Книга Взламывая психиатрию, страница 39 – Том Джексон

Авторы: А Б В Г Д Е Ж З И Й К Л М Н О П Р С Т У Ф Х Ч Ш Ы Э Ю Я
Книги: А Б В Г Д Е Ж З И Й К Л М Н О П Р С Т У Ф Х Ц Ч Ш Щ Ы Э Ю Я
Бесплатная онлайн библиотека LoveRead.ec

Онлайн книга «Взламывая психиатрию»

📃 Cтраница 39
Иллюстрация к книге — Взламывая психиатрию [i_177.jpg]

Диаграмма теории потока Чиксентмихайи показывает поток как чувство равновесия между сложными задачами, которые мы должны решить, и нашими навыками.

Медитация осознанности

Буддистские монахи практиковали ее тысячелетиями, но только в 1990-х годах психологи доказали, что медитация – прекрасная терапия для тех, кто страдает тревожностью и другими расстройствами.

Американский психолог Джон Кабат-Зинн начал исследование эффективности терапевтических практик, навеянных восточной философией, после того, как попробовал медитацию в конце 1970-х годов. Как и миллионы других, увлекшихся этой практикой, он учился наблюдать за своими мыслями и телесными ощущениями. Ключевым шагом должны были стать осознание своих мыслей и чувств и способность не осуждать их, не реагировать на них и таким образом достичь спокойствия.

Иллюстрация к книге — Взламывая психиатрию [i_178.jpg]

Практика осознанности разделяет наши мысли и наше чувство себя. Это разделение не позволяет негативным мыслям размножаться и создавать негативные эмоции.


Кабат-Зинн начал включать версию этой медитации в свою программу, назвав этот подход «Снятие стресса на основе осознанности». В течение следующего десятилетия он смог доказать, что этот подход оказал положительное влияние на снижение стресса, тревожности, боли и других физических и психических расстройств.

Функциональная магнитно-резонансная томография

Психология – наука, которая занимается изучением ментальных процессов, и в 1990-х годах медики разработали технологию, позволяющую видеть, как люди думают.

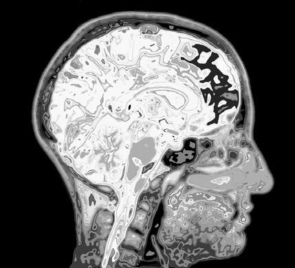
МРТ, или функциональная магнитно-резонансная томография, показывает активность деятельности мозга в режиме реального времени. Это бесценный инструмент для связи физической работы мозга с психологическими явлениями. МРТ использует очень сильное магнитное поле, чтобы заставить атомы водорода в организме выстроиться в линии. Затем используются радиоволны, чтобы заставить эти атомы колебаться, и тогда они испускают свое собственное радиоэхо, которое используется для подготовки подробных изображений.

Иллюстрация к книге — Взламывая психиатрию [i_179.jpg]

Темный сектор на этом цветном снимке сканирования мозга показывает, где сейчас клетки мозга используют кислород.


МРТ отличает кровь, наполненную кислородом, от крови, которая исчерпала кислород. Мозговые клетки не имеют хранилища энергии, и когда они работают, то берут кислород из кровеносных сосудов в этой области. Процесс МРТ может показать, где это происходит, фактически освещая активные в этот момент части мозга. МРТ постепенно помогает раскрыть, как работает ослепительная мозаика мозга.

Шесть базовых эмоций

Фрейд, Юнг и другие великие психоаналитики считали, что наши основные стремления – к еде, сексу и выживанию – определяют наше поведение, – и ничто не может устоять перед силой этих мотиваторов. Тем не менее Пол Экман сомневался в том, что это так.

Он исследовал природу человеческих эмоций, полагая, что они столь же мощны, как и животные инстинкты, а возможно, даже сильнее.

Как психотерапевт Экман хорошо ориентировался в управлении эмоциями. Его учили лечить их как симптом основного состояния, но ученый в нем хотел узнать больше об их природе.

Универсальный эффект

Его первое исследование должно было проверить, что такое универсальные эмоции. Он много путешествовал, изучая людей повсюду – от жителей современных городов до представителей племенных культур. Он обнаружил, что у всех одни и те же выражения лица ассоциируются с одними и теми же эмоциями: страх, гнев, отвращение, удивление, счастье и грусть.

Вышло наружу

Экман также обнаружил, что наши лица принимают эти выражения неосознанно, прежде чем мы даже начнем осознавать конкретную эмоцию. Как бы мы ни старались, мы не можем скрыть то, что чувствуем. Экман сыграл важную роль в выявлении микровыражений, которые являются короткими непроизвольными проявлениями эмоций.

Иллюстрация к книге — Взламывая психиатрию [i_180.jpg]

В жизни вам понадобятся только эти шесть смайликов: гнев, отвращение, страх, счастье, печаль и удивление.


Эти открытия заставили Экмана предположить, что эмоции работают на более глубоком уровне нашей психологии, чем признавалось ранее. Он выступал против теории Фрейда о том, что животные инстинкты управляют нашим поведением, указывая на то, как эмоции могут преодолеть их. Например, чувство отвращения останавливает чувство голода, в то время как страх тормозит либидо.

Не в нашей власти

Базовые эмоции, действующие в одиночку или группой, – мощная сила, которую трудно контролировать. Экман верил, что психическое заболевание возникает, когда эмоции вырываются из-под контроля, порождая одну негативную эмоцию за другой и приводя к возникновению несвязанных эмоциональных волн.

Парапсихология

Комплекс псевдонаучных дисциплин, объединенных под названием парапсихология, направлен на изучение сверхъестественных способностей – таких как телепатия и ясновидение – и стар, как и сама психология. Все компетентные исследователи неоднократно доказывали, что паранормальных явлений не существует, пока в 1994 году один нейробиолог не нашел способ заставить людей поверить в то, что они все-таки есть.

Иллюстрация к книге — Взламывая психиатрию [i_181.jpg]

Спиритический сеанс был серьезным предприятием сто лет назад, когда люди были уверены, что наука скоро соединит наш мир с царствами за его пределами.


Приставка «пара-» означает «рядом» или «вовне», и парапсихология исследует то, что лежит за пределами психологии. За последнее столетие исследовательские программы были направлены на поиски доказательств телепатии, экстрасенсорных способностей и телекинеза (умения двигать объекты силой мысли). Однако при повторении в строгих лабораторных условиях каждое такое «открытие» (пока, во всяком случае) оказывалось ложным.

В 1994 году американский исследователь Майкл Персингер объявил, что нашел способ создания сверхъестественного присутствия путем стимуляции с помощью электромагнитных излучений височных долей мозга человека. Персингер утверждал, что эти доли совместно отвечают за создание ощущения себя у человека. Когда шлем, разработанный Персингером, начал нарушать это единство, левая и правая доли независимо друг от друга создавали две сущности – одна воспринимается как Я, а вторая как таинственный Другой.

Вход
Поиск по сайту
Ищем:
Календарь