Книга Измените свой мозг - изменится и жизнь!, страница 29 – Дэниэл Дж. Амен

Авторы: А Б В Г Д Е Ж З И Й К Л М Н О П Р С Т У Ф Х Ч Ш Ы Э Ю Я
Книги: А Б В Г Д Е Ж З И Й К Л М Н О П Р С Т У Ф Х Ц Ч Ш Щ Ы Э Ю Я
Бесплатная онлайн библиотека LoveRead.ec

Онлайн книга «Измените свой мозг - изменится и жизнь!»

📃 Cтраница 29

Результаты сканирования убедили Маршу попробовать прием лекарственных препаратов. Я назначил ей Klonopin, средство от тревожности, которое используется также для лечения судорожного синдрома. Вскоре она смогла выходить из дома, вернуться к работе и к прежнему образу жизни. Кроме лекарства, я дал ей специальные рекомендации для коррекции нарушений, связанных с повышенной функцией базальных ганглиев, и научил ее непростой технике «биофидбэк» (biofeedback) и расслабления, а также немного поработал с ней по поводу мрачных «пророческих» мыслей. Через несколько лет она уже полностью обходилась без лекарств, и с тех пор приступы паники ее больше не посещают.

Посттравматический стресс

Марк

Марк, пятидесятилетний топ-менеджер, поступил к нам в клинику после попытки самоубийства. Его жена начала процедуру развода, и у него возникло чувство, что рушится вся его жизнь. Он стал злым, враждебным, раздраженным, недоверчивым и постоянно пребывал в состоянии тревоги. Коллеги считали, что он «постоянно злится». Кроме того, он жаловался на непроходящую головную боль. Марк — ветеран войны во Вьетнаме, имеет боевые награды, служил в пехоте. На его счету более сотни убитых. Мне он рассказывал, что во Вьетнаме растерял свою человечность и что тот опыт сделал его бесчувственным.

В госпитале, по его словам, его мучили воспоминания о прошлом. Марк страдал от нарушений, вызванных посттравматическим стрессом. Когда от него ушла жена, он решил, что жизнь лишилась смысла. Симптомы выглядели довольно угрожающе, тем более что во Вьетнаме Марк получил травму головы. Я назначил SPECT.

Результаты вышли за рамки нормы. Мы обнаружили значительно повышенную активность базальных ганглиев в левой части мозга. Такой гиперактивности в этой области мне прежде видеть не доводилось. Левосторонние нарушения функций базальных ганглиев часто встречаются у людей, которые постоянно находятся в раздраженном или гневном состоянии. В этих случаях помогают препараты, стабилизирующие настроение, — такие, как литий, Tegretol или Depakote, снижающие раздражительность и помогающие успокоить «разогретые» участки в головном мозге. Марку я назначил Depakote. Почти сразу прекратились головные боли, а сам он стал спокойнее. Он прекратил «кидаться» на окружающих и стал способен заняться своим психологическим выздоровлением после развода и травм, полученных во Вьетнаме.

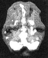
Мозг Марка — посттравматический стресс и головные боли

Иллюстрация к книге — Измените свой мозг - изменится и жизнь! [i_040.jpg]

Трехмерное изображение — активный мозг, вид снизу. Обратите внимание на повышенную активность базальных ганглиев слева (помечено стрелкой).


Во время работы с Марком у меня сложилось впечатление, что пребывание во Вьетнаме перепрограммировало его базальные ганглии на постоянную работу в режиме «начеку». На протяжении всех 13 месяцев, которые он провел на войне, каждый день он должен был оставаться «начеку», чтобы его не убили. Все последующие годы у него не было возможности перепрограммировать свой мозг для работы в нормальном режиме. Психотерапия и лекарства помогли ему ощутить, впервые за последние 25 лет, что он на самом деле вышел из зоны боевых действий.

Боязнь конфликтов

Тревожность — по определению очень неприятное состояние. Поэтому люди с повышенной тревожностью, как правило, пытаются избегать любых ситуаций, в которых они почувствуют себя еще более дискомфортно. В первую очередь это касается конфликтов. Люди с нарушением функции базальных ганглиев в конфликтной ситуации часто «каменеют» и потому пытаются уйти от конфликтов всеми возможными способами. К сожалению, стремление избежать разногласий нередко служит нам в жизни плохую службу.

