Книга Шестое вымирание, страница 44 – Джеймс Роллинс

Авторы: А Б В Г Д Е Ж З И Й К Л М Н О П Р С Т У Ф Х Ч Ш Ы Э Ю Я
Книги: А Б В Г Д Е Ж З И Й К Л М Н О П Р С Т У Ф Х Ц Ч Ш Щ Ы Э Ю Я
Бесплатная онлайн библиотека LoveRead.ec

Онлайн книга «Шестое вымирание»

📃 Cтраница 44

Гостиница вела с мышами нещадную войну, особенно после того, как в долине были зафиксированы случаи заболеваний, вызванных вирусом, переносчиком которого являются грызуны.

Однако война в этом коттедже уже завершилась.

Точнее, почти завершилась.

Одинокая мышка ползла по ковру, трясясь всем своим телом.

Внимание Дженны было полностью приковано к жуткой картине перед глазами, и она среагировала слишком медленно.

Подчиняясь охотничьему инстинкту, Никко бросился вперед.

– Никко, стой!

Услышав команду хозяйки, лайка остановилась, но полудохлая мышка уже была у нее в зубах. Обернувшись, собака опустила хвост, понимая, что совершила какую-то оплошность.

– Никко…

Выронив мышку, пес виновато побрел к хозяйке, опустив морду и поджав хвост.

Одной рукой оттолкнув Дженну назад, другой Дрейк захлопнул дверь.

То, что затаилось внутри этой комнаты, было многократно страшнее любого вируса.

Оставшийся за дверью Никко заскулил, умоляя, чтобы его выпустили.

09 часов 01 минута

Лиза стояла в шлюзовой камере, дожидаясь, когда выровняется давление и можно будет открыть внутреннюю дверь, ведущую в лабораторный комплекс. За стенами слышался тихий стук капель дождя по металлической крыше ангара.

Напомнивший молодой женщине о том, что время поджимает.

По прогнозам местных метеорологов, мощный грозовой фронт продолжал наползать на регион. Пока что акры мертвой земли вокруг эпицентра оставались сухими, но было лишь вопросом времени, когда черные тучи прольются дождем над этим районом. Специальной группе было поручено оценить с помощью программы компьютерного моделирования, учитывающей топографические и геологические параметры, как далеко сможет распространиться зараза.

Предварительные данные были пугающими.

В настоящий момент Пейнтер проводил телеконференцию с участием различных местных и федеральных чиновников. Директор «Сигмы» стремился быть на шаг впереди катастрофы. К сожалению, от человека, прибывшего посреди ночи, пока что была одна только головная боль. Технический директор Управления анализов и тестов американской армии прилетел с испытательного полигона Дагуэй в штате Юта, где отрабатывались методы противодействия ядерной, химической и биологической угрозе. Всего за несколько часов он успел достать Пейнтера.

Над внутренней дверью зажглась зеленая лампочка, и магнитный замок открылся. Приглушенный хлопок возвестил о выравнивании давления. Лиза вышла из шлюзовой камеры, радуясь возможности свалить все политические дрязги на своего жениха. Ей предстояла сложная задача, требующая полного ее внимания.

Лиза оглянулась на карантинный бокс в дальнем конце ангара. Джошу поставили капельницу с диазепамом, и он снова уснул. Причина кратковременного приступа оставалась неизвестна, но, как выяснила Лиза, возможно, это было свидетельством того, что инфекция распространилась на центральную нервную систему.

У нее перед глазами снова возник острый шип, глубоко вонзившийся в ногу.

«Хочется надеяться, что я ошибаюсь…»

И все же Лиза собиралась работать до тех пор, пока не появится полная уверенность.

– Доктор Каммингс, вы вернулись… Фантастика!

Голос прозвучал в наушнике, подключенном к рации. Обернувшись, Лиза увидела доктора Эдмунда Дента, вирусолога из ЦКЗ, стоящего у окна своей лаборатории. Он приветственно поднял руку – затем помахал Лизе, приглашая ее к себе.

– Благодаря вашей работе нам, похоже, удалось добиться значительного прогресса в выделении заразной частицы, – продолжал Дент. – Как только мы узнали, что речь идет о чем-то столь крохотном, дело пошло гораздо быстрее. Но мне бы хотелось выслушать ваше мнение относительно того, что мы установили к настоящему времени.

– Конечно, – ответила Лиза.

Радуясь хоть какому-то продвижению вперед, она поспешила к маленькой шлюзовой камере, ведущей в лабораторию. Эта секция комплекса БСЛ-4 сияла нержавеющей сталью высокоскоростных центрифуг, масс-спектрометра, сверхточного микротома и криогенной камеры. Дополняли оборудование два мощных электронных микроскопа.

Войдя в лабораторию, Лиза увидела еще одну фигуру в белом халате, склонившуюся к компьютерному монитору. Она узнала этого человека только тогда, когда он обернулся, и постаралась скрыть свое удивление.

Это был доктор Реймонд Линдаль, технический директор УАТ. Судя по его лицу, скрытому маской, ему было лет пятьдесят с небольшим. Неестественно черные волосы, скорее всего, были подкрашены, чтобы скрыть седину, и то же самое можно было сказать про козлиную бородку. С самого своего появления здесь доктор Линдаль совал свой длинный нос во все работы центра, вынося скоропалительные заключения и требуя перемен, когда у него была такая возможность, – что, к огромному сожалению Пейнтера, бывало слишком часто.

И вот теперь, судя по всему, Лизе предстояло разделить страдания своего жениха.

Разумеется, этот человек имел полное право находиться здесь. Она знала, что доктор Линдаль является признанным специалистом в области генетики и биоинженерии. Однако талант породил в нем заносчивое высокомерие.

– Доктор Дент, – натянуто промолвил Линдаль, – не думаю, что нам будет польза от познаний доктора Каммингс в медицине и психологии. Ее способности найдут лучшее применение, если она приложит их к клиническим исследованиям, сосредоточившись на изучении животных.

Вирусолог не поддался на нажим, отчего Лиза зауважала его еще больше. Эдмунд был на десять лет младше Линдаля и стоял на богемных позициях, скорее всего, выкованных за годы, проведенные в Берклийском и Стэнфордском университетах. Хотя Лиза еще ни разу не видела его без защитного костюма, она всегда представляла его в сандалиях на босу ногу и линялой футболке.

– Именно Лизина работа предопределила наш прогресс, – напомнил Линдалю Эдмунд. – И никогда не помешает свежий взгляд на проблему. К тому же, когда это мед в улье готовила всего одна-единственная пчела?

У Линдаля вырвался обреченный вздох, но он не стал спорить.

Эдмунд подкатил кресло к директору УАТ.

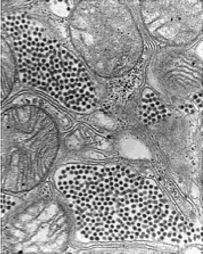
– Лиза, позвольте ввести вас в курс дела. На предыдущем совещании я говорил о том, что, как мне показалось, нам удалось мельком взглянуть на то чудовище, с которым мы имеем здесь дело. Вот снимок поперечного среза альвеолы легкого инфицированной крысы.

Иллюстрация к книге — Шестое вымирание [_08.jpg]

Лиза прильнула к экрану, изучая скопления крошечных частиц, плотно заполнивших маленькие воздушные клетки легкого.

– Это определенно похоже на вирионы – внеклеточные вирусные частицы, – согласилась она. – Но я никогда не видела ничего столь крошечного.

Вход
Поиск по сайту
Ищем:
Календарь