Книга 100 великих тайн сознания, страница 11 – Анатолий Бернацкий

Авторы: А Б В Г Д Е Ж З И Й К Л М Н О П Р С Т У Ф Х Ч Ш Ы Э Ю Я
Книги: А Б В Г Д Е Ж З И Й К Л М Н О П Р С Т У Ф Х Ц Ч Ш Щ Ы Э Ю Я
Бесплатная онлайн библиотека LoveRead.ec

Онлайн книга «100 великих тайн сознания»

📃 Cтраница 11

Вероятно, сеть структур, которая отвечает за самосознание, появилась в те далекие времена, когда древние люди жили небольшими группами, вместе добывали еду и делились ею между собой. А подобное поведение требовало сотрудничества и доверия друг другу. А значит, наличия сформированного самосознания, то есть собственного «Я».

«Я» НАД ПРАВЫМ ГЛАЗОМ

В продолжение разговора о самосознании человека не лишним будет и упоминание об открытии, которое в 2000 году сделали американские неврологи. В правой лобной доле мозга над правым глазом человека они обнаружили участок коры, который, по предположениям ученых, контролирует ощущение собственного «Я».

Эта зона была обнаружена в ходе обследования пациентов, страдавших редким генетическим заболеванием – временным лобным слабоумием. Одним из симптомов этой болезни являются резко выраженные отклонения в поведении таких людей.

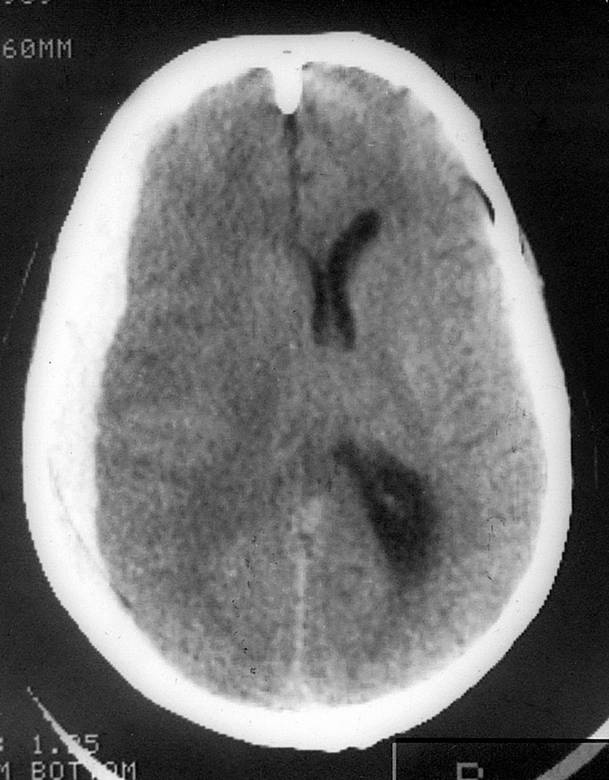
Иллюстрация к книге — 100 великих тайн сознания [i_012.jpg]

Патологические изменения в правой лобной доле мозга человека


Проведенное магнитно-резонансное сканирование мозга позволило установить, что у всех больных наблюдались серьезные дегенеративные изменения правой лобной доли.

С другой стороны, у пациентов с нормальными поведенческими стереотипами поражения нервной ткани в соответствующей зоне неврологи не обнаружили.

Все эти данные могут свидетельствовать о том, что значительная часть нашего самосознания подконтрольна определенной области, которая находится в правой лобной доле мозга. И любые патологические изменения этой зоны самым непосредственным образом сказываются на характере человеческой личности.

Так, один из пациентов клиники до болезни придерживался очень строгих пуританских взглядов на личную жизнь и поведение в обществе. Однако когда в результате болезни правая височная доля его мозга подверглась патологическим изменениям, личность мужчины тоже претерпела значительную метаморфозу: он перестал верить в Бога и с юношеской страстью стал приударять за женщинами.

В другом случае жертвой болезни стала женщина с явно аристократическими претензиями: она носила изысканную одежду, пользовалась дорогими духами и любила французскую кухню. Но болезнь настолько изменила вкусы и пристрастия дамы, что она с удовольствием стала употреблять гамбургеры и без всякого стеснения носила спортивные костюмы.

