Онлайн книга «Остеохондроз для профессионального пациента»
![]() На рентгенограмме № 4 изображен межпозвонковый сегмент в далеко зашедшей стадии дегенерации. Спондилёз второй степени в сочетании со снижением межпозвонкового промежутка говорит о том, что в прошлом на данном уровне имелась протрузия межпозвонкового диска, которая была стабилизирована развившейся стадией фибротизации поражённого диска (что хорошо видно на МРТ № 37). Бывает, что спондилёз может травмировать эпидуральную клетчатку (при движении позвоночника), в результате чего в ней возникают асептические воспалительные процессы. Эпидуральная клетчатка со временем уплотняется, склерозируется, в ней появляются фиброзные тяжи, которые могут деформировать спинномозговой корешок, вызвать его натяжение или сдавление. А при значительном увеличении (разрастании) спондилёза может развиться стеноз спинномозгового канала второго типа (первый тип стеноза — врождённый, второй — приобретённый), что довольно часто бывает при срыве адаптивных механизмов во время развития дегенеративно-дистрофических процессов в межпозвонковых дисках. Рентгенограмма № 5 ![]() МРТ № 38 ![]() На рентгенограмме № 5 шейного отдела позвоночника — выраженный спондилёз третьей степени и остеофитоз, что хорошо видно на МРТ № 38 сегментов шейного отдела позвоночника. В целом можно сказать, несмотря на то что спондилёз и остеофиты являются следствием определённых заболеваний позвоночника и в некоторой степени способствуют биомеханическим нарушениям в других сегментах позвоночника, всё же они небесполезны. Во многих случаях это своеобразная «скорая помощь» организма в ответ на невозможность осуществить полноценную регенерацию повреждённого позвоночно-двигательного сегмента. Данные костные наросты хоть и ограничивают движение сегмента, но тем самым предупреждают и замедляют его дальнейшее разрушение. Так что если при обследовании позвоночника у вас обнаружат спондилёз или остеофиты, то не стоит бояться этого диагноза. На самом деле всё не так страшно, как кажется на первый взгляд. Рентгенограмма № 6 ![]() МРТ № 39
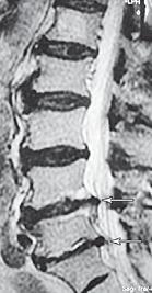
На рентгенограмме № 6 поясничного отдела позвоночника выраженный остеофитоз, спондилёз третьей степени, что также хорошо видно на МРТ № 39 поясничного отдела позвоночника МРТ № 40 ![]() МРТ № 41
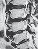
На МРТ № 40 наблюдается типичный пример развития стеноза второго типа в шейном отделе позвоночника. И аналогичная картина, только, в поясничном отделе позвоночника, отображена на МРТ № 41 Стеноз Стеноз позвоночного канала встречается довольно часто, во всяком случае в моей практике. В данной книге я уже упоминал о том, что стеноз спинномозгового канала (то есть его сужение) может вызывать серьёзные осложнения при течении таких заболеваний, как например, грыжи межпозвонкового диска. Для лучшего понимания происходящих процессов давайте в общих чертах рассмотрим, что такое стеноз и чем он опасен. Итак, стеноз — это врождённое или приобретённое аномальное сужение просвета какого-либо полого органа (пищевода, кишечника, кровеносного сосуда и др.) или отверстия между полостями (например, при пороках сердца). Стеноз позвоночного канала характеризуется его патологическим сужением. Исходя из анатомо-физиологических особенностей позвоночного канала, который является вместилищем и в тоже время охранным футляром для спинного мозга, даже незначительное его сужение может оказаться фатальным для спинного мозга. К примеру, при развитии абсолютного стеноза позвоночника спинной мозг может быть компримирован (сжат) вместе с артериями. В свою очередь это неизбежно ведёт к развитию ишемии (от греч. ischo — «задерживаю, останавливаю» и haima — «кровь»; уменьшение кровоснабжения участка тела, органа или ткани вследствие ослабления или прекращения притока к нему артериальной крови) тех участков спинного мозга, где блокировано кровоснабжение сдавленными сосудами. Ещё в конце XIX века, а точнее в 1880 году, в своей работе М. Литтен отметил, что спинной мозг более чувствителен к ишемическим повреждениям и недостатку кислорода, чем другие ткани организма. А вот отечественному невропатологу, ученику В. М. Бехтерева и одному из первых нейрохирургов, Л. М. Пуссепу в 1902 году удалось в эксперименте на животных показать, что даже непродолжительная ишемия спинного мозга влечёт за собой некроз (отмирание) нервных клеток передних рогов спинного мозга. Если добавить к этому ещё и неизбежное нарушение ликвородинамики и развития (вследствие сдавления оболочек спинного мозга) эпидурита и арахноидита, то возникновение болевых, корешковых и сосудистых синдромов (в виде миелоишемии, радикулоишемии или миелорадикулоишемии) становятся вполне объяснимыми и понятными. Исходя из классификации, предложенной доктором I. Stephen, которой пользуется большинство авторов в своих работах, стеноз позвоночного канала позвоночника, как я уже упоминал, бывает двух типов. Тип первый — врождённый, или как его ещё называют идиопатический, то есть беспричинный (неизвестного, неясного происхождения). Второй тип — приобретённый, возникший вследствие дегенеративно-дистрофических процессов в позвоночнике, посттравматический или обусловленный другими причинами, которые привели к стенозированию (сужению) позвоночного канала. Например, грыжа межпозвонкового диска даже центральной локализации, имеющая размер всего 6 мм в дорсальном направлении в поясничном отделе позвоночника с сагиттальным размером спинномозгового канала в 15 мм приводит к формированию абсолютного стеноза второго типа (приобретённого) и может вызвать серьёзные осложнения. А при стенозе первого типа (врождённого, см. МРТ № 43), к примеру с сагиттальным размером спинномозгового канала в поясничном отделе 12 мм, даже трёхмиллиметровая протрузия межпозвонкового диска может привести к развитию слабости в ногах, мышечной атрофии или, как описывал данные состояния Dejerine ещё в 1911 г., «перемежающейся хромоте спинальной природы». |
![Иллюстрация к книге — Остеохондроз для профессионального пациента [i_069.jpg] Иллюстрация к книге — Остеохондроз для профессионального пациента [i_069.jpg]](img/book_covers/044/44717/i_069.jpg)
![Иллюстрация к книге — Остеохондроз для профессионального пациента [i_070.jpg] Иллюстрация к книге — Остеохондроз для профессионального пациента [i_070.jpg]](img/book_covers/044/44717/i_070.jpg)
![Иллюстрация к книге — Остеохондроз для профессионального пациента [i_071.jpg] Иллюстрация к книге — Остеохондроз для профессионального пациента [i_071.jpg]](img/book_covers/044/44717/i_071.jpg)
![Иллюстрация к книге — Остеохондроз для профессионального пациента [i_072.jpg] Иллюстрация к книге — Остеохондроз для профессионального пациента [i_072.jpg]](img/book_covers/044/44717/i_072.jpg)
![Иллюстрация к книге — Остеохондроз для профессионального пациента [i_073.jpg] Иллюстрация к книге — Остеохондроз для профессионального пациента [i_073.jpg]](img/book_covers/044/44717/i_073.jpg)
![Иллюстрация к книге — Остеохондроз для профессионального пациента [i_074.jpg] Иллюстрация к книге — Остеохондроз для профессионального пациента [i_074.jpg]](img/book_covers/044/44717/i_074.jpg)
![Иллюстрация к книге — Остеохондроз для профессионального пациента [i_075.jpg] Иллюстрация к книге — Остеохондроз для профессионального пациента [i_075.jpg]](img/book_covers/044/44717/i_075.jpg)