Лоран

Лоран, хозяин местного магазина деликатесов, ненавидел ссоры. Кроме того, его постоянно донимали чувства напряжения и тревоги. Из-за этих ощущений и боязни конфликтов Лоран не увольнял сотрудников, которые его не устраивали. По тем же причинам он бывал чересчур вежлив с теми, кто не скрывал своего плохого к нему отношения. В конце концов Лоран возненавидел собственную неуверенность. Его проблемы создавали ему трудности и в семейной жизни. Долгие годы Лоран даже не заикался о том, что отравляло ему жизнь в семье. Он просто старался сдерживаться до тех пор, пока однажды не взорвался. Его лечение свелось главным образом к обучению, как правильно вести себя в конфликтной ситуации.

Бетси

Сходным образом боязнь конфликтов разрушила карьеру Бетси. Она работала в местной нефтяной компании. Будучи вполне способной девушкой, она быстро продвигалась по службе, пока не добралась до позиции, на которой ей пришлось работать с опытными и активными мужчинами, готовыми конкурировать и не боявшимися ни конфликтов, ни конфронтации. В отношениях с ними Бетси держалась спокойно и очень вежливо. Она всячески старалась ублажить их, чтобы избежать тревожности, которая захлестнула бы ее, если бы дело дошло до открытого конфликта. Угадаете, что было дальше? Ее продвижение по карьерной лестнице застопорилось наглухо. Она лишилась уверенности в себе и стала бояться высказывать собственную точку зрения, если она отличалась от мнения окружающих.

Ко мне на прием Бетси пришла по поводу серьезного панического расстройства, из-за которого она не могла водить машину. Из-за того, что она боялась начала очередного приступа паники, ее муж и друзья были вынуждены постоянно ее подвозить.

В ходе лечения я научил ее правильно действовать в конфликтных ситуациях. Я научил ее, как «развернуться лицом» к этим мужчинам и не убегать от них. Со временем она вновь начала выступать на собраниях, начала защищать свою точку зрения. Начальство опять стало с одобрением поглядывать в ее сторону.

Чрезвычайно важно научиться успокаивать свои базальные ганглии. В противном случае ваша жизнь окажется подчинена тревоге и программам поведения, сформировавшимся в отдаленном прошлом.

Синдром Туретта

Синдром Туретта (СТ) — весьма любопытное расстройство, своего рода связующее звено между базальными ганглиями и двумя, казалось бы, не связанными между собой расстройствами — синдромом дефицита внимания (СДВ) и обсессивно-компульсивным расстройством (ОКР). СТ характеризуется моторными и вокальными тиками, сохраняющимися дольше года. Моторные тики — это непроизвольные движения, как, например, подмаргивания, подергивания головы, плеча, руки или ноги. Вокальные тики — это непроизвольные звуки покашливание, пыхтение, сопение, лай, а иногда даже ругань (копролалия). СТ — наследственное заболевание, которое может быть обусловлено тяжелыми нарушениями в генах, отвечающих за выработку дофамина. Сканирование мозга по методу SPECT у таких пациентов выявляет нарушения в базальных ганглиях. Особый интерес вызывает тот факт, что СТ часто сочетается с СДВ и ОКР. По некоторым оценкам, 60 % пациентов с СТ страдают и СДВ, и 50 % пациентов с сидромом Туретта диагностируют ОКР. На первый взгляд это взаимоисключающие заболевания. Пациентам с СДВ трудно сосредоточиться, в то время как страдающие ОКР, напротив, чрезмерно сосредоточены на негативных мыслях (обсессиях) или действиях (компульсии). Однако при более внимательном изучении этих заболеваний я обнаружил, что они часто прослеживаются вместе в одной и той же семье. Например, у страдающих СДВ часто есть родственники с ОКР, и наоборот. Существует даже разновидность синдрома дефицита внимания, которая называется «СДВ с чрезмерной концентрацией», при которой у больных развиваются одновременно симптомы и невнимательности, и чрезмерной концентрации.

Реклама
Вход
Поиск по сайту
Ищем:
Календарь