Книга Потерявшая разум. Откровенная история нейроученого о болезни, надежде и возвращении, страница 42 – Барбара Липска, Элейн Макардл

Авторы: А Б В Г Д Е Ж З И Й К Л М Н О П Р С Т У Ф Х Ч Ш Ы Э Ю Я
Книги: А Б В Г Д Е Ж З И Й К Л М Н О П Р С Т У Ф Х Ц Ч Ш Щ Ы Э Ю Я
Бесплатная онлайн библиотека LoveRead.ec

Онлайн книга «Потерявшая разум. Откровенная история нейроученого о болезни, надежде и возвращении»

📃 Cтраница 42

Но эти лекарства не одобрены Управлением по санитарному надзору за качеством пищевых продуктов и медикаментов (FDA) для такого случая с редкой мутацией, как мой. Поэтому нам нужно было убедить страховую компанию оплатить их. Предстояла настоящая борьба, потому что не было почти никаких научно подтвержденных доказательств того, что траметиниб и дабрафениб сработают. Такое лечение стоило сотни тысяч долларов – целое состояние. Доктор Аткинс предупредил, что страховая компания, скорее всего, отклонит его первый запрос. И через пару дней так и произошло. Мама Джейка и ее муж предложили заплатить всю стоимость лекарств. Мама Мирека из Польши хотела отдать нам все свои сбережения. Но доктор Аткинс сказал, что нужно подождать. Он надеялся, что сможет научно обосновать запрос и получить препараты бесплатно или по минимальной цене.

Доктор написал подробное письмо, в котором объяснил, почему моя редкая мутация BRAF попадает под протокол лечения этими препаратами. Мы подождали день, другой. И следующий. На четвертый или пятый день доктор Аткинс позвонил и сказал, что фармацевтическая компания согласилась предоставить мне лекарства «из соображений гуманности». Эту формулировку используют в тех случаях, когда новый незарегистрированный препарат применяют для лечения пациентов, у которых нет других вариантов. Другими словами, они решили: «Она все равно умрет, но, если есть хоть какая-то вероятность, что эти препараты помогут, почему бы не попробовать ухватиться за соломинку?» В итоге нам не нужно было платить за лечение.

Через несколько дней мне прислали два контейнера. Один был размером с маленький холодильник, заполненный льдом, и в нем лежал тот самый дорогостоящий траметиниб – лекарство моей мечты. Дабрафениб был во втором контейнере, поменьше. Я была так счастлива, что даже сфотографировала коробки. Какой подарок! Прямо Рождество в июле!

Они столько стоят, что просто не могут не помочь.

Я сразу же проглотила первую дозу таблеток. И стала ждать.


Пару дней я не ощущала никаких изменений. Потом появилась сыпь. Кожный зуд – один из самых частых побочных эффектов, возникающих при лечении траметинибом и дабрафенибом. Он проявляется больше чем у половины пациентов. При приеме двух препаратов одновременно их токсичность повышается. Но один из побочных эффектов внезапно оказался невероятно приятным: у меня выросли длинные, густые, угольно-черные ресницы. Когда я моргала, их кончики щекотали щеки.

Из-за стероидов я страдала от бессонницы и по ночам спала не больше двух-трех часов, поэтому быстро уставала и начинала дремать. Пришлось добавить к моему и без того внушительному арсеналу лекарств седативные препараты и снотворное. Тем не менее я продолжала заниматься спортивной ходьбой – проходила по двенадцать-тринадцать километров ранним утром или на закате, когда было не очень жарко. Сыпь и сухость кожи не позволяли мне плавать, но время от времени с утра пораньше я садилась на велосипед и час-полтора крутила педали. В этой затянувшейся войне с раком я вела себя как солдат, который всегда готов к бою, и старалась себя не запускать.

