яркий экран. «Когда началась послеобеденная молитва, я почувствовал, что происходит что-то необычайное: воздух как бы материализовался, электризовался, явственно ощущалось значительное и величественное событие… В этот момент я и сделал снимок. Я не видел глазами возникших в воздухе ярких светильников. На фото: три женщины – две казашки и русская (отмечено, что казашки являются православными христианками. – Примеч. авт.). Перед казашками горят яркие светильники, похожие на свечи (действительно, похожие на толстые свечи. – Примеч. авт.), а за русской, над ее головой располагается прямоугольный яркий экран. Светильники Веры – правда очень яркие!» [83. С. 56]

Итак, Тонкий Мир – реальность! И самое главное – наши Души бессмертны, они продолжают жить после физической смерти. И души ушедших никуда не уходят, они здесь, рядом с нами. Они по-прежнему любят нас и страстно хотят встреч с нами. Не только парапсихологические феномены, но и научные исследования все больше и больше убеждают нас в этом.

А закончить эту главу мы хотим прекрасным отрывком из книги Майи Бадалбейли «Голоса Вселенной», которая восемь лет находилась в контакте с Высшими Силами, получая от них поразительную информацию, прекрасно соответствующую всем тем научным фактам, о которых мы рассказывали в своих книгах!

И эти слова ей продиктованы свыше [60. С. 90].


«Смерть не есть кара Божья, а есть конец одного пути, начало другого. Смерть не есть искупление за содеянное, не есть отмщение, ибо смерть не очищает душу, повинную в чем-то. Помни об этом и не говори „за что?“, обращая свой взор к Господу…

„…И пока душа теплится во плоти твоей и согревает плоть твою, помни – Я с тобою. И в горе, и в радости, и в печали. Я рядом, и участь свою ты делишь не с миром людским, а в мыслях своих вопрошаешь и взываешь к Воле Моей“, – сказал Господь.

…Нет проклятья и наказания Божьего. Но у каждого есть путь, по которому он идет. Господь видит и знает о страданиях людских, но каждому он дал свой срок. Не плотью своей, а душой близок всякий к Господу. В мыслях и деяниях выражает каждый любовь или нелюбовь, преданность или отвращение свое к Господу. Да не отвратится душа от Господа и пути Его истинного. Ибо отвращенный от Бога отвращен от себя».

Литература

Кандыба В. М. История русской империи. СПб.: Эфко, 1997. – 512 с.

Реутский А. Демографическая трагедия // На грани невозможного. 2001. № 19. С. 12–13.

Межакадемический информационный бюллетень. СПб. 2002. № 19. 160 с.

Аксенов Г. П. Вернадский. – М.: Товарищество «Соратник», 1994. – 542 с.

Моисеев Н. Н. Расставание с простотой. М.: Аграф, 1998. – 480 с.

Моисеев Н. Н. С мыслями о будущем России. – М.: Фонд содействия развитию социальных и политических наук, 1997. – 270 с.

Моисеев Н. Н. Быть или не быть… человечеству? – М., 1999. – 288 с.

Основные положения стратегии устойчивого развития России. Федеральное собрание РФ. Государственная дума. Комиссия по проблемам устойчивого развития. – М., 2000. – 161 с.

Реклама
Вход
Поиск по сайту
Ищем:
Календарь