Книга Цифры не лгут. 71 факт, важный для понимания всего на свете, страница 6 – Вацлав Смил

Авторы: А Б В Г Д Е Ж З И Й К Л М Н О П Р С Т У Ф Х Ч Ш Ы Э Ю Я
Книги: А Б В Г Д Е Ж З И Й К Л М Н О П Р С Т У Ф Х Ц Ч Ш Щ Ы Э Ю Я
Бесплатная онлайн библиотека LoveRead.ec

Онлайн книга «Цифры не лгут. 71 факт, важный для понимания всего на свете»

📃 Cтраница 6
Долголетие на пределе?

Вот что говорит Рэй Курцвейл, главный футуролог Google: если вы сможете просто подождать до 2029 г., достижения в области медицины начнут «ежегодно прибавлять один год к ожидаемой продолжительности жизни. Я имею в виду не продолжительность жизни, рассчитанную по дате рождения, а то, сколько лет вы еще проживете». Любопытные читатели могут подсчитать, как эта тенденция повлияет на рост населения в мире, но я ограничусь кратким обзором реалий выживания.

Иллюстрация к книге — Цифры не лгут. 71 факт, важный для понимания всего на свете [i_006.jpg]

В 1850 г. в США, Канаде, Японии и в большинстве стран Европы ожидаемое долголетие мужчин и женщин составляло приблизительно 40 лет. С тех пор наблюдался впечатляющий и почти линейный рост этого показателя, который в современном мире почти удвоился. Во всех обществах женщины живут дольше, и в настоящее время рекорд принадлежит Японии – чуть больше 87 лет.

Этот тренд может продолжаться еще несколько десятилетий, учитывая, что с 1950 по 2000 г. ожидаемая продолжительность жизни пожилых людей в богатых странах увеличивалась приблизительно на 34 дня в год. Однако без фундаментальных открытий, которые изменят процесс нашего старения, тенденция увеличения долголетия должна ослабнуть и в конечном счете сойти на нет. Долгосрочная траектория ожидаемой продолжительности жизни японок, которая увеличилась с 81,91 года (1990) до 87,26 лет (2017), со- ответствует симметричной логистической кривой, которая уже приблизилась к своей асимптоте – отметке 90 лет. Траектории для других богатых стран также упираются в соответствующий потолок. Статистические данные за XX в. по- казывают два явно различимых периода увеличения продолжительности жизни: более быстрый линейный рост (при- близительно 20 лет за полстолетия), преобладавший до 19 50-х гг., и последующее замедление.

Если мы еще далеки от предела долголетия, то наибольшее его увеличение должно касаться людей самого старшего поколения, то есть у тех, кому 80–85 лет, прирост должен быть больше, чем у тех, кому 70–75. Именно такие данные были получены в результате исследований, проведенных во Франции, Японии, Соединенных Штатах и Великобритании с 1970-х гг. до начала 1990-х. Но затем прирост выровнялся.

Возможно, долголетие не запрограммировано генетичес- ки, точно так же, как не существует генетической программы, ограничивающей скорость бега (см. главу «Как пот помог в охоте»). Но продолжительность жизни – это характеристика организма, обусловленная взаимодействием генов с окружающей средой. Гены и сами могут устанавливать биологические ограничения – впрочем, как и внешние факторы, например курение.

Считается, что мировой рекорд в долголетии, 122 года, принадлежит француженке Жанне Кальман, умершей в 1997 г. Как ни странно, но и два десятилетия спустя этот рекорд еще держится, причем с большим отрывом. (И действительно, этот отрыв настолько велик, что вызывает подозрения: высказываются сомнения в возрасте женщины, а также в ее личности.) Второе место занимает долгожитель, умерший в 1999 г. в возрасте 119 лет, и с тех пор никому не удалось преодолеть рубеж 117 лет.

Если вы думаете, что у вас неплохие шансы дожить до 100 лет, потому что один из ваших предков достиг этого возраста, вам нужно знать, что доля наследственного фактора в долголетии не слишком велика: от 15 до 30 %. С учетом того, что люди склонны вступать в брак с теми, кто похож на них – это явление называется ассортативным скрещиванием, – реальный вклад наследственности в долголетие еще меньше.

