Книга Питание и долголетие, страница 97 – Жорес Медведев

Авторы: А Б В Г Д Е Ж З И Й К Л М Н О П Р С Т У Ф Х Ч Ш Ы Э Ю Я
Книги: А Б В Г Д Е Ж З И Й К Л М Н О П Р С Т У Ф Х Ц Ч Ш Щ Ы Э Ю Я
Бесплатная онлайн библиотека LoveRead.ec

Онлайн книга «Питание и долголетие»

📃 Cтраница 97
Иллюстрация к книге — Питание и долголетие [_153.jpg]

Остеопороз не был серьезным заболеванием ни в Древней Греции, ни в Римской империи, ни в древней Индии и Китае. Не страдали от остеопороза и народы средневековой Европы, хотя рахит у детей был достаточно распространен. Остеопороз как патология костей имеет независимую от остеомаляции историю. В серьезную проблему для здоровья людей он превратился как-то неожиданно, 50 – 60 лет назад, причем прежде всего в США. Советские медицинские учебники и медицинские энциклопедии, издававшиеся в Москве в 1960-е годы, уделяли этому заболеванию минимальное внимание и не объясняли его происхождение и причины. Главными болезнями костей для советской медицины в тот период были рахит, остеомаляция и, особенно, остеомиелит – хроническии воспалительный процесс в костях, наследие их огнестрельных повреждений во время войны. Остеомиелит еще оставался тогда основной причиной инвалидности миллионов ветеранов.

Иллюстрация к книге — Питание и долголетие [_154.jpg]

Четыре стадии остеопороза трабекулярной кости


В США и Европе об остеопорозе заговорили в первую очередь как о проблеме женского здоровья после менопаузы. Об остеопорозе у старых людей знали давно, но он не вызывал серьезной озабоченности. Старческий остеопороз протекает очень медленно, и потери костной ткани при нем в 10 – 15 раз меньше, чем при постменопаузальном остеопорозе. Удивительным было то, что остеопороз как массовое заболевание женщин (20 – 30% всех женщин после менопаузы) оказался локализованным исключительно в экономически развитых странах – США, Канаде, в Европе и в Японии. В Южно-Азиатском регионе остеопороз стал серьезной проблемой в Сингапуре, Гонконге и на Тайване, но не в континентальном Китае. Это заболевание фиксировалось в основном по статистике переломов костей. Начальные стадии остеопороза проходят незаметно и трудно диагностируются. Кости теряют не только кальций, но и коллаген и становятся пористыми и хрупкими. Они могут ломаться не только от легких ушибов, но и под тяжестью собственного тела человека.

Гормональная теория происхождения остеопороза сразу стала приоритетной. Высказывались также предположения, что дополнительной причиной могло стать длительное применение женщинами синтетических эстрогенов в качестве оральных противозачаточных средств. Внедрение этих гормональных препаратов в практику началось в 1956 г., главным образом в США и Европе. После менопаузы женщины, принимавшие такие препараты, испытывали двойной гормональный шок: прекращался синтез собственных эстрогенов, и одновременно прекращалось использование противозачаточных синтетических эстрогенов. К тому времени специалисты уже высказывали подозрение, что рост частоты рака груди у женщин до величины риска в 10% мог быть связан с синтетическими эстрогенами. Но не было серьезных попыток установить прямую зависимость. Для клинических испытаний такого масштаба требуются значительные финансовые затраты и длительные сроки. Фармацевтическая индустрия пошла по другому пути. Она увеличила производство эстрогенов и других синтетических аналогов женских половых гормонов, чтобы проводить массовое «гормонозамещение» у женщин в начале менопаузы и после нее. В США почти половина всех женщин после 45 лет стали практиковать гормонозамещение. Однако такая гормональная терапия не отразилась на статистике переломов костей. А онкологическая статистика явно ухудшилась. В настоящее время достаточно очевидно, что остеопороз возник как следствие экономического процветания и изменения образа жизни людей. Резкое уменьшение физической нагрузки привело к атрофическим процессам в костях (остеопороз) и в мышцах (саркопения). Главным фактором риска по остеопорозу стала всеобщая автомобилизация.

