Книга Атлас. Анатомия и физиология человека, страница 27 – Габриэль Билич, Елена Зигалова

Авторы: А Б В Г Д Е Ж З И Й К Л М Н О П Р С Т У Ф Х Ч Ш Ы Э Ю Я
Книги: А Б В Г Д Е Ж З И Й К Л М Н О П Р С Т У Ф Х Ц Ч Ш Щ Ы Э Ю Я
Бесплатная онлайн библиотека LoveRead.ec

Онлайн книга «Атлас. Анатомия и физиология человека»

📃 Cтраница 27

К описанным буграм, линиям, гребням прикрепляются мышцы, их тяга и обусловливает появление на кости данных структур. Внизу две губы шероховатой линии расходятся, образуя треугольную подколенную поверхность. Сложно устроен нижний эпифиз бедренной кости. На нем выделяются два мощных мыщелка: медиальный и латеральный, разделенные глубокой межмыщелковой ямкой, переходящей впереди в надколенниковую поверхность. К ней прилежит надколенник, который представляет собой сесамовидную кость, лежащую в толще сухожилия четырехглавой мышцы бедра и легко прощупывающуюся у живого человека.

Большеберцовая кость – единственная из двух костей голени, которая сочленяется с бедренной. Это обусловило ее большую массивность. Мощный, широкий верхний эпифиз имеет два мыщелка: медиальный и латеральный, несущие на своих проксимальных концах слегка вогнутую суставную поверхность, разделенную межмыщелковым возвышением. Мыщелки и надколенниковая суставная поверхность бедренной кости, верхняя суставная поверхность большеберцовой кости и суставная поверхность надколенника, сочленяясь между собой, образуют мыщелковый сложный комплексный двухосный коленный сустав.

Суставная поверхность большеберцовой кости не соответствуют по своей глубине мыщелкам бедра, для создания конгруэнтности между ними имеются два хрящевых мениска (латеральный и медиальный). Коленный сустав укреплен многочисленными связками, среди них важную роль играют две внутрисуставные крестообразные связки. Благодаря мощным связкам коленный сустав человека весьма устойчив. Он играет, пожалуй, основную роль в поддержании тела в вертикальном положении и прямохождении. Будучи весьма устойчивым, коленный сустав достаточно подвижен, в нем осуществляются в основном сгибание и разгибание голени. На латеральной поверхности одноименного мыщелка большеберцовой кости имеется малоберцовая суставная поверхность.

Тело большеберцовой кости трехгранной формы. Острый передний край возле верхнего эпифиза переходит в выраженную бугристость большеберцовой кости, к которой прикрепляется сухожилие четырехглавой мышцы бедра. К краю прикрепляется межкостная перепонка голени, соединяющая большеберцовую и малоберцовую кости. Медиальный край разграничивает медиальную и заднюю поверхности. Дистальный эпифиз большеберцовой кости примерно четырехугольной формы несет на себе нижнюю суставную поверхность для сочленения с таранной костью стопы. Медиальный конец его оттянут и образует медиальную лодыжку.

Малоберцовая кость – тонкая длинная трубчатая кость. Верхний эпифиз головка несет на себе суставную поверхность для сочленения с малоберцовой суставной поверхностью большеберцовой кости, в результате чего образуется малоподвижный межберцовый сустав. Нижние эпифизы костей голени соединяются между собой малоподвижным межберцовым синдесмозом, укрепленный межберцовыми связками Посредством шейки головка переходит в трехгранное тело, которое внизу оканчивается утолщенной латеральной лодыжкой, снабженной суставной поверхностью.

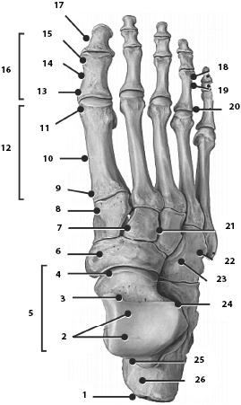
Кости (скелет) стопы. В стопе различают предплюсну, плюсну и пальцы (рис. 29). Стопа человека выполняет строго специализированную функцию передвижения и опоры. С этим связано ее строение по типу прочной и упругой сводчатой арки с короткими пальцами. Основные особенности стопы человека – это наличие сводов, прочность, пронированное положение, укрепление медиального края, укорочение пальцев, укрепление и приведение первого пальца, который не противопоставляется остальным, и расширение его дистальной фаланги. Кости предплюсны, испытывающие большую нагрузку, массивные, прочные.