Разумеется, как и во всех сложных вопросах, здесь остается место для разных интерпретаций опубликованных статистических данных. Курцвейл надеется, что диета и другие хитрости продлят его жизнь до той поры, когда революционные научные открытия дадут ему возможность жить вечно. И действительно, существуют самые разные идеи, как можно обеспечить такую сохранность организма, в том числе омоложение клеток путем удлинения теломер (последовательностей нуклеотидов на концах хромосомы, которые укорачиваются с возрастом). Если этот метод сработает, реальный максимум человеческой жизни может значительно превысить 125 лет.

Но на сегодняшний день лучший совет, который я могу дать всем читателям, за исключением немногих, тех, кто очень торопится, – строить планы на будущее, хотя возможно, не дальше XXII в.

Как пот помог в охоте

До того как несколько десятков тысяч лет назад в Африке появились дальнобойные метательные орудия, у наших предков было только два способа добыть мясо: подбирать остатки после более сильных хищников или загонять добычу. Вторую из этих экологических ниш люди заняли отчасти благодаря двум серьезным преимуществам прямохождения.

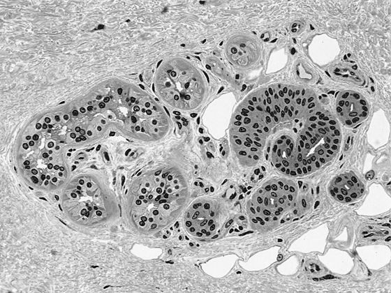
Иллюстрация к книге — Цифры не лгут. 71 факт, важный для понимания всего на свете [i_007.jpg]

Микроскопический срез эккриновых желез человека


Первое преимущество связано с тем, как мы дышим. Четвероногие могут делать только один вдох за цикл движений, потому что их грудная клетка должна абсорбировать удар о землю передних конечностей. Но мы можем выбирать другое соотношение, и это позволяет нам более рационально использовать энергию. Второе (и более существенное) преимущество заключается в непревзойденной способности регулировать температуру тела, что позволяет нам делать то, чего не могут львы: долго и быстро бежать на полуденной жаре.

Все дело в потоотделении. Два крупных животных, которые служат нам транспортом, потеют гораздо сильнее других четвероногих: за час лошадь может потерять около 100 г воды на квадратный метр кожи, а верблюд – до 250 г/м2. Человек способен без труда выделить 500 г/м2, и этого хватит для отвода тепловой мощности от 550 до 600 Вт. Пиковое потоотделение за час может превышать 2 кг/м2, а максимальный зарегистрированный уровень потоотделения за короткий период еще в два раза выше.

Мы чемпионы потоотделения – по необходимости. Новичок, бегущий марафонскую дистанцию в медленном темпе, потребляет энергию на уровне 700–800 Вт, а у опытного марафонца, преодолевающего 42,2 км за 2,5 ч, метаболизм требует мощности около 1300 Вт.

При потере воды проявляется еще одно наше преимущество: нам не обязательно сразу же пополнять ее запасы. Люди могут выдержать серьезное временное обезвоживание, при условии, что недостаток жидкости восполнится не позже чем через день. Лучшие марафонцы выпивают около 200 мл воды в течение всего забега.

Взятые вместе, эти преимущества позволили нашим предкам стать непревзойденными дневными хищниками, способными охотиться при высокой температуре окружающей среды. Разумеется, они не могли догнать антилопу, но жарким днем шли по ее следам, пока та не падала от изнеможения.

И сегодня на трех континентах живут люди, способные долго преследовать и загонять самых быстрых четвероногих. В Северной Америке индейцы тараумара, живущие на северо-западе Мексики, таким способом охотятся на оленей. Еще севернее живут пайюты и навахо, которые способны загнать вилорога. В Южной Африке басарва, живущие в Калахари, в сухой сезон загоняют разных антилоп и даже гну и зебр. В Австралии некоторые аборигены порой охотятся так на кенгуру.

Реклама
Вход
Поиск по сайту
Ищем:
Календарь