Книга Вирусы и эпидемии в истории мира. Прошлое, настоящее и будущее, страница 90 – Майкл Олдстоун

Авторы: А Б В Г Д Е Ж З И Й К Л М Н О П Р С Т У Ф Х Ч Ш Ы Э Ю Я
Книги: А Б В Г Д Е Ж З И Й К Л М Н О П Р С Т У Ф Х Ц Ч Ш Щ Ы Э Ю Я
Бесплатная онлайн библиотека LoveRead.ec

Онлайн книга «Вирусы и эпидемии в истории мира. Прошлое, настоящее и будущее»

📃 Cтраница 90

К несчастью для людей, вирусы также могут иметь несколько вариантов. В ходе инфекции за счет мутаций, рекомбинаций и адаптации могут быть «отобраны» новые формы ВИЧ, устойчивые к терапии. Поэтому, когда пациент перестает хорошо реагировать на ранее благотворные лекарства, следует генотипировать вновь выделенные вирусы и, соответственно, заменить лекарства. Результат для тех, кому посчастливилось получить такую терапию, особенно на ранних стадиях ВИЧ-инфекции, как это часто бывает в западных странах, – это почти нормальная жизнь с точки зрения способности трудиться и участвовать в повседневной деятельности23. Возможная смерть пациента с ВИЧ-инфекцией в стадии ремиссии вследствие медикаментозной терапии будет вызвана, скорее всего, обычными медицинскими факторами, такими как сердечная недостаточность, рак или несчастный случай, а не СПИДом.

Однако сложности остаются. Организм никогда полностью не очищается от вирусов во время лекарственной терапии, то есть латентные вирусы сохраняются в определенных типах клеток, таких как CD4+ T-лимфоциты, успешно скрываясь от действия лекарств. Если терапия прекращается, ранее не обнаруживаемый в крови ВИЧ вновь появляется. Таким образом, противовирусная терапия – пожизненная обязанность. В этом контексте необходимо непрерывное образование в целях правильного медикаментозного лечения пациентов для предотвращения распространения ВИЧ среди других людей. Ожидаемая продолжительности жизни людей, инфицированных ВИЧ и получающих лекарства, возрастает. Это приводит к тому, что предполагаемые медицинские затраты на одного инфицированного в течение прогнозируемой продолжительности его жизни, равной приблизительно 25 годам после постановки диагноза ВИЧ, составляют более 700 000 долларов США на получение наиболее эффективных лекарств и посещения врача. Эта финансовая дилемма для учреждений общественного здравоохранения, правительства, частных лиц и страховых компаний дала энергичный импульс разработке вакцин. Единственными очевидными решениями являются либо уничтожение заболевания путем предотвращения первоначального заражения ВИЧ (профилактическая вакцина), либо ограничение воздействия ВИЧ у уже инфицированных, так называемая терапевтическая вакцина. Целью терапевтических вакцин является восстановление активности CD8+ T-киллеров и CD4+ T-хелперов, потеря которых является прямым следствием ВИЧ-инфекции. Для контроля инфекции необходимо воскрешение функции этих T-лимфоцитов. Недавно были обнаружены терапевтические антитела, восстанавливающие функцию T-лимфоцитов24,25, и в настоящее время проводятся клинические испытания (см. главу 3). Попытки использования обычных форм вакцин пока оказываются безуспешными26-30.

Тем не менее многообещающая информация об экспериментальной ВИЧ-инфекции на подопытных животных позволила выявить негативные регуляторы иммунного ответа и лекарственные средства, предназначенные обратить вспять эти негативные регуляторы. Долгоживущие в организме (персистирующие) вирусы вызывали образование молекул, нарушающих функцию CD8 T-киллеров и CD4-T-хелперов. Идентификация и устранение этих негативных регуляторных факторов восстанавливает функции T-лимфоцитов31-39. Такие восстановленные и функционирующие T-клетки удаляли вирусы и контролировали инфекцию. Хотя эти интригующие данные были ограничены персистирующей вирусной инфекцией у экспериментальных животных31-35, этот результат был успешно воспроизведен в инфицированных ВИЧ культивируемых клетках36-39. Вопрос о том, можно ли распространить этот эффект на больных людей, находится в стадии изучения. Теоретически блокирование действий молекул, подавляющих иммунную систему, в сочетании с терапевтической вакцинацией34,35, может предоставить уникальную возможность для борьбы с ВИЧ-инфекцией.

Разработка первых вакцин против СПИДа/ВИЧ для людей велась еще с помощью традиционных подходов в 1987 году, но более чем за 32 года клинических испытаний нескольких вакцин, последняя из которых была испытана в 2019 году, ни одна не была достаточно успешной, чтобы рекомендовать ее применение. В настоящее время исследуются новые платформы, включая вакцину, предназначенную для генерации нейтрализующих антител широкого спектра действия40-42. Однако следует помнить, что на разработку успешной вакцины, защищающей нас от полиомиелита, ушло 47 лет, а на поиск вакцины от кори – 42 года. Так что, хотя разработка вакцины против СПИДа/ВИЧ происходит в течение примерно такого же периода времени, она может продолжаться и дольше. (Рисунок 16.1.)