Выходит, что вся наша жизнь с ее радостями и горестями, обидами и прощениями – это не более, как изменения в архитектуре мозга, нейронных связях, биохимических реакциях в сером веществе.

Это значит, что достаточно незначительного хирургического вмешательства в анатомию мозга – и в мире появляется совершенно новая личность со своими взглядами, убеждениями, привычками и пристрастиями.

СВЯТАЯ К МУЗЫКЕ ЛЮБОВЬ

Музыка – это, как известно, звуки, особым образом организованные во времени. В некотором приближении ими могут быть стрекотание цикад и кузнечиков, пение птиц и шорох листвы, шум прибоя и ровный звон капели…

И эти звуки сопровождали человека на всем протяжении его исторического развития.

И, естественно, они оказывали на человеческую психику, а значит, и на его мозг определенное воздействие. Например, грозный рокот прибоя – устрашающее, а веселое пение птиц, наоборот, – убаюкивающее и успокаивающее.

В своей индивидуальной жизни человек также постоянно находится в окружении звуков. Еще в самом начале своего пути, находясь в чреве матери, он уже слышит стук ее сердца, ритмичные вздохи. Потом, когда человек появляется на свет, звуки его буквально захлестывают. Причем среди них много ритмичных и мелодичных, или, иначе говоря, музыкальных.

И если сначала это были бессознательные реакции на окружающие звуки, то со временем человек попытался некоторые из них воспроизвести самостоятельно. Возможно, однажды он сложил трубочкой губы и выдохнул струйку воздуха. И раздался звук, похожий на пение лесной пичуги.

Прошли еще тысячелетия, и человек изобрел музыкальные инструменты. Ученые утверждают, что уже более 30 тысяч лет назад наши предки умели играть на флейте и арфе, изготовленных из подручных материалов – камня и костей.

Иллюстрация к книге — 100 великих тайн сознания [i_013.jpg]

Французский композитор Морис Равель в конце жизни разучился сочинять музыку


А потом были самые разные мелодии: песенные и танцевальные, гимны и марши, эстрада и тяжелый рок. И все эти формы музыкального искусства все глубже и глубже вклинивались в человеческую жизнь.

Таким образом, взаимосвязь музыки и человека имеет долгую историю. И, возможно, по этой причине его мозг определенным образом и отреагировал на эту звуковую среду, обретя врожденное чувство музыки.

Действительно, к источнику приятных звуков (консонансов) младенцы поворачиваются, а от неприятных (диссонансов) – отворачиваются.

Безусловно, исследователей давно интересовали те отделы мозга, которые несут ответственность за особое отношение человека к музыке.

И хотя в окончательном виде они не выявлены до сих пор, тем не менее в последние годы в этой проблеме появились существенные сдвиги: то есть ученые «нащупали» области мозга, в которых происходит переработка музыкальной информации. И, к их вящему удивлению, оказалось, что в головном мозге человека специализированного музыкального центра нет вообще. А в ее обработке задействованы многочисленные зоны, в том числе и те, которые параллельно участвуют и в других познавательных процессах. При этом их размеры коррелируют с индивидуальным опытом и музыкальной подготовкой человека.

Особенно любопытные сведения ученые получили из наблюдений за знаменитыми композиторами, у которых в результате травмы или инсульта произошли патологические изменения в коре головного мозга.

Так, в 1933 году у знаменитого французского композитора Мориса Равеля появились симптомы заболевания, которое сопровождается атрофией отдельных участков мозговой ткани. И хотя у композитора память на прошлые события практически не пострадала – он, например, помнил свои старые произведения и хорошо играл гаммы, – тем не менее сочинять музыку он не мог. Так, однажды, заведя разговор о своей предполагаемой опере «Жанна д'Арк», Равель с горечью произнес: «Опера у меня в голове, я слышу ее, но никогда не напишу Все кончено. Сочинять музыку я больше не в состоянии». Спустя четыре года Равель умер после неудачной операции на мозге.

Именно этот случай и стал решающим доводом в пользу гипотезы, согласно которой в головном мозге отсутствует специализированный центр музыки.

В целом же схема восприятия мозгом музыки ученым уже более-менее известна.

Вот как, например, описал ее известный американский нейробиолог Норман Уэйнбергер в статье «В чем секрет завораживающей власти музыки?».

Вход
Поиск по сайту
Ищем:
Календарь