Книга Удивительные истории о мозге, или рекорды памяти коноплянки, страница 45 – Лоран Коэн

Авторы: А Б В Г Д Е Ж З И Й К Л М Н О П Р С Т У Ф Х Ч Ш Ы Э Ю Я
Книги: А Б В Г Д Е Ж З И Й К Л М Н О П Р С Т У Ф Х Ц Ч Ш Щ Ы Э Ю Я
Бесплатная онлайн библиотека LoveRead.ec

Онлайн книга «Удивительные истории о мозге, или рекорды памяти коноплянки»

📃 Cтраница 45

А с какими аномалиями восприятия запахов сталкиваются неврологи?

Самая частая из них это, разумеется, аносмия, то есть полная утрата восприятия запахов. Но существуют и другие, менее грубые нарушения, носящие непривычные для нас названия: дизосмия, какосмия (это так называемые обонятельные иллюзии, когда запахи кажутся искаженными), фантосмия (восприятие несуществующих запахов).

Каковы же причины потери обоняния?

Их множество. Одной из причин является естественное старение, когда способность к восприятию запахов несколько уменьшается. К восьмидесяти годам три четверти людей частично утрачивают эту способность. К тому же некоторые дегенеративные заболевания, возникающие у пожилых людей, могут также проявляться в виде утраты обоняния. Этот симптом наблюдается, например, при болезни Паркинсона. Снижение обоняния в этом случае может проявляться за несколько лет до появления классических признаков – дрожания и ригидности мышц. Болезнь Альцгеймера также сопровождается снижением обоняния, которое возникает на ранних этапах этого грозного недуга. В этом случае поражаются системы мозга, ответственные за анализ запахов.

А можно ли предположить, что причина нарушения восприятия запахов может находиться еще до их проникновения в мозг, на уровне носовых камер и обонятельных луковиц?

Разумеется. Иногда банальный насморк осложняется аносмией, и в этом случае обонятельные нейроны разрушаются до такой степени, что их иногда невозможно восстановить. Но я не имею в виду временную потерю обоняния вследствие заложенности носа, я говорю именно о полной и окончательной аносмии, к которой может привести обычный ринит, причем действенных методов лечения этого нарушения, к сожалению, не существует. Обонятельные нейроны могут повреждаться различными токсичными веществами, например табаком или медикаментами, применяемыми при химиотерапии. Говоря об обонятельных нейронах носовых полостей, я упоминал о тонких нервных ответвлениях, проникающих через отверстия решетчатой кости в череп, и поэтому травмы черепа также являются частой причиной аносмии. Если вам нанесут удар по голове, даже если вы получите травму затылочной части, ваш мозг может получить резкое сотрясение, и это движение вполне может разорвать обонятельные нервы именно в том месте, где они проходят через решетчатую кость.

Оказывается, что, даже находясь в такой плотной структуре, как череп, обонятельные нервы, тем не менее, не защищены от травм и опасностей.

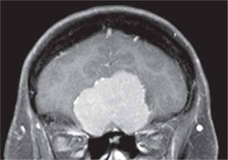
И это на самом деле так. Все повреждения передней части черепа могут нарушить их функционирование. На рисунке 36 можно видеть, как большая менингиома, доброкачественная опухоль, растущая из ткани, окружающей мозг, захватывает его именно в том месте, где обонятельные нервы проникают в череп. Естественно, что аносмия является обычным симптомом при заболеваниях подобного рода.

А существуют ли случаи врожденной аносмии? Существуют ли люди, которые с момента их рождения никогда не ощущали никаких запахов?

Иллюстрация к книге — Удивительные истории о мозге, или рекорды памяти коноплянки [i_035.jpg]

Рис. 36. Большая светло-серая масса, расположенная над носовыми полостями, это менингиома; в результате ее разрастания нарушается функционирование обонятельных нервов в том месте, где они проникают в череп


Это довольное редкое явление, но такие случаи встречаются. В частности, в рамках генетических аномалий. Например, при синдроме Каллманна врожденная аносмия сочетается с задержкой полового развития в пубертатном возрасте. Это объясняется тем, что обонятельные нейроны имеют ту же природу происхождения, что и нейроны, контролирующие выработку половых гормонов. И в случае синдрома Каллманна мутации выводят из строя отдельные гены, которые регулируют функционирование этих двух групп нейронов.

И в заключение отвечу читателям на вопрос, насколько опасна утрата обоняния.

Само по себе это не опасное расстройство, за исключением тех случаев, когда оно лишает возможности почувствовать, например, утечку газа. Но это совсем другая и довольно грустная история. Кроме того, при аносмии невозможно в полной мере наслаждаться вкусом пищи и ощущать во всей полноте окружающих людей со всеми вытекающими из этого последствиями, которые, естественно, могут оказать влияние как на социальные взаимоотношения, так и на личную жизнь.

Реклама
Вход
Поиск по сайту
Ищем:
Календарь