В случае нелеченного СПИДа ответ на инфекцию ВИЧ имеет две основные особенности. Во-первых, жертва дает сильный иммунный ответ против вируса18, то есть антитела к ВИЧ образуются с последующим появлением цитотоксических T-лимфоцитов (CTL). Антитела против ВИЧ представляют собой белки, продукция которых в крови индуцируется вирусными компонентами (антигенами), и специфически реагирует с этими антигенами. Клетки CTL ответственны за клеточный иммунитет, цель которого – убить фабрики (зараженные клетки), производящие вирус. CTL возникают на ранней стадии инфекции и часто остаются в некотором количестве на всем протяжении ее течения18,43,44, хотя жертва остается клинически здоровой или не более, чем умеренно больной. Первоначальное появление CTL напрямую коррелирует с резким снижением количества присутствующего вируса (вирусной нагрузкой). Инфицирующие вирусы и последовательности вирусных нуклеиновых кислот постоянно присутствуют в организме в течение всей инфекции, даже несмотря на непрерывный иммунный ответ против ВИЧ18,43-45. Вирусы или вирусные последовательности обнаруживаются главным образом в моноцитах и CD4+ T-лимфоцитах крови45-47, в лимфоидных тканях (таких как селезенка, лимфатические узлы46 и кишечник48,49), а также в микроглии50 (макрофагоподобных клетках головного мозга), эндотелиальных клетках головного мозга51 и в других органахобзор в 18,52.

Иллюстрация к книге — Вирусы и эпидемии в истории мира. Прошлое, настоящее и будущее [i_033.jpg]

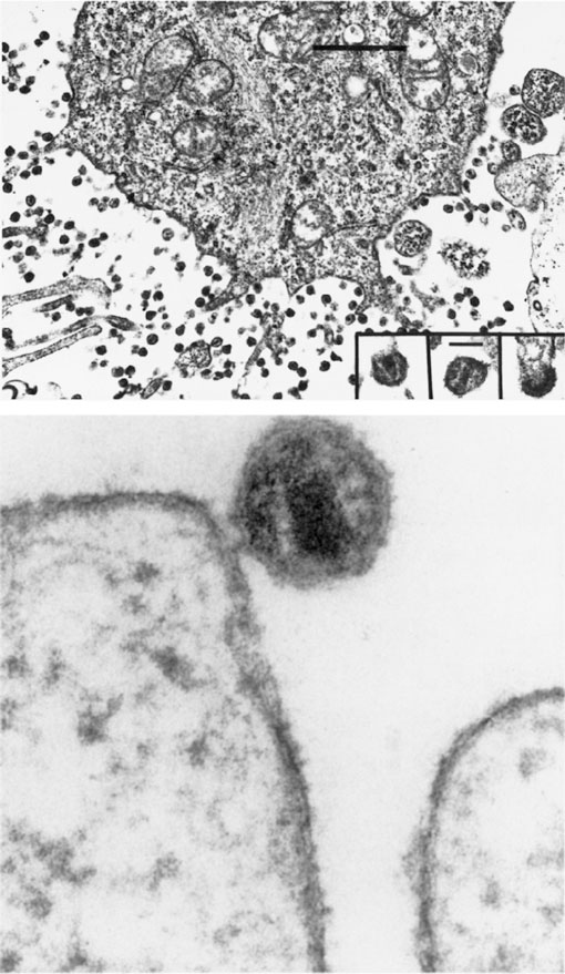
РИСУНОК 16.1. Вирус, вызывающий СПИД. (Сверху) Инфицированный CD4+ Т-лимфоцит, продуцирующий вирус. Мелкие включения представляют собой вирусные частицы, накапливающиеся в культуральных жидкостях. Размер вириона составляет примерно 110 нм. (Снизу) ВИЧ, возникающий на поверхности клетки. Увеличение: ×180 000. Обратите внимание на характерное для ВИЧ образование в вирионе в форме усеченного конуса. Микрофотография любезно предоставлена Робертом Галло.


Появление устойчивых форм ВИЧ, не поддающихся лекарственной антиретровирусной терапии, и сопутствующее развитие СПИДа привели к вспышкам ранее поддающегося лечению и курабельного туберкулеза вследствие сопутствующей инфекции ВИЧ. В настоящее время туберкулез является наиболее распространенной оппортунистической инфекцией, встречающейся у ВИЧ-инфицированных. Среди нескольких сосуществующих серьезных проблем со здоровьем, первая заключается в том, что двойная терапия, предназначенная для лечения ВИЧ-инфекции наряду с туберкулезом, может вызывать усиление лекарственной токсичности. Вторая – это подавление иммунной системы вирусом ВИЧ, что также ограничивает ее способность бороться с возбудителем туберкулеза. Результатом является широко распространенное системное присутствие бактерий туберкулеза, напоминающее эффект, наблюдаемый фон Пирке в отношении вируса кори в 1890-х годах (см. главу 6). И третья – это селекция и эволюция устойчивых к лекарственным средствам штаммов туберкулезных бактерий, подвергающих риску не только ВИЧ-инфицированных, но и целые группы населения. Действительно, с 2006 года несколько сотен или более людей заразились устойчивыми к лекарствам туберкулезными бактериями. Бацилла Кальметта и Гирена (БЦЖ), используемая как вакцина против туберкулеза, была разработана более 100 лет назад и содержит ослабленную, но живую форму Mycobacterium bovis, родственную Mycobacterium tuberculosis, вызывающей заболевание. Хотя БЦЖ и не является полностью эффективной, в настоящее время она является единственной существующей вакциной против туберкулеза и регулярно используется в большинстве стран мира. Хотя вакцина БЦЖ обеспечивает значительную защиту для большинства, но не для всех детей в течение первых 15 лет жизни, ВИЧ-инфицированные дети особенно подвержены побочным эффектам от вакцины БЦЖ. Осложнения варьируются от сильной местной реакции в месте инокуляции до диссеминированной инфекции БЦЖ, способной угрожать жизни.

Вход
Поиск по сайту
Ищем:
Календарь