Онлайн книга «Измените свой мозг - изменится и жизнь!»
|
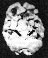
Заболевание Альцгеймера, разрушительная прогрессирующая форма старческого слабоумия, является одной из главных проблем с памятью у пожилых людей. К сожалению, у многих это заболевание крадет годы заслуженного отдыха, а их близких доводит до физического, эмоционального и финансового истощения. Действенным диагностическим методом в таких случаях оказывается SPECT. Прежде чем медикам стали доступны методы функциональной диагностики, единственным достоверным способом поставить этот диагноз было вскрытие. Сканирование SPECT показывает типичное для болезни Альцгеймера снижение перфузии в обеих височных долях и снижение активности в теменных долях. Иногда такая картина возникает за три-шесть лет до появления симптомов. Некоторые новые препараты для лечения этого заболевания, похоже, могут приостанавливать его развитие. В ходе сканирования мы наблюдали, что благодаря их действию улучшается перфузия в тех частях мозга, которые отвечают за память и мышление, в том числе и в височных долях. На иллюстрациях представлен мозг больного синдромом Альцгеймера, который стал забывчивым, часто не мог найти дорогу, когда выходил из дома, стал забывать элементарные вещи, например разучился самостоятельно одеваться и стал проявлять все больше агрессии по отношению к собственной жене. Мозг Хэрриет. Последствия энцефалита ![]() Трехмерное изображение нижней поверхности. Обратите внимание на выражений сниженную активность в обеих височных долях (см. стрелки). Болезнь Альцгеймера ![]() Трехмерное изображение поверхности, вид сверху. Обратите внимание на выраженно сниженную активность в теменных долях (см. стрелки). ![]() Трехмерное изображение нижней поверхности. Обратите внимание на выраженно сниженную активность в височных долях (см. стрелки). Говорят, что «спазмами височных долей» страдал Федор Иванович Достоевский. Он считал свою болезнь «святым переживанием». Один из его биографов, Рене Фюлеп-Миллер, цитирует высказывание Достоевского, что эпилепсия «вызывает во мне чувства, о которых я доселе не подозревал, сообщая мне ощущения блаженства, изобилия и вечности». В своем романе «Идиот» Достоевский пишет: «Он задумался между прочим о том, что в эпилептическом состоянии его была одна степень почти пред самым припадком (если только припадок приходил наяву), когда вдруг, среди грусти, душевного мрака, давления, мгновениями как бы воспламенялся его мозг, и с необыкновенным порывом напрягались разом все жизненные силы его. Ощущение жизни, самосознания почти удесятерялось в эти мгновения, продолжавшиеся как молния. Ум, сердце озарялись необыкновенным светом; все волнения, все сомнения его, все беспокойства как бы умиротворялись разом, разрешались в какое-то высшее спокойствие, полное ясной, гармоничной радости и надежды, полное разума и окончательной причины. Но эти моменты, эти проблески были еще только предчувствием той окончательной секунды (никогда не более секунды), с которой начинался настоящий припадок. Эта секунда была, конечно, невыносима. Раздумывая об этом мгновении впоследствии, уже в здоровом состоянии, он часто говорил сам себе, что ведь все эти молнии и проблески высшего самоощущения и самосознания, а стало быть и „высшего бытия“, не что иное как болезнь, как нарушение нормального состояния, а если так, то это вовсе не высшее бытие, а, напротив, должно быть причислено к самому низшему. И однако же, он все-таки дошел наконец до чрезвычайно парадоксального вывода: „что же в том, что это болезнь?“, решил он наконец, „какое до того дело, что это напряжение ненормальное, если самый результат, если минута ощущения, припоминаемая и рассматриваемая уже в здоровом состоянии, оказывается в высшей степени гармонией, красотой, дает неслыханное и негаданное дотоле чувство полноты, меры, примирения и встревоженного молитвенного слития с самым высшим синтезом жизни?