Остеопороз – факторы риска

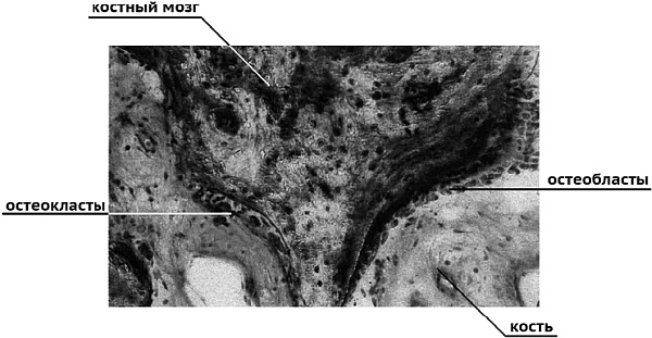
Остеопороз (от греч. osteon – кость и poros – поры) приобрел в западных странах эпидемические масштабы. Среди хронических болезней пожилого возраста в США он занимал в последние годы третье место, уступая лидерство сердечно-сосудистым и онкологическим заболеваниям. В Европе остеопороз пока еще не обогнал и диабет. По клинической картине остеопороз представляет собой медленную потерю костной ткани из-за диспропорций ее так называемого ремоделирования. Все внутренние скелетные кости имеют слой надкостницы, пронизанный капиллярами. В надкостнице на поверхности костей активны два типа клеток: крупные, многоядерные, и подвижные остекласты и мелкие, одноядерные, остеобласты. На каждый остеокласт приходится около ста остеобластов. Остеокласты локально разрушают костную ткань на поверхности кости, создавая мельчайшие углубления – лакуны. Мигрируя на соседний участок кости, остеобласты заполняют лакуны и начинают восстановительный процесс. Схема процесса показана на рисунке.

Остеопороз возникает из-за дисбаланса в объеме активности остеокластов и остеобластов. Из-за потери гормональной стимуляции остеобластов восстановительные процессы замедляются до такого уровня, что в некоторых случаях может теряться почти 3% костной ткани в год. Этот процесс в большей степени локализован в губчатых, а не в монолитных костях. Кости в течение 5 – 10 лет теряют прочность настолько, что возникает риск переломов. Чаще всего переломы происходят в тех костях, которые испытывают максимальные нагрузки и напряжения при нормальной активности человека. Это кости таза и бедер, коленные суставы, берцовая кость, позвонки, запястье и плечевой сустав. Особенно тяжелым по последствиям считается перелом шейки бедра, ведущий к инвалидности и высокой (до 20%) смертности.

Иллюстрация к книге — Питание и долголетие [_155.jpg]

В статистике переломов костей, связанных с остеопорозом, на каждые десять переломов у женщин приходится лишь один перелом у мужчин. В США и Канаде давно обратили внимание на то, что переломы костей характерны в основном для белых женщин европейского происхождения. Для чернокожих женщин постменопаузальный остеопороз большая редкость. Предполагается, что это связано с большей плотностью костей у людей черной расы. Остеопороз редко встречается у американских аборигенов. Среди белого населения Америки остеопороз чаще встречается у потомков эмигрантов из Северной Европы, чем из Южной. В чем их отличие, кроме темперамента, было неясно. Явным фактором риска оставалась менопауза у женщин. К факторам риска были отнесены также конституция скелета, курение, избыточное потребление алкоголя и даже кофе. Малоподвижный образ жизни также увеличивал риск остеопороза. Хронические болезни, требующие постельного режима, сопровождались и остеопорозом. Предполагалось, что остеопороз может возникать при дефиците кальция и витамина D.

Иллюстрация к книге — Питание и долголетие [_156.jpg]

Срез костной ткани человека показывает остеокласты возле области костной резорбции и остеобласты, образующие новый слой кости [15].


Теории этнической природы остеопороза

ВОЗ собирает статистику заболеваний, как острых, так и хронических, в различных странах. О распространенности остеопороза судят обычно по частоте переломов разного типа. Переломы, как правило, требуют госпитализации или, по крайней мере, обращения в медицинское учреждение и поэтому легче поддаются учету. Для диагностики остеопороза на ранних стадиях необходимо очень сложное оборудование, которое есть не во всех странах.

Реклама
Вход
Поиск по сайту
Ищем:
Календарь