Кости предплюсны включают в себя семь коротких костей, расположенных в два ряда. В проксимальном (заднем) – таранная и пяточная кости, в дистальном (переднем) латерально располагается кубовидная кость, медиально – узкая ладьевидная и впереди нее – три клиновидные кости: медиальная, промежуточная и латеральная. Нижняя суставная поверхность большеберцовой кости и суставные поверхности обоих лодыжек образуют вилку, которая охватывает блок таранной кости сверху и с боков, в результате чего образуется блоковидный сложный одноосный голеностопный сустав, играющий важную роль в динамике и статике человека. Поэтому сустав укреплен мощными связками основная из них дельтовидная связка. В голеностопном суставе совершается сгибание и разгибание стопы. Наиболее крупная пяточная кость сочленяется с таранной костью вверху и кубовидной спереди. Ладьевидная, кубовидная и три клиновидные кости соединяются между собой, а первые две, кроме того, – с пяточной и таранной; клиновидные и кубовидная – с плюсневыми костями. Малоподвижные межплюсневые суставы укреплены мощными связками.

Кости плюсны – это пять коротких трубчатых костей, которые своими основаниями сочленяются с клиновидными и кубовидной костями, а головками – с основаниями соответствующих проксимальных фаланг (плюснефаланговые суставы). Скелет пальцев образован фалангами – короткими трубчатыми костями. Количество их соответствует фалангам пальцев кисти, однако они отличаются небольшими размерами. Каждая проксимальная фаланга своим основанием сочленяется с соответствующей плюсневой костью, а головкой – со средней фалангой. Средние фаланги сочленяются с основаниями дистальных фаланг (межфаланговые суставы). Кости медиального края предплюсны лежат выше, чем кости латерального края, благодаря чему формируются своды стопы.

Иллюстрация к книге — Атлас. Анатомия и физиология человека [_29.jpg]

Рис. 29. Кости стопы, правой, вид сверху. 1 – бугор пяточной кости; 2 – тело таранной кости; 3 – шейка таранной кости; 4 – головка таранной кости; 5 – таранная кость; 6 – ладьевидная кость; 7 – промежуточная клиновидная кость; 8 – медиальная клиновидная кость; 9 – основание плюсневой кости; 10 – тело плюсневой кости; 11 – головка плюсневой кости; 12 – плюсневая кость (I); 13 – основание фаланги; 14 – тело фаланги; 15 – головка фаланги; 16 – проксимальная фаланга (I); 17 – дистальная фаланга (I); 18 – дистальная фаланга (V); 19 – средняя фаланга (V); 20 – проксимальная фаланга (V); 21 – латеральная клиновидная кость; 22 – бугористость пятой (V) плюсневой кости; 23 – клубовидная кость; 24 – пяточная кость; 25 – задний отросток таранной кости


Стопа – орган опоры и передвижения – несет на себе всю тяжесть человеческого тела. Это накладывает существенный отпечаток на ее строение и характер соединения костей. Лишь у человека имеется сводчатая стопа. Она представлена пятью продольными и одним поперечным сводами (дугами), которые обращены выпуклостью кверху. Своды образованы сочленяющимися между собой костями предплюсны и плюсны. Каждый продольный свод начинается от одной и той же точки пяточной кости (ее бугра), включает в себя кость предплюсны и соответствующую плюсневую кость и заканчивается на головке соответствующей плюсневой кости. В образовании первого свода медиального участвует и опора таранной кости. Стопа в целом имеет три точки опоры: пяточный бугор и головки первой и пятой плюсневых костей. Продольные своды имеют неодинаковую высоту. Наиболее высокий второй свод (вторая дуга). В результате формируется поперечный свод стопы. В его образовании принимают участие ладьевидная, клиновидные и кубовидные кости. Конструкция стопы в виде сводчатой арки у живого человека поддерживается благодаря форме костей, прочности связок (пассивные «затяжки» стопы), тонусу мышц (активные «затяжки»).

Реклама
Вход
Поиск по сайту
Ищем:
Календарь