К середине июля проблемы с сыпью достигли предела. Жуткие красные волдыри покрывали почти все тело; казалось, что кожа горит. Доктор Аткинс вдвое снизил дозу дабрафениба (скорее всего, сыпь вызывал именно он, а не траметиниб). А спустя еще несколько дней, меньше чем через две недели после начала приема лекарств, на которые я так надеялась, он вообще велел мне прервать лечение. Все мое тело сплошь покрывали ужасающие пятна. Эта сыпь, вышедшая из-под контроля, по его словам, могла быть опасна для жизни.

Но голова, похоже, была в порядке. Я могла читать, делать заметки и устраивать видеоконференции с коллегами.

Я постепенно возвращалась к жизни, но дома мы по-прежнему не обсуждали то, что происходило во время моего помрачения. Мы все боялись, что безумие может вернуться.

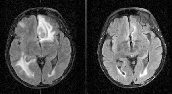
На 21 июля мне была назначена МРТ мозга. В последний раз я делала ее 19 июня, в тот злосчастный день, когда на снимке обнаружили новые опухоли и отек. Странно, но я совсем не волновалась. Я привыкла к плохим новостям и по-прежнему готовилась умереть – разобрала шкафы и ящики, разгребла все, что скопила за жизнь. Но глубоко внутри, несмотря ни на что, надеялась на чудо.

21 июля, через несколько часов после МРТ, мы с Миреком и Касей сидели в одном из кабинетов Центра комплексных исследований рака Ломбарди и ждали приговора доктора Аткинса. Ждать пришлось долго. День уже клонился к вечеру, мы все очень устали. Нервы были на пределе. Разговор не клеился, и мы просто смотрели в пустоту перед собой, грызли ногти и вздыхали.

Наконец вошел сияющий доктор Аткинс.

– Отличные новости! – объявил он. – Лечение работает!

Прежде чем мы смогли в полной мере осознать смысл сказанного, он продолжил:

– Все ваши опухоли значительно уменьшились или совсем исчезли, и я не увидел никаких новых повреждений. Комбинация траметиниба и дабрафениба оказалась успешной!

Вместо того чтобы обрадоваться, я начала спорить:

– Доктор Аткинс, а почему вы в этом так уверены? Почему вы связываете улучшения с приемом дабрафениба и траметиниба? Я же пила их совсем недолго. Разве они могли сработать так быстро? Может, подействовало сочетание таргетной терапии с облучением и иммунотерапией? И ведь мы теперь уже не узнаем наверняка! Мы никогда не поймем, какое из лекарств оказалось чудодейственным!

Доктор Аткинс улыбнулся, не приняв мое замечание всерьез.

– Я не знаю, что именно сработало. Для меня, как и для вас, это не важно, – сказал он. – Опухоли исчезают. Нам остается только порадоваться.

Иллюстрация к книге — Потерявшая разум. Откровенная история нейроученого о болезни, надежде и возвращении [i_009.jpg]

Снимки моего мозга 19 июня (слева) и 21 июля (справа). Отек (светлые области на снимке) заметно спал, и опухоли, включая самую крупную во фронтальной коре, исчезли


Я была рада. Но ученый во мне негодовал. Наверное, только коллеги могли понять, как я была разочарована – мне никогда не узнать, что именно сделало эксперимент по спасению моей собственной жизни успешным.

Доктор Аткинс предложил нам посмотреть новый снимок на своем компьютере. Кася разглядывала его в изумлении.

– Невероятно! – воскликнула она. – Почти все опухоли пропали!

Я даже не взглянула на снимки. Меня коробило от вида своего искалеченного мозга. Мы с Миреком сидели молча – у нас не было сил радоваться. Этот день стал началом решающего прорыва, в который мы пока боялись поверить.

На следующее утро, 22 июля, Мирек сделал в своем дневнике короткую запись: «Мы радовались как могли».

Эта строчка из его дневника выглядит как несущественное примечание. Но, говоря по правде, мы были в шоке. За несколько месяцев наши эмоции сильно поизносились. Все думали, что я умру, потом я получила помилование, потом снова грянули плохие новости, и вот теперь еще одна отсрочка приговора: опухоли пропали.

Вход
Поиск по сайту
Ищем:
Календарь