“». Брайс Льюис Кэрролл, по некоторым свидетельствам, тоже страдал «явлениями от височных долей», которые хорошо отражены в зрительных образах Алисы в его книге «Алиса в стране чудес». Семилетний Брайс, которому мать стала читать «Алису», очень разволновался. Он сказал, что чувствует себя как Алиса. «Со мной происходят странные вещи, — рассказал он матери. — Я вижу всякие вещи». Среди бела дня он наблюдал, как предметы меняют свою форму, часто уменьшаясь в размерах. Ночью он видел зеленоватых призраков. У Брайса обнаружилось много симптомов тревожности. Его мать, перепугавшись, что Брайс «сходит с ума» (а его двоюродному брату поставили диагноз «шизофреноподобное состояние»), мать привела его ко мне на прием. Услышав о его симптомах, я заподозрил, что одна или обе височные доли у него гиперактивны. Сканирование SPECT выявило нарушения в правой височной доле и повышенную активность базальных ганглиев. Я назначил Dapakote (противосудорожный препарат, эффективный при лечении поражений височных долей), а также сеансы психотерапии для снижения тревожности. В течение двух недель странные состояния Брайса прекратились, а в течение полугода снизилась и тревожность. Мозг Брайса. Эпилепсия височных долей ![]() Трехмерное изображение нижней поверхности. Обратите внимание на область повышенной активности в глубоких отделах правой височной доли (стрелка снизу вверх) и базальных ганглиях (стрелки вниз). Эллен и Джек У Эллен и Джека похожие истории болезни. Оба были слегка замкнутыми. У обоих случались приступы головокружения и беспричинной паники. У обоих религиозный опыт занимал довольно значительное место в жизни. У Эллен (32 года) глубокие религиозные переживания практически парализовали ее жизнь. Она не могла работать и находилась в социальной изоляции. Джека очень заинтересовали ее «периоды глубокого духовного просветления», но он никак не мог понять, что это означает. Ко мне на прием Эллен привели ее родители, которых беспокоила ее социальная изолированность. Джек хотел обследоваться по поводу приступов паники. В обоих случаях сканирование выявило выраженную гиперактивность глубинных областей в височных долях. Значительная часть их симптомов ушла после того, как они начали принимать Depakote. При этом, продолжая прием этого препарата, оба остаются глубоко религиозными людьми. Правда, они больше не остаются погруженными в свои мысли значительную часть времени, как это было раньше. Джим Как в случае Эллен и Джека, Джима беспокоили приступы головокружения и панического страха. У него тоже бывали периоды «религиозных мыслей», во время которых он ощущал «присутствие дьявола», становился неуверенным и напуганным. Его страх перед дьяволом преследовал его, делал замкнутым. В семье считали, что он страдает паранойей. В результатах сканирования мозга Джима выявилось интересное отличие от результатов Эллен и Джека. У Джима нарушения обнаружились в левой, а не в правой височной доле. На основании своего опыта я полагаю, что нарушения именно в левой височной доле проявляются особенно негативными или мрачными мыслями. После того как Джим стал принимать Depakote, «присутствие дьявола» завершилось. |
![Иллюстрация к книге — Измените свой мозг - изменится и жизнь! [i_076.jpg] Иллюстрация к книге — Измените свой мозг - изменится и жизнь! [i_076.jpg]](img/book_covers/044/44623/i_076.jpg)
![Иллюстрация к книге — Измените свой мозг - изменится и жизнь! [i_077.jpg] Иллюстрация к книге — Измените свой мозг - изменится и жизнь! [i_077.jpg]](img/book_covers/044/44623/i_077.jpg)
![Иллюстрация к книге — Измените свой мозг - изменится и жизнь! [i_078.jpg] Иллюстрация к книге — Измените свой мозг - изменится и жизнь! [i_078.jpg]](img/book_covers/044/44623/i_078.jpg)
![Иллюстрация к книге — Измените свой мозг - изменится и жизнь! [i_079.jpg] Иллюстрация к книге — Измените свой мозг - изменится и жизнь! [i_079.jpg]](img/book_covers/044/44623/i_079.jpg)