Книга Флипноз. Искусство мгновенного убеждения, страница 76 – Кевин Даттон

Авторы: А Б В Г Д Е Ж З И Й К Л М Н О П Р С Т У Ф Х Ч Ш Ы Э Ю Я
Книги: А Б В Г Д Е Ж З И Й К Л М Н О П Р С Т У Ф Х Ц Ч Ш Щ Ы Э Ю Я
Бесплатная онлайн библиотека LoveRead.ec

Онлайн книга «Флипноз. Искусство мгновенного убеждения»

📃 Cтраница 76

(Например, истинное утверждение на тему математики могло бы быть (2 + 6) + 8 = 16; ложное утверждение на тему этики могло бы быть «Дети не должны иметь никаких прав, пока они не могут голосовать»; и не поддающееся проверке утверждение на тему религии могло бы быть «Иисус в Новом Завете произнес 2467 слов».)

Пока участники оценивали утверждения, Харрис с помощью фМРТ исследовал, что творится в их мозгах. Его интересовало, какие участки мозга отвечали за каждую из различных оценок. За «верю», «не верю» и «не уверен», которые следовало дать на эти три вида утверждений.

Результаты оказались любопытными. Данные о скорости реакции показали, что утверждения воспринимались как правдивые быстрее, чем отвергались как ложные. Это подтверждало первоначальную догадку Спинозы, утверждавшего, что сначала мы верим, а потом не верим.

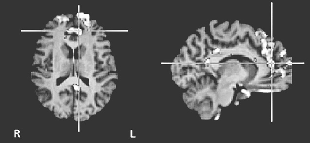
Но это было еще не все. Харрис обнаружил, что оценка «верю» сопровождалась усилением активности в вентромедиальной префронтальной коре (рис. 8.1a ниже) – участке мозга, отвечающем за совмещение факта и эмоции и изменение поведения в ответ на изменение обстоятельств (другими словами, уравновешивание «за» и «против»). «Не верю», в свою очередь, активизировала переднюю островковую долю мозга (рис. 8.1b) – участвующую в том числе и в кодировании негативных реакций, таких как боль и отвращение, и в оценке приятности различных вкусов и ароматов.

«Не уверен», как и предполагалось, активизировала переднюю поясную кору – своего рода нейронный сигнальный свет, вспыхивающий при внезапном появлении на горизонте чего-то нового и загадочного (рис. 8.1c (i) и (ii)).

Иллюстрация к книге — Флипноз. Искусство мгновенного убеждения [i_052.jpg]

Рис. 8.1a. Усиление активности в вентромедиальной префронтальной коре в ответ на правдивые утверждения («верю»), относящиеся к семи разным тематическим категориям (математика, география, автобиография, религия, этика, семантика и события) (по материалам Харриса и др., 2008)

Иллюстрация к книге — Флипноз. Искусство мгновенного убеждения [i_053.jpg]

Рис. 8.1b. Осевое изображение (слева) показывает повышенную активность в нижней лобной извилине (в основном слева), в средней лобной извилине справа и в области островка с обеих сторон при оценке ложных утверждений по семи разным тематическим категориям. Изображение, напоминающее стрелку (справа), показывает повышение активности в верхней теменной доле, поясной коре и верхней лобной извилине (по материалам Харриса и др., 2008)


Могут ли это быть области, определяющие границы влияния? Действительно ли очень трудно изменить представления, которые вызывают эмоции, приводящие к повышению активности в вентромедиальной префронтальной коре? А те, которые соответствуют повышению активности в островке (участок, напоминающий на рисунке стрелку), особенно трудно усвоить? Гипотеза, конечно, кажется вероятной – хотя, как сказал Марк Коэн, один из соавторов Харриса, когда я поделился ею с ним, одно дело – смотреть на нейронные корреляты в лаборатории и совсем другое, скажем, в зале заседаний. Где эмоции бушуют. И где логические маркеры «правда», «ложь» и «не знаю» значительно менее «очищены».

Иллюстрация к книге — Флипноз. Искусство мгновенного убеждения [i_054.jpg]
Иллюстрация к книге — Флипноз. Искусство мгновенного убеждения [i_055.jpg]

Рис. 8.1c (i – вверху) и 8.1c (ii – внизу). Повышение активности во фронтальной части поясной извилины и в верхней лобной извилине при оценке утверждений, не поддающихся проверке («не уверен»). Рис. 8.1c (i) показывает разницу в активности по сравнению с картиной восприятия суждений, вызывающих доверие. Рис. 8.1c (ii) показывает разницу с картиной восприятия суждений, вызывающих недоверие (по материалам Харриса и др., 2008)


«Убеждение нужно рассматривать в контексте влияния социума, – говорит он. – И социальные взаимодействия запускают в мозгу множество других процессов, не учитываемых в нашем исследовании… Но с уверенностью можно сказать, что вера, недоверие и неуверенность действительно связаны с характерными нервными импульсами, возникающими при одобрении, неприятии и нерешительности».

Результаты исследования можно также соотнести со SPICE. Манера убеждения, связанная с одновременной активизацией всех трех горячих точек влияния (неадекватность – передняя поясная кора; простота, осознанная личная выгода, уверенность и сочувствие – вентромедиальная префронтальная кора; комбинация всех пяти элементов скорее «выключает», чем «включает» переднюю островковую долю), несомненно, окажется эффективной. В некоторых обстоятельствах – даже всесильной. Вспомним, например, убедительность младенца: определенная высота его крика активизирует переднюю поясную кору, а характерные особенности лица, kindchenschema (схема ребенка), – сеть нейронов, расположенных в префронтальной коре.

Сведенный с ума

Расположившись на берегу Суон-Ривер на 30-градусной жаре, потягивая пиво, мы обсуждаем результаты Харриса с Колином Маклеодом, профессором клинической психологии из Университета Западной Австралии в Перте.

Маклеод – спец по тревожным расстройствам и слишком хорошо знает, как вера и эмоция могут впиваться друг в друга зубами. Он собирается представить меня Тане – 27-летней маникюрше с боязнью автомобильного ремня безопасности, которая работает в местном салоне красоты. Или, точнее, работала, пока не была вынуждена выставить свой автомобиль на продажу.

«Довольно часто мы беспокоимся по поводу беспокойства, – объясняет Маклеод. – Мы соединяем то, о чем мы беспокоимся, с беспокойством, что то, о чем мы беспокоимся, вызовет беспокойство. Тогда возникает это “вторичное” беспокойство, и картина запутывается. Вторичное беспокойство постепенно становится фокусом проблемы – первичным беспокойством, если вы понимаете, что я имею в виду…

Поэтому, как это ни парадоксально, мы собираемся заставить Таню сосредоточиться не на ее беспокойстве по поводу ремня безопасности, потому что на самом деле при этом мы без ее ведома отвлекаем ее ум от реального источника беспокойства – беспокойства о беспокойстве, – и переводим его на “мнимое” беспокойство: первоначальный повод, который теперь эмоционально бездействует. В основном это – скрытое отвлечение. Таня будет фактически концентрироваться не на самой фобии, а на сопутствующем беспокойстве, ассоциируемом с зарождением фобии».

Другими словами, застаньте мозг врасплох – и возможно все что угодно.

Когда Таня приходит, мы все вместе отправляемся на автостоянку. По пути Маклеод болтает с ней, стараясь привести в непринужденное состояние.

«Вначале я должен сделать вот что, – спокойно объясняет он, – я должен увидеть симптомы сам, чтобы понять, каковы будут мои дальнейшие действия. Это понятно?»

Реклама
Вход
Поиск по сайту
Ищем:
Календарь