Книга Мужские хитрости и женские уловки. Лучший справочник по распознаванию лжи! Книга-тренажер, страница 16 – Алекс Нарбут

Авторы: А Б В Г Д Е Ж З И Й К Л М Н О П Р С Т У Ф Х Ч Ш Ы Э Ю Я
Книги: А Б В Г Д Е Ж З И Й К Л М Н О П Р С Т У Ф Х Ц Ч Ш Щ Ы Э Ю Я
Бесплатная онлайн библиотека LoveRead.ec

Онлайн книга «Мужские хитрости и женские уловки. Лучший справочник по распознаванию лжи! Книга-тренажер»

📃 Cтраница 16

Отличить знак эмоции от выражения реальной эмоции довольно просто: для знака требуется минимум мимических усилий. Действует лишь та мышца, которая «отвечает» за данную эмоцию. Все остальные мышцы находятся в спокойном состоянии. Это хорошо видно по фотографиям голливудских звезд. Их обворожительные улыбки становятся пустыми и искусственными, стоит только взглянуть на верхнюю часть лица, которая остается статичной.

Проблемы в распознавании знаков эмоций возникают из-за того, что достаточно долго и пристально мы рассматриваем только лица близких людей (и то не всегда). Общаясь с людьми посторонними, мы обходимся нескольким короткими взглядами, которых хватает лишь на то, чтобы уловить знак эмоции.

Выражение настоящих чувств всегда кратковременно, и множество важных сигналов просто ускользают от нашего внимания.

Чтобы научиться различать знаки эмоций от реального проявления чувств, нужно приучить себя к внимательному всматриванию в лицо собеседника.

Задание

Разговаривая с кем-либо, постепенно увеличивайте время «смотрения» на его лицо. Начинайте с 3–5 секунд (для этого можно считать про себя «раз, два, три…»), затем доведите это время до 30 секунд. Старайтесь замечать, сколько раз за это время изменилось выражение лица собеседника. Если выражение остается без изменения в течение нескольких секунд, это – знак эмоции. Упражнение выполняется в течение целого дня. В конце дня запишите свои наблюдения и ощущения.

Микровыражения эмоций

Как видите, вы довольно быстро научились различать состояния комфорта и дискомфорта и поняли, что такое знаки эмоций. Настала пора приступить к самому сложному этапу – распознаванию микромимики, которая не контролируется сознанием.

Микровыражения лица говорят об истинных эмоциях, владеющих человеком в данный момент. Микровыражения редко длятся дольше одной секунды; но при правильной настройке взгляда и доли секунды более чем достаточно. Главное – последовательно и точно выполняйте все задания, не перегружайте себя. Один день посвящайте наблюдению только одной эмоции.

Микровыражения радости

Мы недаром начали с микровыражений радости. Из всех эмоций радость – самая легкая для распознавания. Мы знаем, как выглядит радость. Человек, испытывающий радость, виден сразу. У него открытое приветливое лицо, сияющие глаза, улыбающийся рот. Всем своим видом он излучает позитив.

Однако радость вполне может быть скрываемой эмоцией; к примеру, когда лгун видит, что его наживку заглотили и ложь удалась. Очень важно научиться различать мимику скрытой радости – а о ней вам могут сообщить лишь микровыражения, появляющиеся на лице на долю секунды.

Иллюстрация к книге — Мужские хитрости и женские уловки. Лучший справочник по распознаванию лжи! Книга-тренажер [_111.jpg]

На эмоцию радости легче всего реагируют губы. Малейшее чувство – и уголки сомкнутых губ оттягиваются назад и слегка приподнимаются. Даже при тщательно скрываемой радости губы все равно совершают это микродвижение. Заметить его очень легко.

Лицо при этом может оставаться абсолютно нейтральным – но это не значит, что такое микровыражение всего лишь знак эмоции. Знаки эмоций, как мы знаем, длятся несколько секунд, в то время как длительность микровыражений – доли секунды. Игроки в покер тщательно тренируют свое лицо, чтобы при общем нейтральном выражении губы не сделали микродвижение, выдающее их радость по поводу крупной комбинации.

Иллюстрация к книге — Мужские хитрости и женские уловки. Лучший справочник по распознаванию лжи! Книга-тренажер [_112.jpg]

Если человек не имеет намерения скрывать радость, то, как правило, губы размыкаются, челюсти и зубы при этом могут быть сведены, уголки губ оттянуты назад и приподняты.

Когда человек хочет показать, что испытывает большую радость, он улыбается во весь рот, обнажая зубы – либо верхние, либо и верхние, и нижние одновременно:

Иллюстрация к книге — Мужские хитрости и женские уловки. Лучший справочник по распознаванию лжи! Книга-тренажер [_114.jpg]
Иллюстрация к книге — Мужские хитрости и женские уловки. Лучший справочник по распознаванию лжи! Книга-тренажер [_113.jpg]

Однако узнать, насколько искренна эта улыбка, мы можем лишь по микровыражениям других частей лица. Искренняя улыбка всегда сопровождается микродвижениями области щек, глаз и бровей.

Иллюстрация к книге — Мужские хитрости и женские уловки. Лучший справочник по распознаванию лжи! Книга-тренажер [_078_4.jpg]

Часто человек не хочет показывать, что ему нравится то, что мы говорим, потому что сам еще не осознал этого. В этом случае на лице может появиться тень улыбки – едва заметное микродвижение, выражающееся в очень легком подъеме губ.

Иллюстрация к книге — Мужские хитрости и женские уловки. Лучший справочник по распознаванию лжи! Книга-тренажер [_116.jpg]

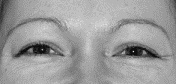
Когда радость или симпатия осознанны, губы могут оставаться неподвижными, а глаза начинают улыбаться. Такая улыбка глазами почти всегда остается незамеченной для посторонних, потому что предназначена лишь тому, на кого смотрит человек.

Иллюстрация к книге — Мужские хитрости и женские уловки. Лучший справочник по распознаванию лжи! Книга-тренажер [_115.jpg]

Если взгляд человека направлен не на вас, улыбку глазами можно распознать по общему «сияющему» выражению лица. Посмотрите, какое выражение нейтральному лицу придает улыбка глазами.

Иллюстрация к книге — Мужские хитрости и женские уловки. Лучший справочник по распознаванию лжи! Книга-тренажер [_117.jpg]

Радость часто смешивается с другими чувствами, которые не всегда могут быть позитивными.

Вход
Поиск по сайту
Ищем:
Календарь