Книга Мозг и душа. Как нервная деятельность формирует наш внутренний мир, страница 3 – Кристофер Фрит

Авторы: А Б В Г Д Е Ж З И Й К Л М Н О П Р С Т У Ф Х Ч Ш Ы Э Ю Я
Книги: А Б В Г Д Е Ж З И Й К Л М Н О П Р С Т У Ф Х Ц Ч Ш Щ Ы Э Ю Я
Бесплатная онлайн библиотека LoveRead.ec

Онлайн книга «Мозг и душа. Как нервная деятельность формирует наш внутренний мир»

📃 Cтраница 3

"Nullius in verba" [9] – вот девиз Лондонского королевского общества: "Не верь тому, что тебе говорят другие, как бы ни был высок их авторитет". [10] Если бы я следовал этому принципу, мне пришлось бы согласиться, что научное исследование вашего внутреннего мира для меня невозможно, потому что для этого приходится полагаться на то, что вы сообщаете мне о своем внутреннем опыте.

Некоторое время психологи изображали из себя настоящих ученых, исследуя только поведение – проводя объективные измерения таких вещей, как движения, нажимание кнопок, время реакции. [11] Но исследований поведения отнюдь не достаточно. Такие исследования оставляют без внимания всё самое интересное в нашем личном опыте. Все мы знаем, что наш внутренний мир не менее реален, чем наша жизнь в материальном мире. Безответная любовь приносит не меньше страданий, чем ожог от прикосновения к раскаленной плите. [12] Работа сознания может влиять на результаты физических действий, которые можно объективно измерить. Например, если вы будете представлять себе, что играете на фортепиано, качество вашего исполнения может улучшиться. Так почему бы мне не верить вам на слово, что вы представляли, что играете на фортепиано? Теперь мы, психологи, вернулись к изучению субъективного опыта: ощущений, воспоминаний, намерений. Но проблема никуда не делась: у психических явлений, которые мы изучаем, совершенно другой статус, чем у материальных явлений, которые изучают другие ученые. Только с ваших слов я могу узнать о том, что происходит у вас в сознании. Вы нажимаете кнопку, чтобы сообщить мне, что увидели красный свет. Вы можете рассказать мне, какого оттенка был этот красный. Но я никак не могу проникнуть в ваше сознание и сам проверить, насколько красным был тот свет, который вы увидели.

Для моей приятельницы Розалинды каждое число имеет определенное положение в пространстве, а каждый день недели окрашен в свой цвет (см. илл. 1 на цветной вставке). Но, может быть, это просто метафоры? Я никогда не испытывал ничего подобного. Почему я должен верить ей, когда она говорит, что это ее непосредственные, неконтролируемые ощущения? Ее ощущения относятся к явлениям внутреннего мира, которые я никак не могу проверить.

Поможет ли большая наука неточной науке?

Точная наука становится "большой наукой" [13] , когда начинает использовать очень дорогие измерительные приборы. Наука о мозге стала большой, когда в последней четверти XX века были разработаны томографы для сканирования мозга. Один такой томограф обычно стоит более миллиона фунтов стерлингов. Благодаря чистому везению, оказавшись в нужное время в нужном месте, я получил возможность пользоваться этими аппаратами, когда они еще только появились, в середине восьмидесятых. [14] Первые такие аппараты были основаны на давно внедренном принципе рентгеноскопии. Рентгеновский аппарат может показать кости внутри вашего тела, потому что кости намного тверже (плотнее), чем кожа и мягкие ткани. Подобные различия плотности наблюдаются и в мозгу. Окружающий мозг череп обладает очень высокой плотностью, а плотность тканей самого мозга намного меньше. В глубине мозга находятся полости (желудочки), заполненные жидкостью, они обладают самой низкой плотностью. Прорыв в этой области произошел, когда была разработана технология аксиальной компьютерной томографии (АКТ) и был сконструирован АКТ-сканер. Этот аппарат использует рентгеновские лучи для измерения плотности, а затем решает огромное число уравнений (для чего требуется мощный компьютер) и строит трехмерное изображение мозга (или любой другой части тела), отражая различия в плотности. Такой прибор впервые позволил увидеть внутреннюю структуру мозга живого человека – добровольного участника эксперимента.

Через несколько лет был разработан другой метод, еще лучше прежнего, – магнитно-резонансная томография (МРТ). В МРТ используются не рентгеновские лучи, а радиоволны и очень сильное магнитное поле. [15] В отличие от рентгеноскопии эта процедура совершенно не опасна для здоровья. МРТ-сканер намного чувствительнее к различиям плотности, чем АКТ-сканер. На изображениях мозга живого человека, получаемых с его помощью, различимы разные типы тканей. Качества таких изображений не ниже, чем качество фотографий мозга, после смерти извлеченного из черепа, законсервированного химикатами и нарезанного тонкими слоями.

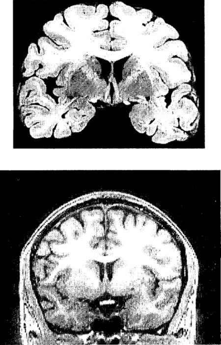
Иллюстрация к книге — Мозг и душа. Как нервная деятельность формирует наш внутренний мир [i_002.jpg]

Рис. п.2. Пример полученного с помощью МРТ структурного изображения мозга и срез мозга, извлеченного из трупа.

Вверху – фотография одного из срезов мозга, извлеченного из черепа после смерти и нарезанного тонкими слоями. Внизу – изображение одного из слоев мозга живого человека, полученное методом магнитно-резонансной томографии (МРТ).

Структурная томография мозга сыграла огромную роль в развитии медицины. Мозговые травмы, полученные в результате дорожно-транспортных происшествий, инсультов или роста опухолей, могут самым серьезным образом сказываться на поведении. Они могут приводить к тяжелым формам потери памяти или серьезным изменениям личности. До появления компьютерных томографов единственный способ узнать, где именно произошла травма, состоял в том, чтобы снять крышку черепа и посмотреть. Обычно это делали уже после смерти, но иногда и у живого пациента – когда требовалась нейрохирургическая операция. Теперь томографы позволяют точно определить местоположение травмы. Всё, что требуется от пациента, это минут 15 неподвижно пролежать внутри томографа.

Вход
Поиск по сайту
Ищем:
Календарь